ISO 9001:2015 Certified
Live Customer Support
4.5/5 on Trustpilot
100% Quality Guarantee

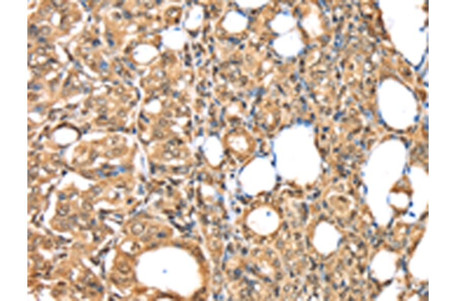
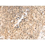
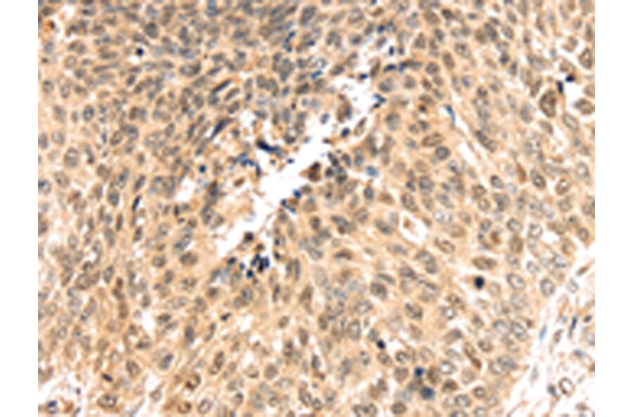
Anti-PSMB8 Antibody (A38270)

Rabbit polyclonal antibody to PSMB8 for WB and IHC.

Shipping Information

$40
Dispatched from St. Louis, MO.
Lead Time: 6-9 business days.
Name
Anti-PSMB8 Antibody
Description
Rabbit polyclonal antibody to PSMB8
Specificity
The antibody detects endogenous levels of total PSMB8 protein.
Applications
WB, IHC
Reactivity
Human
Immunogen
Synthetic peptide of human PSMB8
Host
Rabbit
Clonality
Polyclonal
Conjugate

Unconjugated

Purification
Antigen affinity purification.
Concentration
2 mg/mL
Formulation
Rabbit IgG in pH7.4 PBS, 0.05% NaN3, 40% Glycerol.
Storage
Shipped at 4°C. Upon delivery aliquot and store at -20°C. Avoid freeze/thaw cycles.
Synonyms
LMP7, Low molecular mass protein 7, Macropain subunit C13, Multicatalytic endopeptidase complex subunit C13, Proteasome component C13, Proteasome subunit beta type-8, Proteasome subunit beta-5i, PSMB5i, Really interesting new gene 10 protein, RING10, Y2
Disclaimer
This product is for research use only. It is not intended for diagnostic or therapeutic use.
Publishing research using Anti-PSMB8 Antibody (A38270)? Please let us know so that we can list the citation on this page.

Alternative products to Anti-PSMB8 Antibody (A38270)

Proteins predicted to interact with PSMB8

Predicted protein interactions based upon String database. Revelancy score correlates with probability of interaction.
99.9% Relevancy Score
99.9% Relevancy Score
99.9% Relevancy Score
99.9% Relevancy Score
99.9% Relevancy Score
99.9% Relevancy Score
99.9% Relevancy Score
99.9% Relevancy Score