ISO 9001:2015 Certified
Live Customer Support
4.5/5 on Trustpilot
100% Quality Guarantee

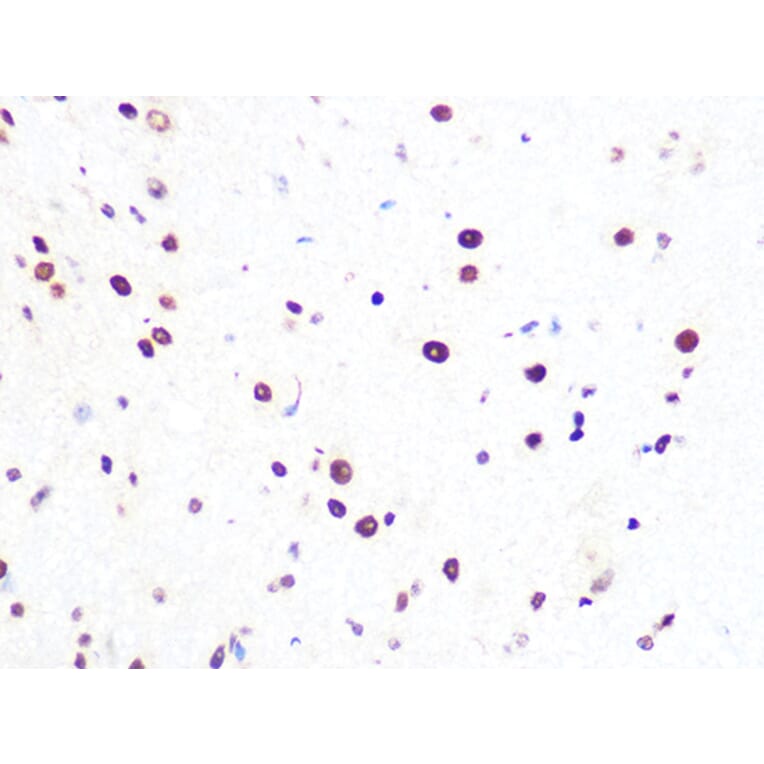
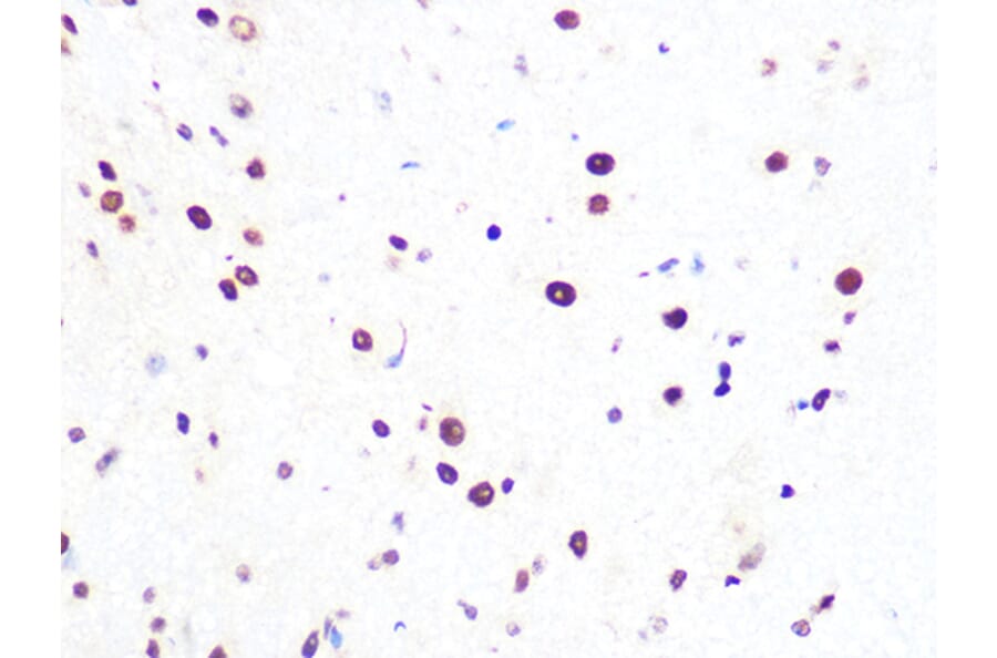
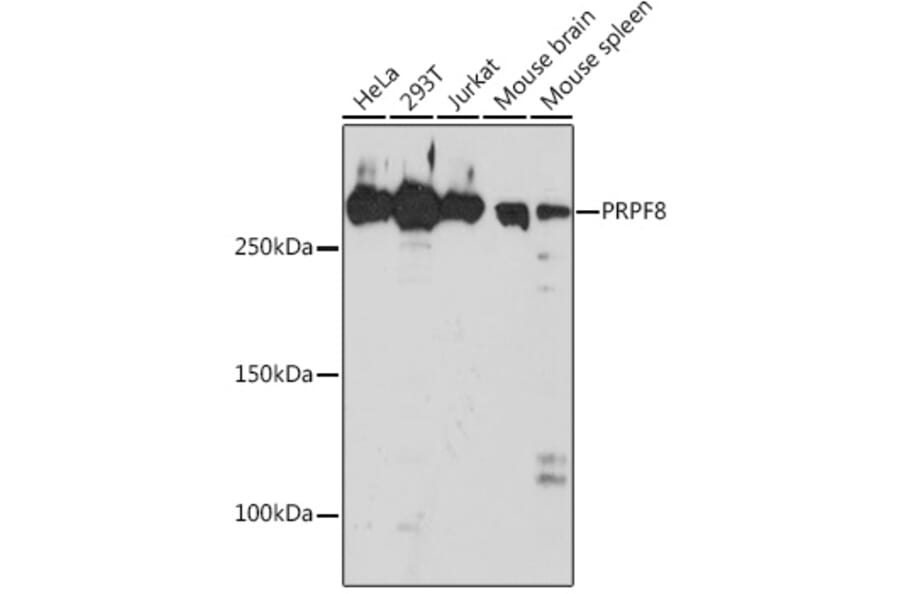
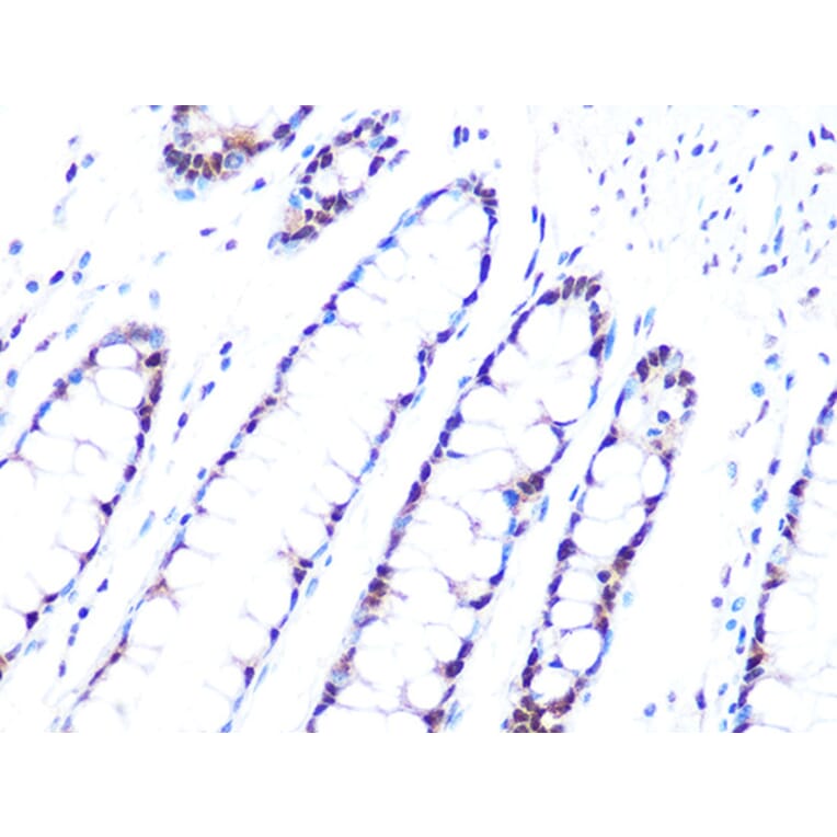
Anti-PRPF8/Prp8 Antibody [ARC1038] (A306859)

Rabbit monoclonal [ARC1038] antibody to PRPF8/Prp8 for WB, IHC and ICC/IF.

Shipping Information

$40
Dispatched from St. Louis, MO.
Lead Time: 7-10 business days.
Name
Anti-PRPF8/Prp8 Antibody [ARC1038]
Description
Rabbit monoclonal [ARC1038] antibody to PRPF8/Prp8.
Applications
WB, IHC, ICC/IF
Dilutions
WB: 1:500-1:2,000, IHC: 1:50-1:200, ICC/IF: 1:50-1:200
Reactivity
Human, Mouse, Rat
Immunogen
Recombinant fusion protein containing a sequence corresponding to amino acids 2200-2335 of human PRPF8 (Q6P2Q9).
Sequence
MADNPSWDGEKTIIITCSFTPGSCTLTAYKLTPSGYEWGRQNTDKGNNPKGYLPSHYERVQMLLSDRFLGFFMVPAQSSWNYNFMGVRHDPNMKYELQLANPKEFYHEVHRPSHFLNFALLQEGEVYSADREDLYA
Host
Rabbit
Clonality
Monoclonal
Clone ID
ARC1038
Isotype
IgG
Conjugate

Unconjugated

Purification
Affinity purification.
Concentration
Lot Specific
Molecular Weight
274 kDa
Product Form
Liquid
Formulation
Supplied in Phosphate Buffered Saline, pH 7.3, with 50% Glycerol, 0.05% BSA, and 0.02% Sodium Azide.
Storage
Shipped at 4°C. Upon delivery aliquot and store at -20°C. Avoid freeze/thaw cycles.
Disclaimer
This product is for research use only. It is not intended for diagnostic or therapeutic use.
Publishing research using Anti-PRPF8/Prp8 Antibody [ARC1038] (A306859)? Please let us know so that we can list the citation on this page.