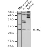
Western Blot - Anti-Proteasome subunit beta type 2/PSMB2 Antibody (A14796)
Western blot analysis of extracts of various cell lines, using Anti-Proteasome subunit beta type 2/PSMB2 Antibody (A14796) at 1:1,000 dilution. The secondary antibody was Goat Anti-Rabbit IgG H&L Antibody (HRP) at 1:10,000 dilution. Lysates/proteins were present at 25µg per lane. The blocking buffer used was 3% non-fat dry milk in TBST. Detection was with a ECL Basic Kit. Exposure time: 1s.
Western Blot - Anti-Proteasome subunit beta type 2/PSMB2 Antibody (A14796)
Western blot analysis of extracts of various cell lines, using Anti-Proteasome subunit beta type 2/PSMB2 Antibody (A14796) at 1:1,000 dilution. The secondary antibody was Goat Anti-Rabbit IgG H&L Antibody (HRP) at 1:10,000 dilution. Lysates/proteins were present at 25µg per lane. The blocking buffer used was 3% non-fat dry milk in TBST. Detection was with a ECL Basic Kit. Exposure time: 10s.
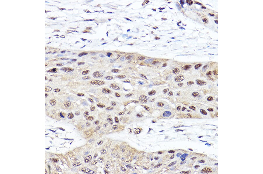
Immunohistochemistry - Anti-Proteasome subunit beta type 2/PSMB2 Antibody (A14796)
Immunohistochemistry analysis of paraffin-embedded human esophageal cancer using Anti-Proteasome subunit beta type 2/PSMB2 Antibody (A14796) at a dilution of 1:100 (40x lens). Perform high pressure antigen retrieval with 10 mM citrate buffer pH 6.0 before commencing with IHC staining protocol.
Western Blot - Anti-Proteasome subunit beta type 2/PSMB2 Antibody (A14796)
Immunoprecipitation analysis of 300µg extracts of HeLa cells using 3µg of Anti-Proteasome subunit beta type 2/PSMB2 Antibody (A14796). This Western blot was performed on the immunoprecipitate using Anti-Proteasome subunit beta type 2/PSMB2 Antibody (A14796) at a dilution of 1:1000.
Publishing research using Anti-Proteasome subunit beta type 2/PSMB2 Antibody (A14796)? Please let us know so that we can list the citation on this page.