ISO 9001:2015 Certified
Live Customer Support
4.5/5 on Trustpilot
100% Quality Guarantee

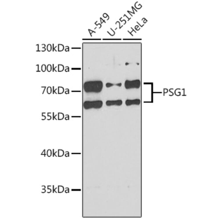
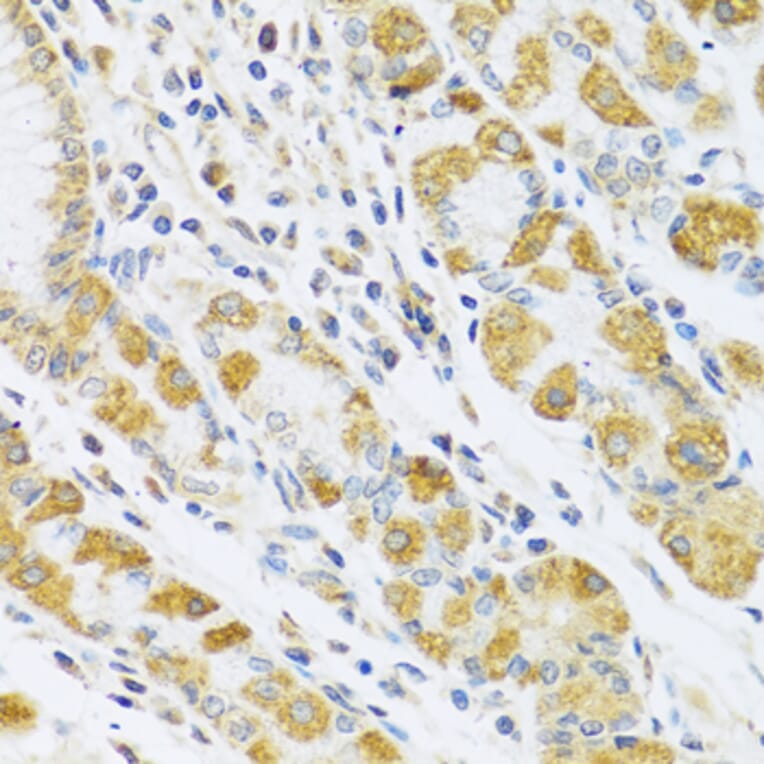
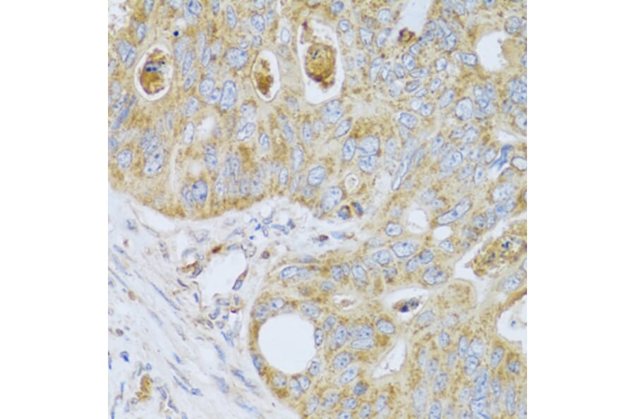
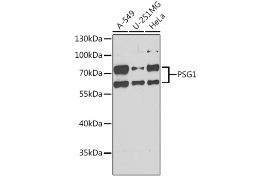
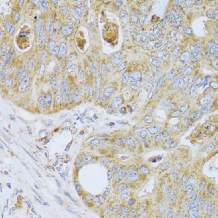
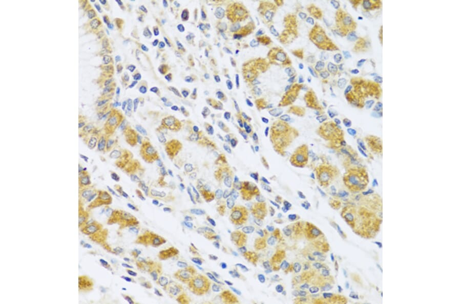
Anti-PSG1 Antibody (A15209)

Rabbit polyclonal antibody to PSG1 for WB, IHC and ICC/IF.

Shipping Information

$40
Dispatched from St. Louis, MO.
Lead Time: 7-10 business days.
Name
Anti-PSG1 Antibody
Description
Rabbit polyclonal antibody to PSG1.
Applications
WB, IHC, ICC/IF
Dilutions
WB: 1:500-1:2,000, IHC: 1:50-1:100, ICC/IF: 1:50-1:200
Reactivity
Human
Immunogen
Recombinant fusion protein containing a sequence corresponding to amino acids 180-419 of human PSG1 (NP_001171754.1).
Sequence
WWMNGQSLPMTHSLKLSETNRTLFLLGVTKYTAGPYECEIRNPVSASRSDPVTLNLLPKLPKPYITINNLNPRENKDVLNFTCEPKSENYTYIWWLNGQSLPVSPRVKRPIENRILILPSVTRNETGPYQCEIRDRYGGIRSDPVTLNVLYGPDLPRIYPSFTYYRSGEVLYLSCSADSNPPAQYSWTINEKFQLPGQKLFIRHITTKHSGLYVCSVRNSATGKESSKSMTVEVSDWTVP
Host
Rabbit
Clonality
Polyclonal
Isotype
IgG
Conjugate

Unconjugated

Purification
Affinity purification.
Concentration
Lot Specific
Molecular Weight
55 - 72 kDa
Product Form
Liquid
Formulation
Supplied in Phosphate Buffered Saline, pH 7.3, with 50% Glycerol and 0.02% Sodium Azide.
Storage
Shipped at 4°C. Upon delivery aliquot and store at -20°C. Avoid freeze/thaw cycles.
Synonyms
B1G1, CD66 antigen-like family member F, CD66f, Fetal liver non-specific cross-reactive antigen 1/2, FL-NCA-1/2, Pregnancy-specific beta-1 glycoprotein C/D, Pregnancy-specific beta-1-glycoprotein 1, Pregnancy-specific glycoprotein 1, PS-beta-C/D, PS-beta-G-1, PSBG-1, PSBG1, PSG95, PSGGA
Disclaimer
This product is for research use only. It is not intended for diagnostic or therapeutic use.
Publishing research using Anti-PSG1 Antibody (A15209)? Please let us know so that we can list the citation on this page.

Alternative products to Anti-PSG1 Antibody (A15209)

Proteins predicted to interact with PSG1

Predicted protein interactions based upon String database. Revelancy score correlates with probability of interaction.
95.4% Relevancy Score
78.5% Relevancy Score
77.4% Relevancy Score
73.4% Relevancy Score
69.3% Relevancy Score
66% Relevancy Score
59.7% Relevancy Score
58.5% Relevancy Score
58% Relevancy Score