Western Blot - Anti-Prostaglandin E Synthase/MPGES-1 Antibody (A307583)
Western blot analysis of extracts of MCF7 cells, using Anti-Prostaglandin E Synthase/MPGES-1 Antibody (A307583) at 1:1,000 dilution. The secondary antibody was Goat Anti-Rabbit IgG H&L Antibody (HRP) at 1:10,000 dilution. Lysates/proteins were present at 25µg per lane. The blocking buffer used was 3% non-fat dry milk in TBST. Detection was with a ECL Basic Kit. Exposure time: 1s.
Western Blot - Anti-Prostaglandin E Synthase/MPGES-1 Antibody (A307583)
Western blot analysis of extracts of various cell lines, using Anti-Prostaglandin E Synthase/MPGES-1 Antibody (A307583) at 1:1,000 dilution. The secondary antibody was Goat Anti-Rabbit IgG H&L Antibody (HRP) at 1:10,000 dilution. Lysates/proteins were present at 25µg per lane. The blocking buffer used was 3% non-fat dry milk in TBST. Detection was with a ECL Basic Kit. Exposure time: 10s.
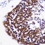
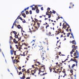
Immunohistochemistry - Anti-Prostaglandin E Synthase/MPGES-1 Antibody (A307583)
Immunohistochemistry analysis of paraffin-embedded rat testis using Anti-Prostaglandin E Synthase/MPGES-1 Antibody (A307583) at a dilution of 1:100 (40x lens).
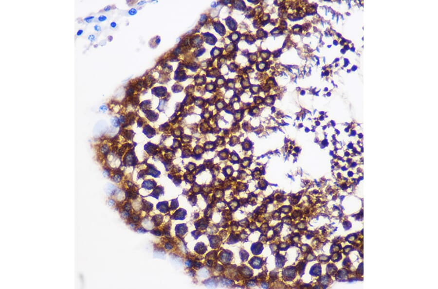
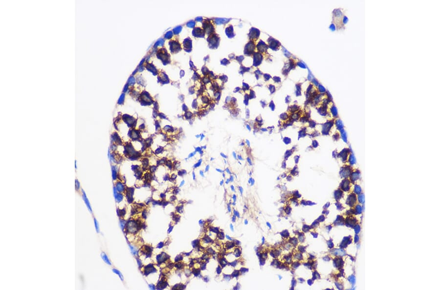
Immunohistochemistry - Anti-Prostaglandin E Synthase/MPGES-1 Antibody (A307583)
Immunohistochemistry analysis of paraffin-embedded mouse testis using Anti-Prostaglandin E Synthase/MPGES-1 Antibody (A307583) at a dilution of 1:100 (40x lens).
Publishing research using Anti-Prostaglandin E Synthase/MPGES-1 Antibody (A307583)? Please let us know so that we can list the citation on this page.