Primary Antibodies
Secondary Antibodies
Proteins & Peptides
ELISA Kits
About Us
Contact Us
Sign In/Register
0
ISO 9001:2015 Certified
Live Customer Support
4.5/5 on Trustpilot
100% Quality Guarantee
Home
Primary Antibodies
PSMC3 Antibodies
Anti-PSMC3 Antibody (A35088)
Anti-PSMC3 Antibody (A35088)
Overview
Specifications
Images
Enlarge Image
Enlarge Image
Enlarge Image
$645
Product Datasheet
Rabbit polyclonal antibody to PSMC3 for WB, IHC and ICC/IF.
100% Guarantee
Price Match Guarantee
Product Size:
100µl
Quantity:
1
2
3
4
5
6
7
8
9
10
Add To Cart
Request a Quotation
Custom or Bulk Request
Shipping Information
Freight/Packing Charges:
$40
Dispatched from St. Louis, MO.
Lead Time: 6-9 business days.
Specifications
Name
Anti-PSMC3 Antibody
Description
Rabbit polyclonal antibody to PSMC3
Applications
WB
,
IHC
,
ICC/IF
Reactivity
Human
Immunogen
Recombinant protein fragment contain a sequence corresponding to a region within amino acids 51 and 331 of PSMC3
Host
Rabbit
Clonality
Polyclonal
Conjugate
Unconjugated
Purification
Purified by antigen-affinity chromatography.
Formulation
Supplied in 0.1M Tris-buffered saline with 10% Glycerol (pH7.0). 0.01% Thimerosal was added as a preservative.
Storage
Shipped at 4°C. Upon delivery aliquot and store at -20°C. Avoid freeze/thaw cycles.
Synonyms
26S proteasome AAA-ATPase subunit RPT5, 26S proteasome regulatory subunit 6A, Proteasome 26S subunit ATPase 3, Proteasome subunit P50, Tat-binding protein 1, TBP-1, TBP1
Suitable Secondaries
Goat Anti-Rabbit IgG H&L Antibody (AP) (A294874)
Goat Anti-Rabbit IgG H&L Antibody (Biotin) (A294795)
Goat Anti-Rabbit IgG H&L Antibody (FITC) (A294887)
Goat Anti-Rabbit IgG H&L Antibody (HRP) (A294888)
See all Anti-Rabbit IgG Secondaries →
Disclaimer
This product is for research use only. It is not intended for diagnostic or therapeutic use.
Scientific Validation Data
Validation Data
(3)
Enlarge Image
Anti-PSMC3 Antibody (A35088)
Sample (30 µg of whole cell lysate) MOLT4 10% SDS PAGE Primary antibody diluted at 1: 5000
Enlarge Image
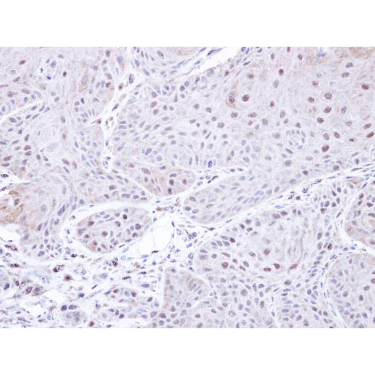
Immunohistochemistry - Anti-PSMC3 Antibody (A35088)
Immunohistochemical analysis of paraffin-embedded Cal27 xenograft, using PSMC3 antibody at 1: 500 dilution.
Enlarge Image
Immunofluorescence - Anti-PSMC3 Antibody (A35088)
Immunofluorescence analysis of paraformaldehyde-fixed A549, using PSMC3 antibody at 1: 200 dilution.
Publishing research using Anti-PSMC3 Antibody (A35088)? Please
let us know
so that we can list the citation on this page.
Alternative products to Anti-PSMC3 Antibody (A35088)
(4)
A13790
Anti-TBP-1 Antibody
Rabbit polyclonal antibody to TBP-1 for WB and IHC.
(3)
A27176
Anti-PSMC3 (V306) Antibody
Rabbit polyclonal antibody to PSMC3 (V306) for WB and IHC.
A97325
Anti-PRS6A Antibody
Rabbit polyclonal antibody to PRS6A for WB, IHC, IF and ELISA.
A10372
Anti-PSMC3 Antibody
Rabbit polyclonal antibody to PSMC3 for WB, IHC and IF.
(2)
A35212
Anti-PSMC3 Antibody
Rabbit polyclonal antibody to PSMC3 for WB and IHC.
(3)
A90209
Anti-TBP-1 Antibody
Rabbit polyclonal antibody to TBP-1 for WB, ICC/IF and IP.
A348021
Anti-PSMC3 Antibody [25GB5060]
Mouse monoclonal [25GB5060] antibody to PSMC3 for WB and Flow Cytometry.
(4)
A13790
Anti-TBP-1 Antibody
Rabbit polyclonal antibody to TBP-1 for WB and IHC.
(3)
A27176
Anti-PSMC3 (V306) Antibody
Rabbit polyclonal antibody to PSMC3 (V306) for WB and IHC.
A97325
Anti-PRS6A Antibody
Rabbit polyclonal antibody to PRS6A for WB, IHC, IF and ELISA.
A10372
Anti-PSMC3 Antibody
Rabbit polyclonal antibody to PSMC3 for WB, IHC and IF.
(2)
A35212
Anti-PSMC3 Antibody
Rabbit polyclonal antibody to PSMC3 for WB and IHC.
(3)
A90209
Anti-TBP-1 Antibody
Rabbit polyclonal antibody to TBP-1 for WB, ICC/IF and IP.
A348021
Anti-PSMC3 Antibody [25GB5060]
Mouse monoclonal [25GB5060] antibody to PSMC3 for WB and Flow Cytometry.
See all PSMC3 Antibodies
Proteins predicted to interact with PSMC3
Predicted protein interactions based upon String database. Revelancy score correlates with probability of interaction.
Tbp7 Antibodies
99.9% Relevancy Score
PSMC5 Antibodies
99.9% Relevancy Score
PSMD11 Antibodies
99.9% Relevancy Score
PSMD9 Antibodies
99.9% Relevancy Score
PSMD3 Antibodies
99.9% Relevancy Score
PSMA2 Antibodies
99.9% Relevancy Score
USP14 Antibodies
99.9% Relevancy Score
S5a Antibodies
99.9% Relevancy Score
PSMC2 Antibodies
99.9% Relevancy Score
Top