ISO 9001:2015 Certified
Live Customer Support
4.5/5 on Trustpilot
100% Quality Guarantee

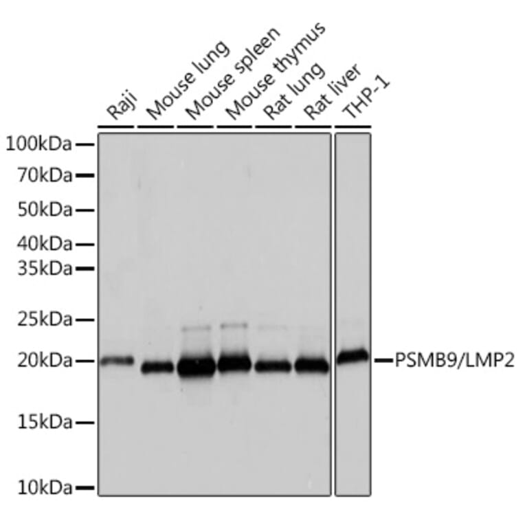
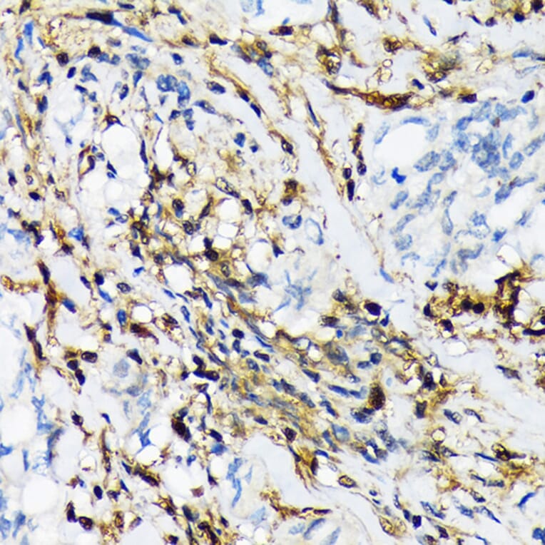
Anti-Proteasome 20S LMP2 Antibody [ARC1629] (A308367)

Rabbit monoclonal [ARC1629] antibody to Proteasome 20S LMP2 for WB and IHC.

Shipping Information

$40
Dispatched from St. Louis, MO.
Lead Time: 7-10 business days.
Name
Anti-Proteasome 20S LMP2 Antibody [ARC1629]
Description
Rabbit monoclonal [ARC1629] antibody to Proteasome 20S LMP2.
Applications
WB, IHC
Dilutions
WB: 1:500-1:2,000, IHC: 1:50-1:200
Reactivity
Human, Mouse, Rat
Immunogen
Recombinant fusion protein containing a sequence corresponding to amino acids 125-219 of human PSMB9/LMP2 (P28065).
Sequence
QREGGQVYGTLGGMLTRQPFAIGGSGSTFIYGYVDAAYKPGMSPEECRRFTTDAIALAMSRDGSSGGVIYLVTITAAGVDHRVILGNELPKFYDE
Host
Rabbit
Clonality
Monoclonal
Clone ID
ARC1629
Isotype
IgG
Conjugate

Unconjugated

Purification
Affinity purification.
Concentration
Lot Specific
Molecular Weight
21 kDa
Product Form
Liquid
Formulation
Supplied in Phosphate Buffered Saline, pH 7.3, with 50% Glycerol, 0.05% BSA, and 0.02% Sodium Azide.
Storage
Shipped at 4°C. Upon delivery aliquot and store at -20°C. Avoid freeze/thaw cycles.
Synonyms
Beta1i, Large multifunctional peptidase 2, Large multifunctional protease 2, LMP 2, LMP2, Low molecular mass protein 2, Macropain chain 7, MGC70470, Multicatalytic endopeptidase complex chain 7, OTTHUMP00000062982, Proteasome (prosome macropain) subunit beta type 9, proteasome (prosome, macropain) subunit, beta type, 9 (large multifunctional peptidase 2), Proteasome beta 9 subunit, Proteasome catalytic subunit 1i, Proteasome chain 7, Proteasome related gene 2, Proteasome subunit beta 6i, Proteasome subunit beta type 9, Proteasome subunit beta type-9, Proteasome subunit beta-1i, PSB9_HUMAN, PSMB 9, PSMB6i, PSMB9, Really interesting new gene 12 protein, RING 12, RING12, RING12 protein
Disclaimer
This product is for research use only. It is not intended for diagnostic or therapeutic use.
Publishing research using Anti-Proteasome 20S LMP2 Antibody [ARC1629] (A308367)? Please let us know so that we can list the citation on this page.

Alternative products to Anti-Proteasome 20S LMP2 Antibody [ARC1629] (A308367)