Primary Antibodies
Secondary Antibodies
Proteins & Peptides
ELISA Kits
About Us
Contact Us
Sign In/Register
0
ISO 9001:2015 Certified
Live Customer Support
4.5/5 on Trustpilot
100% Quality Guarantee
Home
Primary Antibodies
PTGER3 Antibodies
Anti-PTGER3 Antibody (A45737)
Anti-PTGER3 Antibody (A45737)
Overview
Specifications
Images
Enlarge Image
Enlarge Image
$405
Rabbit polyclonal antibody to PTGER3 for IHC.
100% Guarantee
Price Match Guarantee
Product Size:
100µl
Quantity:
1
2
3
4
5
6
7
8
9
10
Add To Cart
Request a Quotation
Custom or Bulk Request
Shipping Information
Freight/Packing Charges:
$40
Dispatched from St. Louis, MO.
Lead Time: 6-9 business days.
Specifications
Name
Anti-PTGER3 Antibody
Description
Rabbit polyclonal antibody to PTGER3
Specificity
The antibody detects endogenous levels of total PTGER3 protein.
Applications
IHC
Dilutions
Immunohistochemistry: 1:20-1:100
Reactivity
Human
Immunogen
Synthetic peptide of human PTGER3
Host
Rabbit
Clonality
Polyclonal
Conjugate
Unconjugated
Purification
Antigen affinity purification.
Concentration
1 mg/ml
Formulation
Rabbit IgG in pH7.4 PBS, 0.05% NaN3, 40% Glycerol.
Storage
Store at -20˚C
Synonyms
PGE receptor EP3 subtype, PGE2 receptor EP3 subtype, PGE2-R, Prostaglandin E2 receptor EP3 subtype, Prostanoid EP3 receptor
Suitable Secondaries
Goat Anti-Rabbit IgG H&L Antibody (AP) (A294874)
Goat Anti-Rabbit IgG H&L Antibody (Biotin) (A294795)
Goat Anti-Rabbit IgG H&L Antibody (FITC) (A294887)
Goat Anti-Rabbit IgG H&L Antibody (HRP) (A294888)
See all Anti-Rabbit IgG Secondaries →
Disclaimer
This product is for research use only. It is not intended for diagnostic or therapeutic use.
Scientific Validation Data
Validation Data
(2)
Enlarge Image
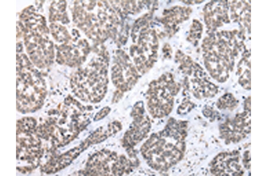
Immunohistochemistry - Anti-PTGER3 Antibody (A45737)
Immunohistochemical analysis of paraffin-embedded Human oesophagus cancer tissue using #43458 at dilution 1/20.
Enlarge Image
Immunohistochemistry - Anti-PTGER3 Antibody (A45737)
Immunohistochemical analysis of paraffin-embedded Human prostate cancer tissue using #43458 at dilution 1/20.
Publishing research using Anti-PTGER3 Antibody (A45737)? Please
let us know
so that we can list the citation on this page.
Alternative products to Anti-PTGER3 Antibody (A45737)
A54836
Anti-PTGER3 Antibody
Rabbit polyclonal antibody to PTGER3 for CM, ELISA, ICC/IF, IHC, IP and WB.
(3)
A98652
Anti-PE2R3 Antibody
Rabbit polyclonal antibody to PE2R3 for WB, IHC, IF and ELISA.
A82606
Anti-PTGER3 Antibody
Goat polyclonal antibody to PTGER3 for ELISA and WB.
A99611
Anti-PE2R3 Antibody
Rabbit polyclonal antibody to PE2R3 for WB, IHC and ELISA.
(2)
A100334
Anti-PTGER3 Antibody
Rabbit polyclonal antibody to PTGER3 for IF and ELISA.
A90245
Anti-PTGER3 Antibody
Rabbit polyclonal antibody to PTGER3 for WB.
A54836
Anti-PTGER3 Antibody
Rabbit polyclonal antibody to PTGER3 for CM, ELISA, ICC/IF, IHC, IP and WB.
(3)
A98652
Anti-PE2R3 Antibody
Rabbit polyclonal antibody to PE2R3 for WB, IHC, IF and ELISA.
A82606
Anti-PTGER3 Antibody
Goat polyclonal antibody to PTGER3 for ELISA and WB.
A99611
Anti-PE2R3 Antibody
Rabbit polyclonal antibody to PE2R3 for WB, IHC and ELISA.
(2)
A100334
Anti-PTGER3 Antibody
Rabbit polyclonal antibody to PTGER3 for IF and ELISA.
A90245
Anti-PTGER3 Antibody
Rabbit polyclonal antibody to PTGER3 for WB.
See all PTGER3 Antibodies
Proteins predicted to interact with PTGER3
Predicted protein interactions based upon String database. Revelancy score correlates with probability of interaction.
GNAI1 Antibodies
99.4% Relevancy Score
GNB1 Antibodies
96.9% Relevancy Score
G Protein alpha S Antibodies
93.9% Relevancy Score
GNAS Antibodies
93.9% Relevancy Score
GNG2 Antibodies
93.4% Relevancy Score
GNAQ Antibodies
91.9% Relevancy Score
GNAI3 Antibodies
91.5% Relevancy Score
GNAI2 Antibodies
91.4% Relevancy Score
COX2 Antibodies
80.2% Relevancy Score
Top