Primary Antibodies
Secondary Antibodies
Proteins & Peptides
ELISA Kits
About Us
Contact Us
Sign In/Register
0
ISO 9001:2015 Certified
Live Customer Support
4.5/5 on Trustpilot
100% Quality Guarantee
Home
Primary Antibodies
PRSS8 Antibodies
Anti-PRSS8 Antibody (A46380)
Anti-PRSS8 Antibody (A46380)
Overview
Specifications
Images
Enlarge Image
Enlarge Image
$405
Rabbit polyclonal antibody to PRSS8 for IHC.
100% Guarantee
Price Match Guarantee
Product Size:
100µl
Quantity:
1
2
3
4
5
6
7
8
9
10
Add To Cart
Request a Quotation
Custom or Bulk Request
Shipping Information
Freight/Packing Charges:
$40
Dispatched from St. Louis, MO.
Lead Time: 6-9 business days.
Specifications
Name
Anti-PRSS8 Antibody
Description
Rabbit polyclonal antibody to PRSS8
Specificity
The antibody detects endogenous levels of total PRSS8 protein.
Applications
IHC
Reactivity
Human
Immunogen
Synthetic peptide corresponding to residues near the C terminal of human protease, serine, 8
Host
Rabbit
Clonality
Polyclonal
Conjugate
Unconjugated
Purification
Antigen affinity purification.
Concentration
2.6 mg/ml
Formulation
Rabbit IgG in pH7.4 PBS, 0.05% NaN3, 40% Glycerol.
Storage
Store at -20˚C
Synonyms
CAP1, Channel-activating protease 1, Prostasin, Serine protease 8
Suitable Secondaries
Goat Anti-Rabbit IgG H&L Antibody (AP) (A294874)
Goat Anti-Rabbit IgG H&L Antibody (Biotin) (A294795)
Goat Anti-Rabbit IgG H&L Antibody (FITC) (A294887)
Goat Anti-Rabbit IgG H&L Antibody (HRP) (A294888)
See all Anti-Rabbit IgG Secondaries →
Disclaimer
This product is for research use only. It is not intended for diagnostic or therapeutic use.
Scientific Validation Data
Validation Data
(2)
Enlarge Image
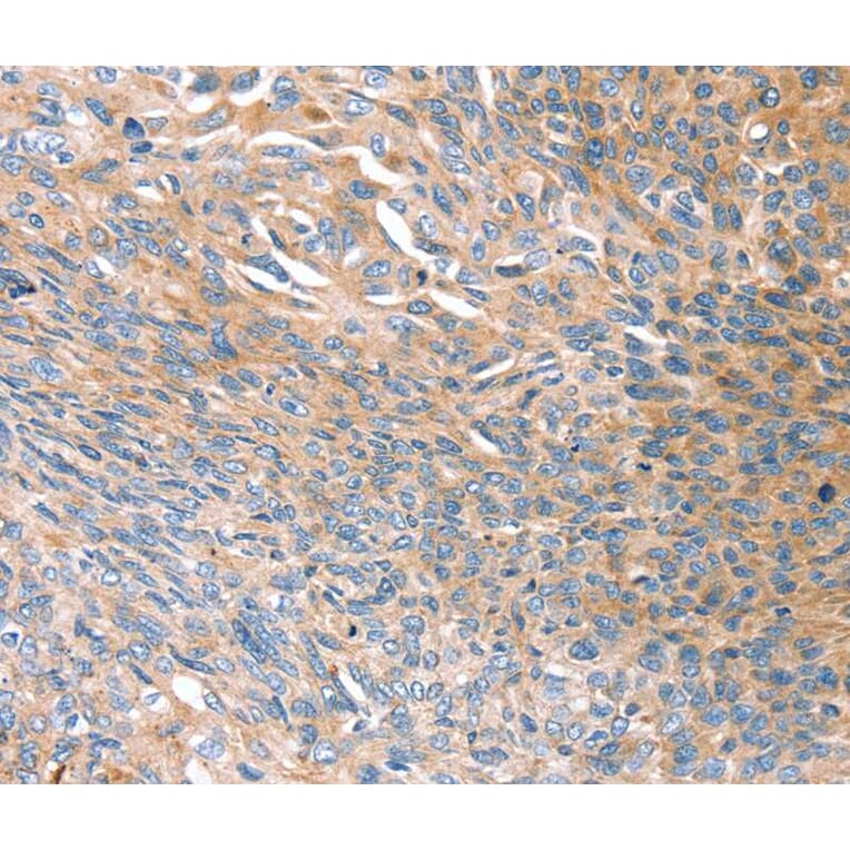
Immunohistochemistry - Anti-PRSS8 Antibody (A46380)
Immunohistochemical analysis of paraffin-embedded Human oesophagus cancer tissue using #40367 at dilution 1/45.
Enlarge Image
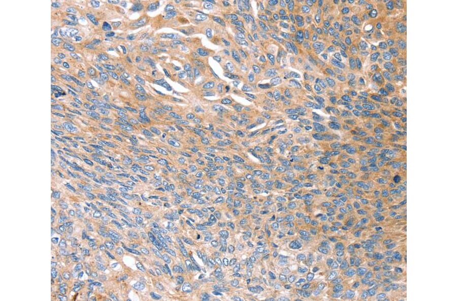
Immunohistochemistry - Anti-PRSS8 Antibody (A46380)
Immunohistochemical analysis of paraffin-embedded Human brain tissue using #40367 at dilution 1/45.
Publishing research using Anti-PRSS8 Antibody (A46380)? Please
let us know
so that we can list the citation on this page.
Alternative products to Anti-PRSS8 Antibody (A46380)
(2)
A91587
Anti-PRSS8 Antibody
Rabbit polyclonal antibody to PRSS8 for WB, IHC and ICC/IF.
A28761
Anti-PRSS8 Antibody
Rabbit polyclonal antibody to PRSS8 for WB.
(2)
A91587
Anti-PRSS8 Antibody
Rabbit polyclonal antibody to PRSS8 for WB, IHC and ICC/IF.
A28761
Anti-PRSS8 Antibody
Rabbit polyclonal antibody to PRSS8 for WB.
Proteins predicted to interact with PRSS8
Predicted protein interactions based upon String database. Revelancy score correlates with probability of interaction.
HAI-1 Antibodies
89.9% Relevancy Score
HGFA Inhibitor 2 Antibodies
80.7% Relevancy Score
Furin Antibodies
77.9% Relevancy Score
Epithelial Sodium Channel alpha Antibodies
72.9% Relevancy Score
Epithelial Sodium Channel gamma Antibodies
66.7% Relevancy Score
ST14 Antibodies
63.1% Relevancy Score
RAB25 Antibodies
61.4% Relevancy Score
NEDD4L Antibodies
60.9% Relevancy Score
Claudin-7 Antibodies
58.6% Relevancy Score
Top