Primary Antibodies
Secondary Antibodies
Proteins & Peptides
ELISA Kits
About Us
Contact Us
Sign In/Register
0
ISO 9001:2015 Certified
Live Customer Support
4.5/5 on Trustpilot
100% Quality Guarantee
Home
Primary Antibodies
Tbp7 Antibodies
Anti-PSMC4 Antibody (A35248)
Anti-PSMC4 Antibody (A35248)
Overview
Specifications
Images
Enlarge Image
Enlarge Image
Enlarge Image
Enlarge Image
Enlarge Image
$415
Product Datasheet
Rabbit polyclonal antibody to PSMC4 for WB, IHC and ICC/IF.
100% Guarantee
Price Match Guarantee
Product Size:
50µl
100µl
Quantity:
1
2
3
4
5
6
7
8
9
10
Add To Cart
Request a Quotation
Custom or Bulk Request
Shipping Information
Freight/Packing Charges:
$40
Dispatched from St. Louis, MO.
Lead Time: 6-9 business days.
Specifications
Name
Anti-PSMC4 Antibody
Description
Rabbit polyclonal antibody to PSMC4
Specificity
The antibody detects endogenous level of total PSMC4 protein.
Applications
WB
,
IHC
,
ICC/IF
Reactivity
Human
Immunogen
Recombinant protein of human PSMC4.
Host
Rabbit
Clonality
Polyclonal
Conjugate
Unconjugated
Purification
Antibodies were purified by affinity purification using immunogen.
Concentration
1.0 mg/mL
Formulation
Supplied in phosphate-buffered saline (without Mg²? and Ca²?), pH 7.4, containing 150 mM NaCl, 0.02% sodium azide, and 50% glycerol.
Storage
Shipped at 4°C. Upon delivery aliquot and store at -20°C. Avoid freeze/thaw cycles.
Synonyms
26S proteasome AAA-ATPase subunit RPT3, 26S proteasome regulatory subunit 6B, MB67-interacting protein, MIP224, Proteasome 26S subunit ATPase 4, Tat-binding protein 7, TBP-7
Suitable Secondaries
Goat Anti-Rabbit IgG H&L Antibody (AP) (A294874)
Goat Anti-Rabbit IgG H&L Antibody (Biotin) (A294795)
Goat Anti-Rabbit IgG H&L Antibody (FITC) (A294887)
Goat Anti-Rabbit IgG H&L Antibody (HRP) (A294888)
See all Anti-Rabbit IgG Secondaries →
Disclaimer
This product is for research use only. It is not intended for diagnostic or therapeutic use.
Scientific Validation Data
Validation Data
(5)
Enlarge Image
Anti-PSMC4 Antibody (A35248)
Western blot analysis of extracts of various cell lines, using PSMC4 antibody.
Enlarge Image
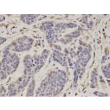
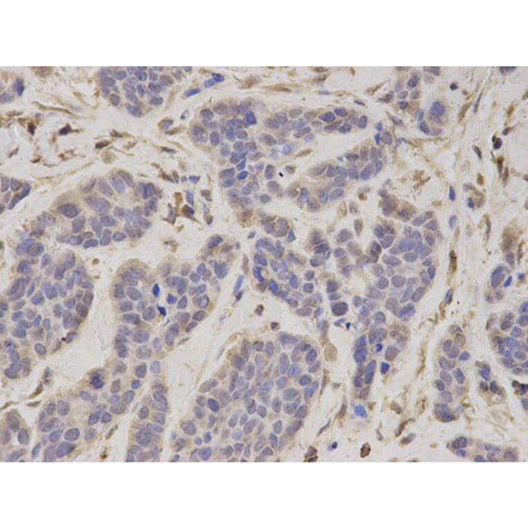
Immunohistochemistry - Anti-PSMC4 Antibody (A35248)
Immunohistochemical analysis of paraffin-embedded human breast cancer using PSMC4 antibody at dilution of 1: 100 (400x lens).
Enlarge Image
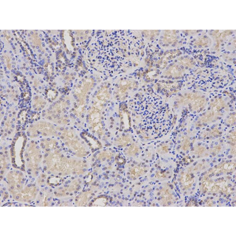
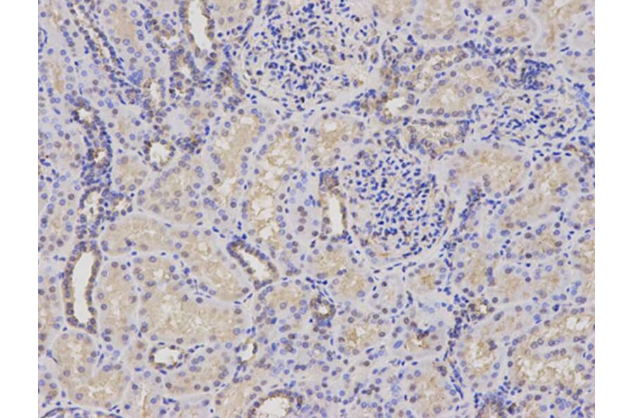
Immunohistochemistry - Anti-PSMC4 Antibody (A35248)
Immunohistochemical analysis of paraffin-embedded human kidney using PSMC4 antibody at dilution of 1: 100 (200x lens).
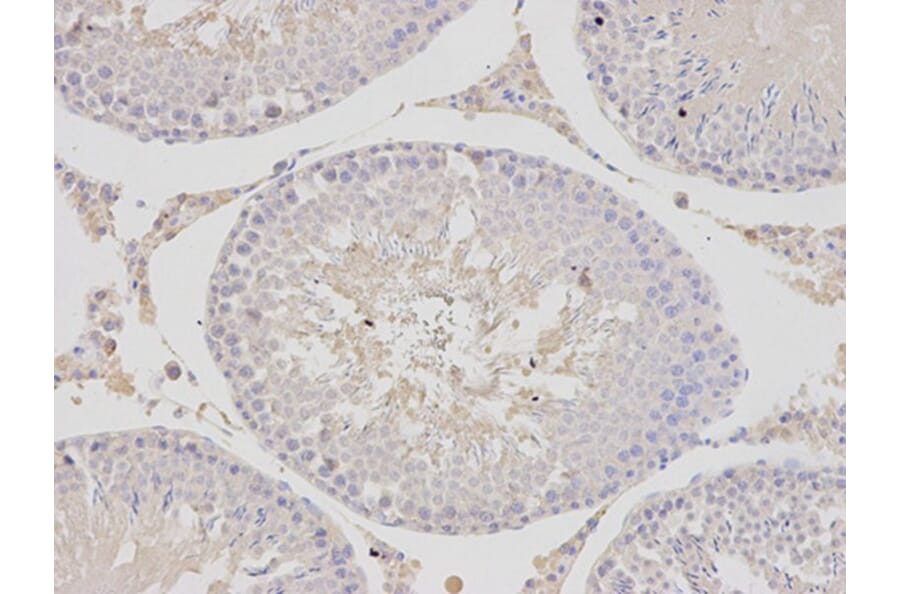
Enlarge Image
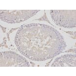
Immunohistochemistry - Anti-PSMC4 Antibody (A35248)
Immunohistochemical analysis of paraffin-embedded rat testis using PSMC4 antibody at dilution of 1: 100 (200x lens).
Enlarge Image
Immunofluorescence - Anti-PSMC4 Antibody (A35248)
Immunofluorescence analysis of U2OS cell using PSMC4 antibody. Blue: DAPI for nuclear staining.
Show more images
Publishing research using Anti-PSMC4 Antibody (A35248)? Please
let us know
so that we can list the citation on this page.
Alternative products to Anti-PSMC4 Antibody (A35248)
(3)
A30566
Anti-PSMC4 Antibody
Rabbit polyclonal antibody to PSMC4 for WB, IHC and IF.
(2)
A14016
Anti-Tbp7 Antibody
Rabbit polyclonal antibody to Tbp7 for WB and ICC/IF.
A349084
Anti-Tbp7 Antibody [24GB1400]
Recombinant rabbit monoclonal [24GB1400] antibody to Tbp7 for WB, Flow Cytometry and ICC/IF.
(3)
A30566
Anti-PSMC4 Antibody
Rabbit polyclonal antibody to PSMC4 for WB, IHC and IF.
(2)
A14016
Anti-Tbp7 Antibody
Rabbit polyclonal antibody to Tbp7 for WB and ICC/IF.
A349084
Anti-Tbp7 Antibody [24GB1400]
Recombinant rabbit monoclonal [24GB1400] antibody to Tbp7 for WB, Flow Cytometry and ICC/IF.
Proteins predicted to interact with Tbp7
Predicted protein interactions based upon String database. Revelancy score correlates with probability of interaction.
PSMB2 Antibodies
99.9% Relevancy Score
PSMD1 Antibodies
99.9% Relevancy Score
PSMD14 Antibodies
99.9% Relevancy Score
PSMC1 Antibodies
99.9% Relevancy Score
PSMC6 Antibodies
99.9% Relevancy Score
Proteasome 20S beta 3 Antibodies
99.9% Relevancy Score
PSMD8 Antibodies
99.9% Relevancy Score
PSMD12 Antibodies
99.9% Relevancy Score
PSMD13 Antibodies
99.9% Relevancy Score
Top