ISO 9001:2015 Certified
Live Customer Support
4.5/5 on Trustpilot
100% Quality Guarantee

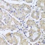
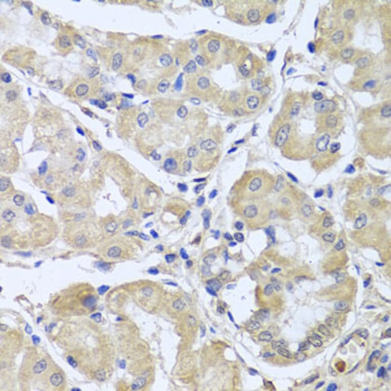
Anti-PSMB5 Antibody (A10385)

Rabbit polyclonal antibody to PSMB5 for WB, IHC, IF and IP.

Shipping Information

$40
Dispatched from St. Louis, MO.
Lead Time: 7-10 business days.
Name
Anti-PSMB5 Antibody
Description
Rabbit polyclonal antibody to PSMB5.
Applications
WB, IHC, IF, IP
Dilutions
WB: 1:500-1:2000, IHC: 1:50-1:200, IF: 1:50-1:200, IP: 1:50-1:100
Reactivity
Human, Mouse, Rat
Immunogen
Recombinant fusion protein containing a sequence corresponding to amino acids 1-263 of human PSMB5 (NP_002788.1).
Sequence
MALASVLERPLPVNQRGFFGLGGRADLLDLGPGSLSDGLSLAAPGWGVPEEPGIEMLHGTTTLAFKFRHGVIVAADSRATAGAYIASQTVKKVIEINPYLLGTMAGGAADCSFWERLLARQCRIYELRNKERISVAAASKLLANMVYQYKGMGLSMGTMICGWDKRGPGLYYVDSEGNRISGATFSVGSGSVYAYGVMDRGYSYDLEVEQAYDLARRAIYQATYRDAYSGGAVNLYHVREDGWIRVSSDNVADLHEKYSGSTP
Host
Rabbit
Clonality
Polyclonal
Isotype
IgG
Conjugate

Unconjugated

Purification
Affinity purification.
Concentration
Lot Specific
Molecular Weight
21kDa
Product Form
Liquid
Formulation
Supplied in Phosphate Buffered Saline, pH 7.30, with 0.02% Sodium Azide and 50% Glycerol.
Storage
Shipped at 4°C. Upon delivery aliquot and store at -20°C. Avoid freeze/thaw cycles.
Synonyms
LMPX, Macropain epsilon chain, MB1, Multicatalytic endopeptidase complex epsilon chain, Proteasome chain 6, Proteasome epsilon chain, Proteasome subunit beta type-5, Proteasome subunit MB1, Proteasome subunit X, X
Disclaimer
This product is for research use only. It is not intended for diagnostic or therapeutic use.
Publishing research using Anti-PSMB5 Antibody (A10385)? Please let us know so that we can list the citation on this page.

Alternative products to Anti-PSMB5 Antibody (A10385)

Proteins predicted to interact with PSMB5

Predicted protein interactions based upon String database. Revelancy score correlates with probability of interaction.
99.9% Relevancy Score
99.9% Relevancy Score
99.9% Relevancy Score
99.9% Relevancy Score
99.9% Relevancy Score
99.9% Relevancy Score
99.9% Relevancy Score
99.9% Relevancy Score
99.9% Relevancy Score