ISO 9001:2015 Certified
Live Customer Support
4.5/5 on Trustpilot
100% Quality Guarantee

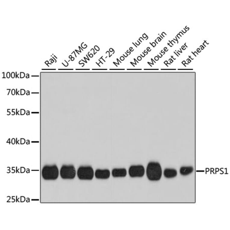
Anti-PRPS1 Antibody (A16088)

This product is discontinued

Anti-PRPS1 Antibody (A16088) has been discontinued and is no longer available.

View all PRPS1 Antibodies.

Name
Anti-PRPS1 Antibody
Description
Rabbit polyclonal antibody to PRPS1.
Applications
WB
Dilutions
WB: 1:500-1:2,000
Reactivity
Human, Mouse, Rat
Immunogen
A synthetic peptide corresponding to a sequence within amino acids 250-322 of human PRPS1 (NP_002755.1).
Sequence
HGIFSGPAISRINNACFEAVVVTNTIPQEDKMKHCSKIQVIDISMILAEAIRRTHNGESVSYLFSHVPL
Host
Rabbit
Clonality
Polyclonal
Isotype
IgG
Conjugate

Unconjugated

Purification
Affinity purification.
Molecular Weight
35 kDa
Product Form
Liquid
Formulation
Supplied in Phosphate Buffered Saline, pH 7.3, with 50% Glycerol and 0.02% Sodium Azide.
Storage
Shipped at 4°C. Upon delivery aliquot and store at -20°C. Avoid freeze / thaw cycles.
Synonyms
Phosphoribosyl pyrophosphate synthase I, PPRibP, PRS-I, Ribose-phosphate pyrophosphokinase 1
Disclaimer
This product is for research use only. It is not intended for diagnostic or therapeutic use.

Alternative products to Anti-PRPS1 Antibody (A16088)

Proteins predicted to interact with PRPS1

Predicted protein interactions based upon String database. Revelancy score correlates with probability of interaction.
98.7% Relevancy Score
98.5% Relevancy Score
98.3% Relevancy Score
97% Relevancy Score
96.5% Relevancy Score
96.1% Relevancy Score
95.7% Relevancy Score
95.6% Relevancy Score
95.4% Relevancy Score