Primary Antibodies
Secondary Antibodies
Proteins & Peptides
ELISA Kits
About Us
Contact Us
Sign In/Register
0
ISO 9001:2015 Certified
Live Customer Support
4.5/5 on Trustpilot
100% Quality Guarantee
Home
Primary Antibodies
PROX1 Antibodies
Anti-PROX1 Antibody (A38190)
Anti-PROX1 Antibody (A38190)
Overview
Specifications
Images
Enlarge Image
Enlarge Image
$430
Rabbit polyclonal antibody to PROX1 for WB and IHC.
100% Guarantee
Price Match Guarantee
Product Size:
100µl
Quantity:
1
2
3
4
5
6
7
8
9
10
Add To Cart
Request a Quotation
Custom or Bulk Request
Shipping Information
Freight/Packing Charges:
$40
Dispatched from St. Louis, MO.
Lead Time: 6-9 business days.
Specifications
Name
Anti-PROX1 Antibody
Description
Rabbit polyclonal antibody to PROX1
Specificity
The antibody detects endogenous levels of total PROX1 protein.
Applications
WB
,
IHC
Reactivity
Human, Mouse
Immunogen
Synthetic peptide of human prospero homeobox 1
Host
Rabbit
Clonality
Polyclonal
Conjugate
Unconjugated
Purification
Antigen affinity purification.
Concentration
2.5mg / ml
Formulation
Rabbit IgG in pH7.4 PBS, 0.05% NaN3, 40% Glycerol.
Storage
Store at -20˚C
Synonyms
Homeobox prospero-like protein PROX1, Prospero homeobox protein 1, PROX-1
Suitable Secondaries
Goat Anti-Rabbit IgG H&L Antibody (AP) (A294874)
Goat Anti-Rabbit IgG H&L Antibody (Biotin) (A294795)
Goat Anti-Rabbit IgG H&L Antibody (FITC) (A294887)
Goat Anti-Rabbit IgG H&L Antibody (HRP) (A294888)
See all Anti-Rabbit IgG Secondaries →
Disclaimer
This product is for research use only. It is not intended for diagnostic or therapeutic use.
Scientific Validation Data
Validation Data
(2)
Enlarge Image
Anti-PROX1 Antibody (A38190)
Gel: 6%SDS-PAGE Lysates (from left to right): Human fetal liver tissue and 231 cell. Amount of lysate: 40ug per lane Primary antibody: 1/300 dilution Secondary antibody dilution: 1/8000Exposure time: 2 minutes
Enlarge Image
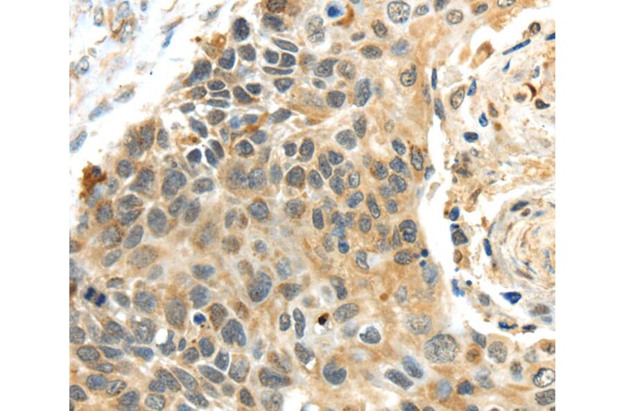
Immunohistochemistry - Anti-PROX1 Antibody (A38190)
Immunohistochemical analysis of paraffin-embedded Human oesophagus cancer tissue using #40209 at dilution 1/40.
Publishing research using Anti-PROX1 Antibody (A38190)? Please
let us know
so that we can list the citation on this page.
Alternative products to Anti-PROX1 Antibody (A38190)
(2)
A307592
Anti-PROX1 Antibody [ARC1391]
Rabbit monoclonal [ARC1391] antibody to PROX1 for WB and IHC.
(2)
A91318
Anti-PROX1 Antibody
Rabbit polyclonal antibody to PROX1 for WB.
(2)
A329780
Anti-PROX1 Antibody
Rabbit polyclonal antibody to PROX1 for ICC/IF and ELISA.
A42027
Anti-Prospero homeobox protein 1 Antibody
Rabbit polyclonal antibody to Prospero homeobox protein 1 for WB.
(2)
A307592
Anti-PROX1 Antibody [ARC1391]
Rabbit monoclonal [ARC1391] antibody to PROX1 for WB and IHC.
(2)
A91318
Anti-PROX1 Antibody
Rabbit polyclonal antibody to PROX1 for WB.
(2)
A329780
Anti-PROX1 Antibody
Rabbit polyclonal antibody to PROX1 for ICC/IF and ELISA.
A42027
Anti-Prospero homeobox protein 1 Antibody
Rabbit polyclonal antibody to Prospero homeobox protein 1 for WB.
Proteins predicted to interact with PROX1
Predicted protein interactions based upon String database. Revelancy score correlates with probability of interaction.
Podoplanin Antibodies
91.3% Relevancy Score
SOX18 Antibodies
86.7% Relevancy Score
VEGFD Antibodies
84.3% Relevancy Score
LYVE1 Antibodies
82.6% Relevancy Score
VEGFC Antibodies
82.1% Relevancy Score
NR5A2 Antibodies
81.9% Relevancy Score
FOXN4 Antibodies
80.8% Relevancy Score
VEGF Receptor 3 Antibodies
77.8% Relevancy Score
HNF 4 alpha Antibodies
77.7% Relevancy Score
Top