ISO 9001:2015 Certified
Live Customer Support
4.5/5 on Trustpilot
100% Quality Guarantee

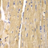
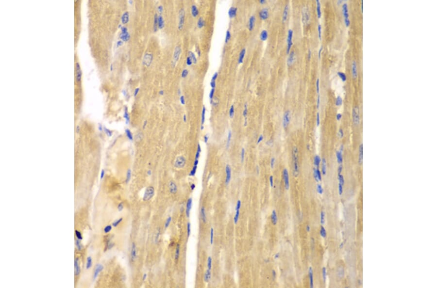
Anti-PRPH Antibody (A15015)

Rabbit polyclonal antibody to PRPH for WB and IHC.

Shipping Information

$40
Dispatched from St. Louis, MO.
Lead Time: 7-10 business days.
Name
Anti-PRPH Antibody
Description
Rabbit polyclonal antibody to PRPH.
Applications
WB, IHC
Dilutions
WB: 1:500-1:2000, IHC: 1:20-1:200
Reactivity
Human, Mouse, Rat
Immunogen
Recombinant fusion protein containing a sequence corresponding to amino acids 1-260 of human PRPH (NP_006253.2).
Sequence
MSHHPSGLRAGFSSTSYRRTFGPPPSLSPGAFSYSSSSRFSSSRLLGSASPSSSVRLGSFRSPRAGAGALLRLPSERLDFSMAEALNQEFLATRSNEKQELQELNDRFANFIEKVRFLEQQNAALRGELSQARGQEPARADQLCQQELRELRRELELLGRERDRVQVERDGLAEDLAALKQRLEEETRKREDAEHNLVLFRKDVDDATLSRLELERKIESLMDEIEFLKKLHEEELRDLQVSVESQQVQQVEVEATVKPE
Host
Rabbit
Clonality
Polyclonal
Isotype
IgG
Conjugate

Unconjugated

Purification
Affinity purification.
Concentration
Lot Specific
Molecular Weight
54 - 62kDa (Observed MW)
Product Form
Liquid
Formulation
Supplied in Phosphate Buffered Saline, pH 7.30, with 0.02% Sodium Azide and 50% Glycerol.
Storage
Shipped at 4°C. Upon delivery aliquot and store at -20°C. Avoid freeze/thaw cycles.
Synonyms
NEF 4, NEF4, Neurofilament 4, Neurofilament 4 (57kD), Perf, Peripherin, PERI_HUMAN, PRPH 1, PRPH1
Disclaimer
This product is for research use only. It is not intended for diagnostic or therapeutic use.
Publishing research using Anti-PRPH Antibody (A15015)? Please let us know so that we can list the citation on this page.