Primary Antibodies
Secondary Antibodies
Proteins & Peptides
ELISA Kits
About Us
Contact Us
Sign In/Register
0
ISO 9001:2015 Certified
Live Customer Support
4.5/5 on Trustpilot
100% Quality Guarantee
Home
Primary Antibodies
PTMA Antibodies
Anti-PTMA Antibody (A46893)
Anti-PTMA Antibody (A46893)
Overview
Specifications
Images
Enlarge Image
Enlarge Image
$405
Rabbit polyclonal antibody to PTMA for IHC.
100% Guarantee
Price Match Guarantee
Product Size:
100µl
Quantity:
1
2
3
4
5
6
7
8
9
10
Add To Cart
Request a Quotation
Custom or Bulk Request
Shipping Information
Freight/Packing Charges:
$40
Dispatched from St. Louis, MO.
Lead Time: 6-9 business days.
Specifications
Name
Anti-PTMA Antibody
Description
Rabbit polyclonal antibody to PTMA
Specificity
The antibody detects endogenous levels of total PTMA protein.
Applications
IHC
Reactivity
Human, Mouse, Rat
Immunogen
Synthetic peptide corresponding to residues near the N terminal of human prothymosin, alpha
Host
Rabbit
Clonality
Polyclonal
Conjugate
Unconjugated
Purification
Antigen affinity purification.
Concentration
0.9mg / ml
Formulation
Rabbit IgG in pH7.3 PBS, 0.05% NaN3, 50% Glycerol.
Storage
Store at -20˚C
Synonyms
Prothymosin alpha, TMSA
Suitable Secondaries
Goat Anti-Rabbit IgG H&L Antibody (AP) (A294874)
Goat Anti-Rabbit IgG H&L Antibody (Biotin) (A294795)
Goat Anti-Rabbit IgG H&L Antibody (FITC) (A294887)
Goat Anti-Rabbit IgG H&L Antibody (HRP) (A294888)
See all Anti-Rabbit IgG Secondaries →
Disclaimer
This product is for research use only. It is not intended for diagnostic or therapeutic use.
Scientific Validation Data
Validation Data
(2)
Enlarge Image
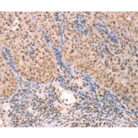
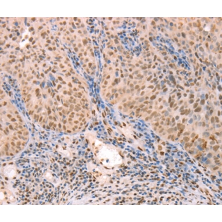
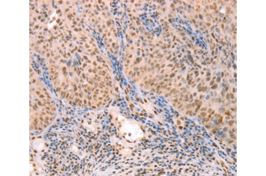
Immunohistochemistry - Anti-PTMA Antibody (A46893)
Immunohistochemical analysis of paraffin-embedded Human lymphoma tissue using #37277 at dilution 1/25.
Enlarge Image
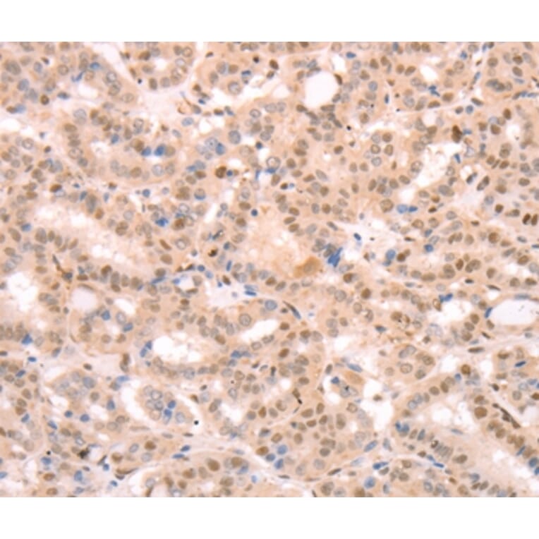
Immunohistochemistry - Anti-PTMA Antibody (A46893)
Immunohistochemical analysis of paraffin-embedded Human thyroid cancer tissue using #37277 at dilution 1/25.
Publishing research using Anti-PTMA Antibody (A46893)? Please
let us know
so that we can list the citation on this page.
Alternative products to Anti-PTMA Antibody (A46893)
A32827
Anti-PTMA Antibody [4G2]
Mouse monoclonal (4G2) antibody to Prothymosin alpha for WB and ELISA.
A45047
Anti-Prothymosin alpha Antibody
Rabbit polyclonal antibody to Prothymosin alpha for IHC.
A32826
Anti-PTMA Antibody [6A3]
Mouse monoclonal (6A3) antibody to Prothymosin alpha for WB and ELISA.
A32828
Anti-PTMA Antibody [6H7]
Mouse monoclonal (6H7) antibody to Prothymosin alpha for WB and ELISA.
A32829
Anti-PTMA Antibody [1F2]
Mouse monoclonal (1F2) antibody to Prothymosin alpha for WB and ELISA.
A32830
Anti-PTMA Antibody [4A7]
Mouse monoclonal (4A7) antibody to Prothymosin alpha for WB and ELISA.
A32885
Anti-PTMA Antibody [8H12]
Mouse monoclonal (8H12) antibody to Prothymosin alpha for WB and ELISA.
A32886
Anti-PTMA Antibody [9A10]
Mouse monoclonal (9A10) antibody to Prothymosin alpha for WB and ELISA.
A32887
Anti-PTMA Antibody [5A10]
Mouse monoclonal (5A10) antibody to Prothymosin alpha for WB and ELISA.
A32888
Anti-PTMA Antibody [4C3]
Mouse monoclonal (4C3) antibody to Prothymosin alpha for WB and ELISA.
A32827
Anti-PTMA Antibody [4G2]
Mouse monoclonal (4G2) antibody to Prothymosin alpha for WB and ELISA.
A45047
Anti-Prothymosin alpha Antibody
Rabbit polyclonal antibody to Prothymosin alpha for IHC.
A32826
Anti-PTMA Antibody [6A3]
Mouse monoclonal (6A3) antibody to Prothymosin alpha for WB and ELISA.
A32828
Anti-PTMA Antibody [6H7]
Mouse monoclonal (6H7) antibody to Prothymosin alpha for WB and ELISA.
A32829
Anti-PTMA Antibody [1F2]
Mouse monoclonal (1F2) antibody to Prothymosin alpha for WB and ELISA.
A32830
Anti-PTMA Antibody [4A7]
Mouse monoclonal (4A7) antibody to Prothymosin alpha for WB and ELISA.
A32885
Anti-PTMA Antibody [8H12]
Mouse monoclonal (8H12) antibody to Prothymosin alpha for WB and ELISA.
A32886
Anti-PTMA Antibody [9A10]
Mouse monoclonal (9A10) antibody to Prothymosin alpha for WB and ELISA.
A32887
Anti-PTMA Antibody [5A10]
Mouse monoclonal (5A10) antibody to Prothymosin alpha for WB and ELISA.
A32888
Anti-PTMA Antibody [4C3]
Mouse monoclonal (4C3) antibody to Prothymosin alpha for WB and ELISA.
See all PTMA Antibodies
Proteins predicted to interact with PTMA
Predicted protein interactions based upon String database. Revelancy score correlates with probability of interaction.
Keap1 Antibodies
99.3% Relevancy Score
PTMS Antibodies
99.1% Relevancy Score
ANP32A Antibodies
87.2% Relevancy Score
HNRNPC Antibodies
79.8% Relevancy Score
Cyclophilin A Antibodies
78.8% Relevancy Score
RPLP1 Antibodies
78.7% Relevancy Score
RPS3 Antibodies
78.1% Relevancy Score
RPL23A Antibodies
77.9% Relevancy Score
p300 Antibodies
77.5% Relevancy Score
Top