ISO 9001:2015 Certified
Live Customer Support
4.5/5 on Trustpilot
100% Quality Guarantee

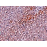
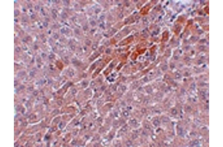
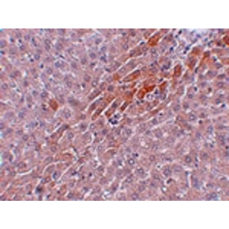
Anti-Prosapip2 Antibody (A47414)

Rabbit polyclonal antibody to Prosapip2 for ELISA, WB and IHC.

Shipping Information

$40
Dispatched from St. Louis, MO.
Lead Time: 6-9 business days.
Name
Anti-Prosapip2 Antibody
Description
Rabbit polyclonal antibody to Prosapip2
Applications
ELISA, WB, IHC
Reactivity
Human, Mouse, Rat
Immunogen
Raised against a 16 amino acid peptide from near the carboxy terminus of human Prosapip2.
Host
Rabbit
Clonality
Polyclonal
Conjugate

Unconjugated

Purification
Affinity chromatography purified via peptide column
Formulation
Supplied in phosphate-buffered saline with 0.02% Sodium Azide.
Storage
Shipped at 4°C. Upon delivery aliquot and store at -20°C. Avoid freeze/thaw cycles.
Synonyms
KIAA0775, SINTBAD, TANK binding kinase 1 binding protein 1, TANK-binding kinase 1-binding protein 1, TBK1 binding protein 1, TBK1-binding protein 1, TBKB1_HUMAN, TBKBP1
Disclaimer
This product is for research use only. It is not intended for diagnostic or therapeutic use.
Publishing research using Anti-Prosapip2 Antibody (A47414)? Please let us know so that we can list the citation on this page.