Primary Antibodies
Secondary Antibodies
Proteins & Peptides
ELISA Kits
About Us
Contact Us
Sign In/Register
0
ISO 9001:2015 Certified
Live Customer Support
4.5/5 on Trustpilot
100% Quality Guarantee
Home
Primary Antibodies
Marapsin2 Antibodies
Anti-PRSS38 Antibody (A45681)
Anti-PRSS38 Antibody (A45681)
Overview
Specifications
Images
Enlarge Image
Enlarge Image
$430
Product Datasheet
Rabbit polyclonal antibody to PRSS38 for IHC.
100% Guarantee
Price Match Guarantee
Product Size:
100µl
Quantity:
1
2
3
4
5
6
7
8
9
10
Add To Cart
Request a Quotation
Custom or Bulk Request
Shipping Information
Freight/Packing Charges:
$40
Dispatched from St. Louis, MO.
Lead Time: 6-9 business days.
Specifications
Name
Anti-PRSS38 Antibody
Description
Rabbit polyclonal antibody to PRSS38
Specificity
The antibody detects endogenous levels of total PRSS38 protein.
Applications
IHC
Reactivity
Human
Immunogen
Full length fusion protein of human PRSS38
Host
Rabbit
Clonality
Polyclonal
Conjugate
Unconjugated
Purification
Antigen affinity purification.
Concentration
1.3 mg/mL
Formulation
Rabbit IgG in pH7.4 PBS, 0.05% NaN3, 40% Glycerol.
Storage
Shipped at 4°C. Upon delivery aliquot and store at -20°C. Avoid freeze/thaw cycles.
Synonyms
Marapsin-2, MPN2, Serine protease 38
Suitable Secondaries
Goat Anti-Rabbit IgG H&L Antibody (AP) (A294874)
Goat Anti-Rabbit IgG H&L Antibody (Biotin) (A294795)
Goat Anti-Rabbit IgG H&L Antibody (FITC) (A294887)
Goat Anti-Rabbit IgG H&L Antibody (HRP) (A294888)
See all Anti-Rabbit IgG Secondaries →
Disclaimer
This product is for research use only. It is not intended for diagnostic or therapeutic use.
Scientific Validation Data
Validation Data
(2)
Enlarge Image
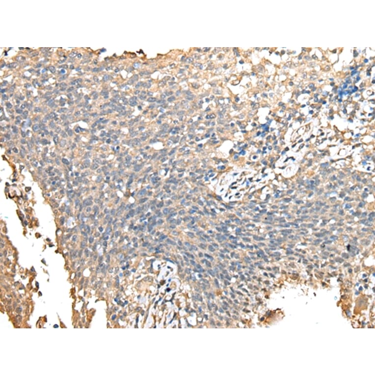
Immunohistochemistry - Anti-PRSS38 Antibody (A45681)
Immunohistochemical analysis of paraffin-embedded Human liver cancer tissue using #42924 at dilution 1/30.
Enlarge Image
Immunohistochemistry - Anti-PRSS38 Antibody (A45681)
Immunohistochemical analysis of paraffin-embedded Human cervical cancer tissue using #42924 at dilution 1/30.
Publishing research using Anti-PRSS38 Antibody (A45681)? Please
let us know
so that we can list the citation on this page.
Proteins predicted to interact with Marapsin2
Predicted protein interactions based upon String database. Revelancy score correlates with probability of interaction.
C16orf57 Antibodies
59.7% Relevancy Score
ZPBP1 Antibodies
32.1% Relevancy Score
TSEN2 Antibodies
30% Relevancy Score
ZP1 Antibodies
29.7% Relevancy Score
OTUB1 Antibodies
29.2% Relevancy Score
FMRP Antibodies
27.8% Relevancy Score
DMBT1 Antibodies
27.3% Relevancy Score
ZP4 Antibodies
27.2% Relevancy Score
CCK4 Antibodies
26.1% Relevancy Score
Top