ISO 9001:2015 Certified
Live Customer Support
4.5/5 on Trustpilot
100% Quality Guarantee

Recombinant Anti-Prostate Specific Antigen Antibody [KLK3/4602R] - BSA and Azide free (A278590)

Recombinant rabbit monoclonal [KLK3/4602R] antibody to Prostate Specific Antigen for IHC-P.

Alternative Formats and ConjugatesAlternative Formats

Shipping Information

$40
Dispatched from St. Louis, MO.
Lead Time: 5-8 business days.
Name
Anti-Prostate Specific Antigen Antibody [KLK3/4602R] - BSA and Azide free
Description
Recombinant rabbit monoclonal [KLK3/4602R] antibody to Prostate Specific Antigen.
Specificity
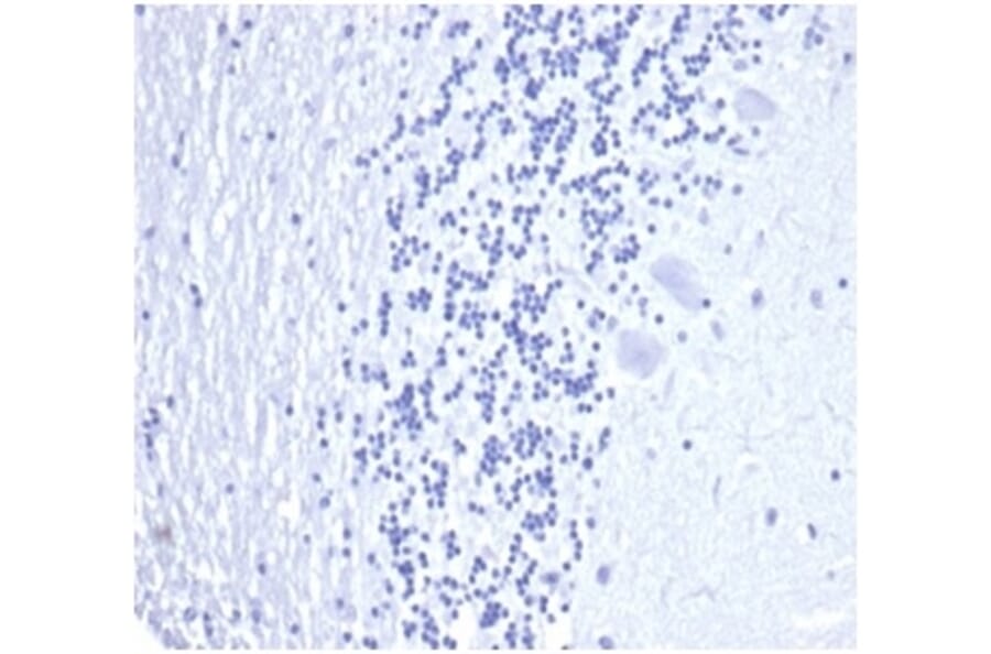
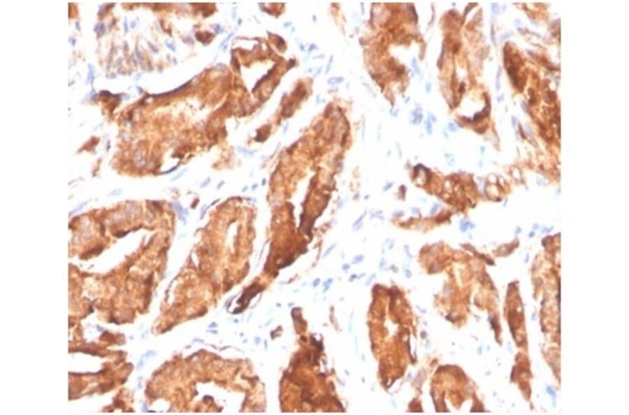
Prostate-specific antigen (PSA) is a single-chain glycoprotein of 237 amino acids containing approximately 8% carbohydrate. It is a serine protease produced almost exclusively by prostatic epithelial cells. Immunohistochemically PSA is expressed in the highly specialized apically-superficial layer of female and male secretory cells of the prostate gland, and is readily demonstrated in adenocarcinomas of the prostate in about 99% of the cases. There is a correlation between malignancy grade and intensity of staining, high grade carcinomas displaying weaker expression. About 1% of poorly differentiated carcinomas have been negative for PSA. Due to the high specificity of PSA for prostatic glandular epithelium, it is very useful in identifying prostatic carcinoma in the prostate and in the adjacent organs often affected by epithelial malignancies, i.e. rectum and urinary bladder. PSA may be used in a panel together with NKX3.1 and Prostein, which are at least as sensitive and slightly more specific than PSA.
Applications
IHC-P
Dilutions
IHC-P: 1-2 µg/ml
Reactivity
Human
Immunogen
Synthetic peptide corresponding to residues within amino acids 150-250 of human PSA.
Host
Rabbit
Clonality
Monoclonal
Clone ID
KLK3/4602R
Isotype
IgG
Conjugate

Unconjugated

Purification
Protein A/G chromatography.
Concentration
1 mg/ml
Molecular Weight
29 kDa
Product Form
Liquid
Formulation
Supplied in 10mM Phosphate Buffered Saline; without Sodium Azide and carrier free.
Storage
Shipped at 4°C. Upon delivery aliquot and store at -20°C. Avoid freeze / thaw cycles.
General Notes
This monoclonal antibody is also available in a different formulation with BSA and Sodium Azide - Anti-Prostate Specific Antigen Antibody [KLK3/4602R] (A278002).
Synonyms
antigen, prostate-specific, APS, Gamma seminoprotein, Gamma-seminoprotein, hK3, Kallikrein 3, Kallikrein related peptidase 3, Kallikrein-3, KLK 3, KLK2A1, Klk3, KLK3_HUMAN, P-30 antigen, P30 antigen, Prostate-specific antigen, Psa, Semenogelase, Seminin
Disclaimer
This product is for research use only. It is not intended for diagnostic or therapeutic use.
Publishing research using Recombinant Anti-Prostate Specific Antigen Antibody [KLK3/4602R] - BSA and Azide free (A278590)? Please let us know so that we can list the citation on this page.

Alternative products to Anti-Prostate Specific Antigen Antibody [KLK3/4602R] - BSA and Azide free (A278590)