Western Blot - Anti-Prosurfactant Protein C Antibody (A13690)
Western blot analysis of extracts of Mouse lung, using Anti-Prosurfactant Protein C Antibody (A13690) at 1:1,000 dilution. The secondary antibody was Goat Anti-Rabbit IgG H&L Antibody (HRP) at 1:10,000 dilution. Lysates/proteins were present at 25µg per lane. The blocking buffer used was 3% non-fat dry milk in TBST. Detection was with a ECL Basic Kit. Exposure time: 90s.
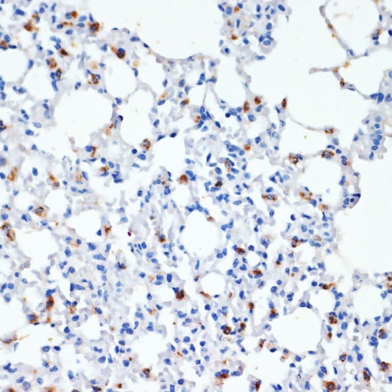
Immunohistochemistry - Anti-Prosurfactant Protein C Antibody (A13690)
Immunohistochemistry analysis of paraffin-embedded human lung using Anti-Prosurfactant Protein C Antibody (A13690) at a dilution of 1:200 (40x lens). Perform microwave antigen retrieval with 10 mM PBS buffer pH 7.2 before commencing with IHC staining protocol.
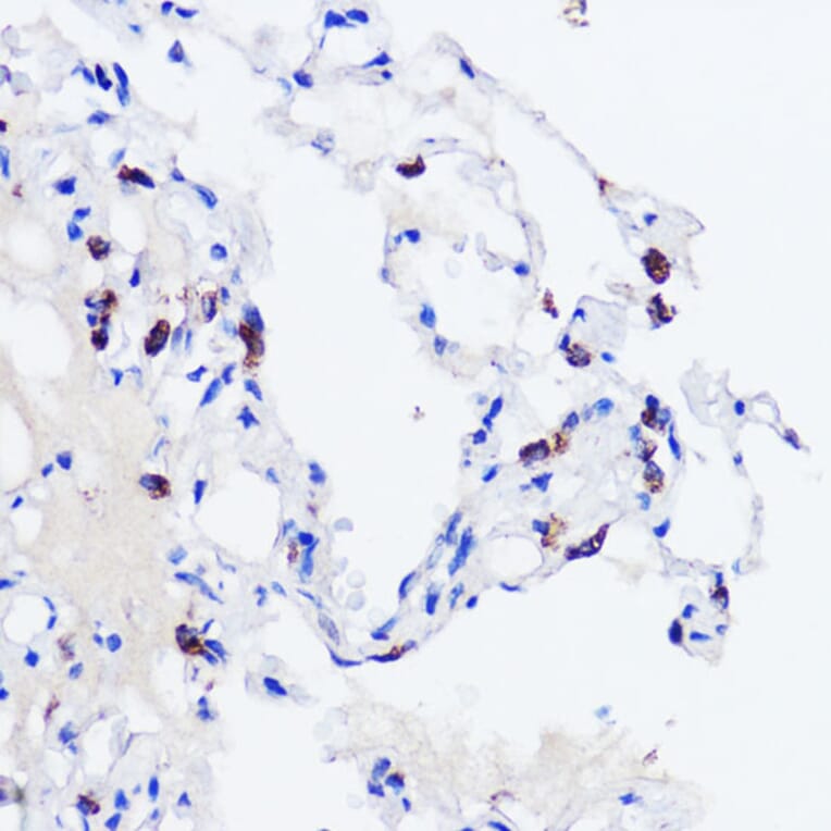
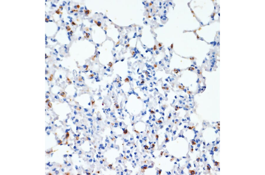
Immunohistochemistry - Anti-Prosurfactant Protein C Antibody (A13690)
Immunohistochemistry analysis of paraffin-embedded rat lung using Anti-Prosurfactant Protein C Antibody (A13690) at a dilution of 1:200 (40x lens). Perform microwave antigen retrieval with 10 mM PBS buffer pH 7.2 before commencing with IHC staining protocol.
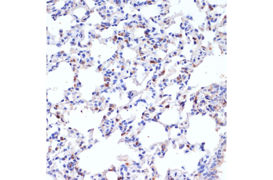
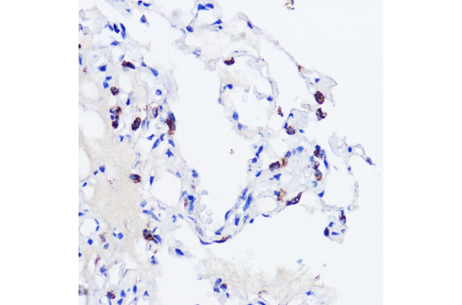
Immunohistochemistry - Anti-Prosurfactant Protein C Antibody (A13690)
Immunohistochemistry analysis of paraffin-embedded mouse lung using Anti-Prosurfactant Protein C Antibody (A13690) at a dilution of 1:200 (40x lens). Perform microwave antigen retrieval with 10 mM PBS buffer pH 7.2 before commencing with IHC staining protocol.
Immunofluorescence - Anti-Prosurfactant Protein C Antibody (A13690)
Immunofluorescence analysis of rat lung using Anti-Prosurfactant Protein C Antibody (A13690) at a dilution of 1:100 (40x lens). DAPI was used to stain the cell nuclei (blue).
Immunofluorescence - Anti-Prosurfactant Protein C Antibody (A13690)
Immunofluorescence analysis of human lung cancer using Anti-Prosurfactant Protein C Antibody (A13690) at a dilution of 1:100 (40x lens). DAPI was used to stain the cell nuclei (blue).
Immunofluorescence - Anti-Prosurfactant Protein C Antibody (A13690)
Immunofluorescence analysis of mouse lung using Anti-Prosurfactant Protein C Antibody (A13690) at a dilution of 1:100 (40x lens). DAPI was used to stain the cell nuclei (blue).