Primary Antibodies
Secondary Antibodies
Proteins & Peptides
ELISA Kits
About Us
Contact Us
Sign In/Register
0
ISO 9001:2015 Certified
Live Customer Support
4.5/5 on Trustpilot
100% Quality Guarantee
Home
Primary Antibodies
PTCH1 Antibodies
Anti-PTCH1 Antibody (A37830)
Anti-PTCH1 Antibody (A37830)
Overview
Specifications
Images
Enlarge Image
Enlarge Image
$430
Product Datasheet
Rabbit polyclonal antibody to PTCH1 for WB and IHC.
100% Guarantee
Price Match Guarantee
Product Size:
100µl
Quantity:
1
2
3
4
5
6
7
8
9
10
Add To Cart
Request a Quotation
Custom or Bulk Request
Shipping Information
Freight/Packing Charges:
$40
Dispatched from St. Louis, MO.
Lead Time: 6-9 business days.
Specifications
Name
Anti-PTCH1 Antibody
Description
Rabbit polyclonal antibody to PTCH1
Specificity
The antibody detects endogenous levels of total PTCH1 protein.
Applications
WB
,
IHC
Reactivity
Human, Mouse
Immunogen
Full length fusion protein
Host
Rabbit
Clonality
Polyclonal
Conjugate
Unconjugated
Purification
Antigen affinity purification.
Concentration
1.8 mg/mL
Formulation
Supplied in PBS, pH 7.3, containing 0.05% sodium azide and 50% glycerol.
Storage
Shipped at 4°C. Upon delivery aliquot and store at -20°C. Avoid freeze/thaw cycles.
Synonyms
Protein patched homolog 1, PTC, PTC1, PTCH
Suitable Secondaries
Goat Anti-Rabbit IgG H&L Antibody (AP) (A294874)
Goat Anti-Rabbit IgG H&L Antibody (Biotin) (A294795)
Goat Anti-Rabbit IgG H&L Antibody (FITC) (A294887)
Goat Anti-Rabbit IgG H&L Antibody (HRP) (A294888)
See all Anti-Rabbit IgG Secondaries →
Disclaimer
This product is for research use only. It is not intended for diagnostic or therapeutic use.
Scientific Validation Data
Validation Data
(2)
Enlarge Image
Anti-PTCH1 Antibody (A37830)
Gel: 8% SDS-PAGE Lysates (from left to right): Hela cell and mouse lung tissue Amount of lysate: 40ug per lane Primary antibody: 1/900 dilution Secondary antibody dilution: 1/8000 Exposure time: 1 minute
Enlarge Image
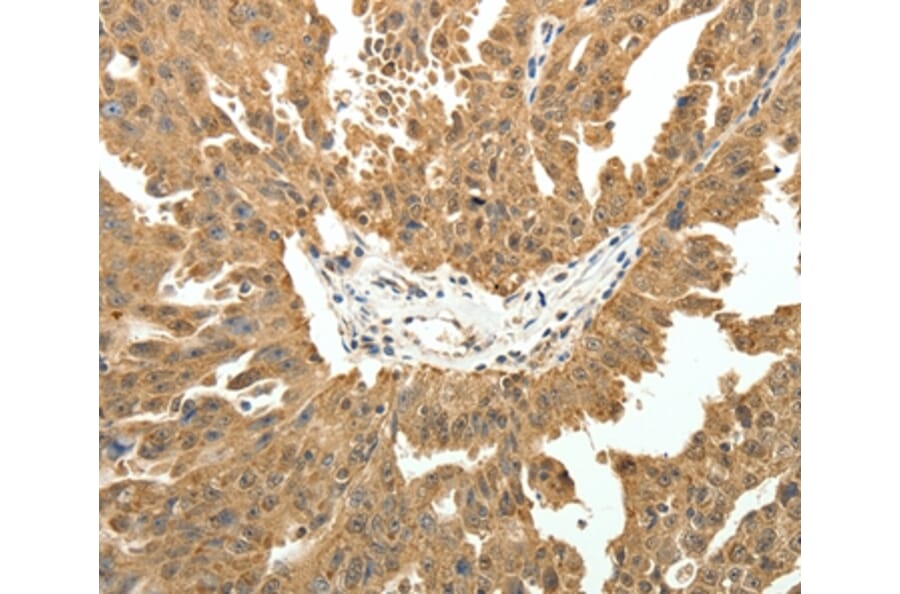
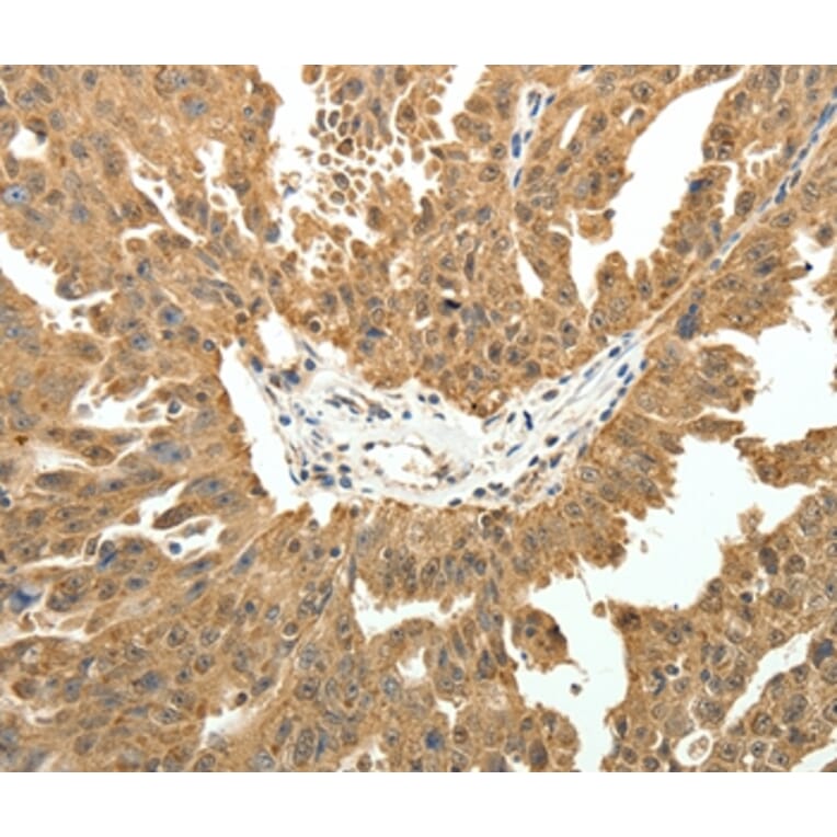
Immunohistochemistry - Anti-PTCH1 Antibody (A37830)
Immunohistochemical analysis of paraffin-embedded Human thyroid cancer tissue using #35897 at dilution 1/50.
Publishing research using Anti-PTCH1 Antibody (A37830)? Please
let us know
so that we can list the citation on this page.
Alternative products to Anti-PTCH1 Antibody (A37830)
(2)
A96561
Anti-Patched Antibody
Rabbit polyclonal antibody to Patched for WB, IHC, IF and ELISA.
A337947
Anti-PTCH1 Nanobody [SAA1343]
Recombinant alpaca monoclonal [SAA1343] nanobody to PTCH1 for BICC/IF and ELISA.
A337948
Anti-PTCH1 Nanobody [SAA1006]
Recombinant alpaca monoclonal [SAA1006] nanobody to PTCH1 for ELISA.
A337949
Anti-PTCH1 Nanobody [SAA1040]
Recombinant alpaca monoclonal [SAA1040] nanobody to PTCH1 for ELISA.
(2)
A96561
Anti-Patched Antibody
Rabbit polyclonal antibody to Patched for WB, IHC, IF and ELISA.
A337947
Anti-PTCH1 Nanobody [SAA1343]
Recombinant alpaca monoclonal [SAA1343] nanobody to PTCH1 for BICC/IF and ELISA.
A337948
Anti-PTCH1 Nanobody [SAA1006]
Recombinant alpaca monoclonal [SAA1006] nanobody to PTCH1 for ELISA.
A337949
Anti-PTCH1 Nanobody [SAA1040]
Recombinant alpaca monoclonal [SAA1040] nanobody to PTCH1 for ELISA.
Proteins predicted to interact with PTCH1
Predicted protein interactions based upon String database. Revelancy score correlates with probability of interaction.
DHH Antibodies
99.9% Relevancy Score
Ihh Antibodies
99.9% Relevancy Score
Sonic Hedgehog Antibodies
99.9% Relevancy Score
Smoothened Antibodies
99.9% Relevancy Score
GAS1 Antibodies
99.8% Relevancy Score
CDON Antibodies
99.8% Relevancy Score
BOC Antibodies
99.3% Relevancy Score
GLI3 Antibodies
98.9% Relevancy Score
SUFU Antibodies
97.9% Relevancy Score
Top