Primary Antibodies
Secondary Antibodies
Proteins & Peptides
ELISA Kits
About Us
Contact Us
Sign In/Register
0
ISO 9001:2015 Certified
Live Customer Support
4.5/5 on Trustpilot
100% Quality Guarantee
Home
Primary Antibodies
PTHLH Antibodies
Anti-PTHLH Antibody (A45917)
Anti-PTHLH Antibody (A45917)
Overview
Specifications
Images
Enlarge Image
Enlarge Image
$430
Product Datasheet
Rabbit polyclonal antibody to PTHLH for IHC.
100% Guarantee
Price Match Guarantee
Product Size:
100µl
Quantity:
1
2
3
4
5
6
7
8
9
10
Add To Cart
Request a Quotation
Custom or Bulk Request
Shipping Information
Freight/Packing Charges:
$40
Dispatched from St. Louis, MO.
Lead Time: 6-9 business days.
Specifications
Name
Anti-PTHLH Antibody
Description
Rabbit polyclonal antibody to PTHLH
Specificity
The antibody detects endogenous levels of total PTHLH protein.
Applications
IHC
Reactivity
Human
Immunogen
Fusion protein corresponding to a region derived from internal residues of human parathyroid hormone-like hormone
Host
Rabbit
Clonality
Polyclonal
Conjugate
Unconjugated
Purification
Antigen affinity purification.
Concentration
0.6 mg/mL
Formulation
Supplied in PBS, pH 7.3, containing 0.05% sodium azide and 50% glycerol.
Storage
Shipped at 4°C. Upon delivery aliquot and store at -20°C. Avoid freeze/thaw cycles.
Synonyms
Parathyroid hormone-like protein, Parathyroid hormone-related protein, PLP, PTH-rP, PTHrP
Suitable Secondaries
Goat Anti-Rabbit IgG H&L Antibody (AP) (A294874)
Goat Anti-Rabbit IgG H&L Antibody (Biotin) (A294795)
Goat Anti-Rabbit IgG H&L Antibody (FITC) (A294887)
Goat Anti-Rabbit IgG H&L Antibody (HRP) (A294888)
See all Anti-Rabbit IgG Secondaries →
Disclaimer
This product is for research use only. It is not intended for diagnostic or therapeutic use.
Scientific Validation Data
Validation Data
(2)
Enlarge Image
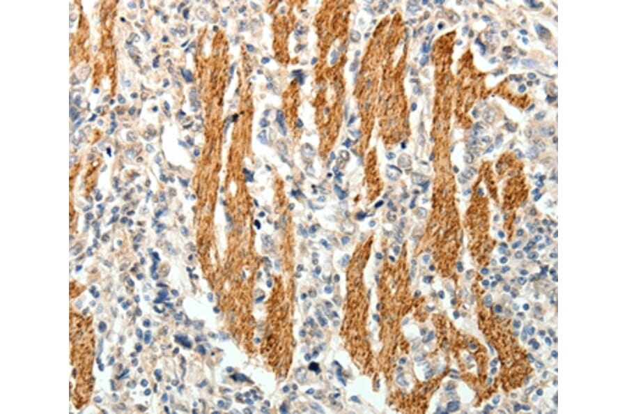
Immunohistochemistry - Anti-PTHLH Antibody (A45917)
Immunohistochemical analysis of paraffin-embedded Human ovarian cancer tissue using #35899 at dilution 1/20.
Enlarge Image
Immunohistochemistry - Anti-PTHLH Antibody (A45917)
Immunohistochemical analysis of paraffin-embedded Human gastric cancer tissue using #35899 at dilution 1/20.
Publishing research using Anti-PTHLH Antibody (A45917)? Please
let us know
so that we can list the citation on this page.
Alternative products to Anti-PTHLH Antibody (A45917)
(2)
A100799
Anti-PTHLH Antibody
Rabbit polyclonal antibody to PTHLH for WB and ELISA.
A11619
Anti-PTHLH Antibody
Rabbit polyclonal antibody to PTHLH for WB and IHC.
A13575
Anti-PTHLH Antibody
Rabbit polyclonal antibody to PTHLH for WB.
A43299
Anti-PTHLH Antibody
Rabbit polyclonal antibody to PTHLH for WB.
(2)
A100799
Anti-PTHLH Antibody
Rabbit polyclonal antibody to PTHLH for WB and ELISA.
A11619
Anti-PTHLH Antibody
Rabbit polyclonal antibody to PTHLH for WB and IHC.
A13575
Anti-PTHLH Antibody
Rabbit polyclonal antibody to PTHLH for WB.
A43299
Anti-PTHLH Antibody
Rabbit polyclonal antibody to PTHLH for WB.
Proteins predicted to interact with PTHLH
Predicted protein interactions based upon String database. Revelancy score correlates with probability of interaction.
PTH1R Antibodies
99.9% Relevancy Score
Parathyroid Hormone Antibodies
99.9% Relevancy Score
KPNB1 Antibodies
97.8% Relevancy Score
Ihh Antibodies
95.6% Relevancy Score
G Protein alpha S Antibodies
92.8% Relevancy Score
GNAS Antibodies
92.8% Relevancy Score
GNB1 Antibodies
80% Relevancy Score
GNG2 Antibodies
80% Relevancy Score
FGF2 Antibodies
78.4% Relevancy Score
Top