ISO 9001:2015 Certified
Live Customer Support
4.5/5 on Trustpilot
100% Quality Guarantee

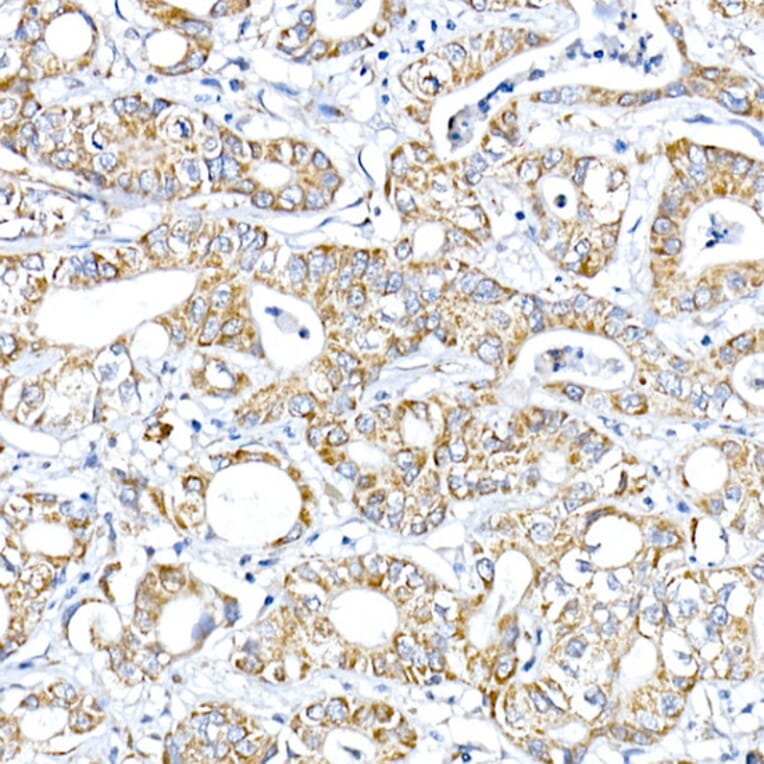
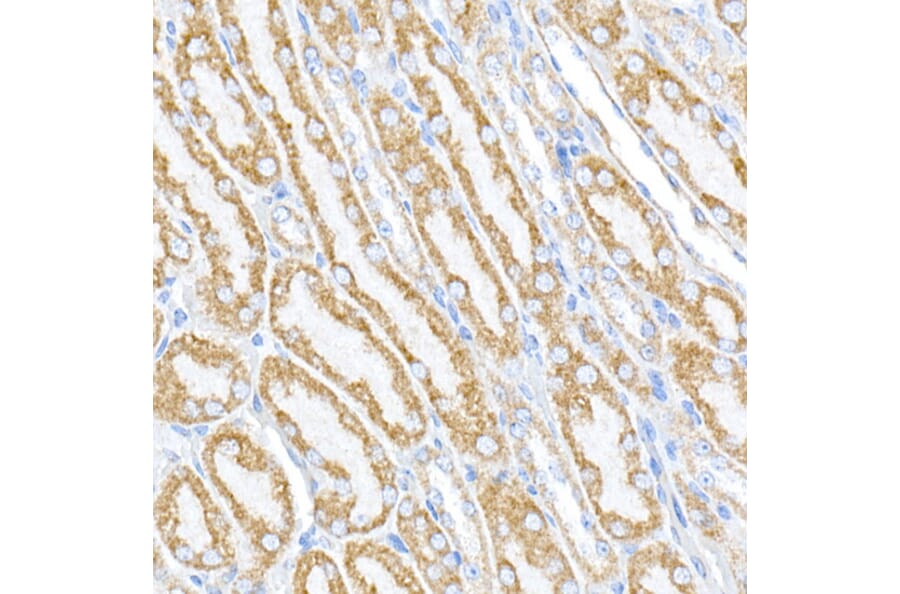
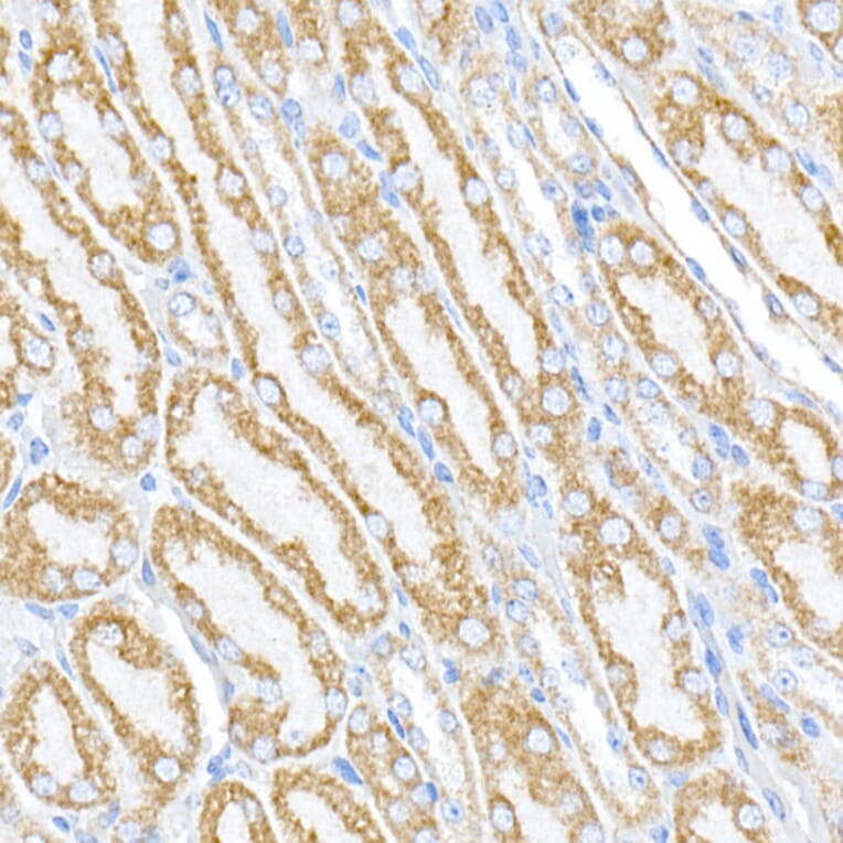
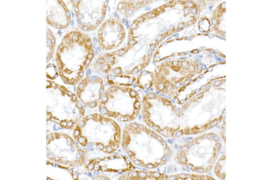
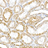
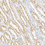
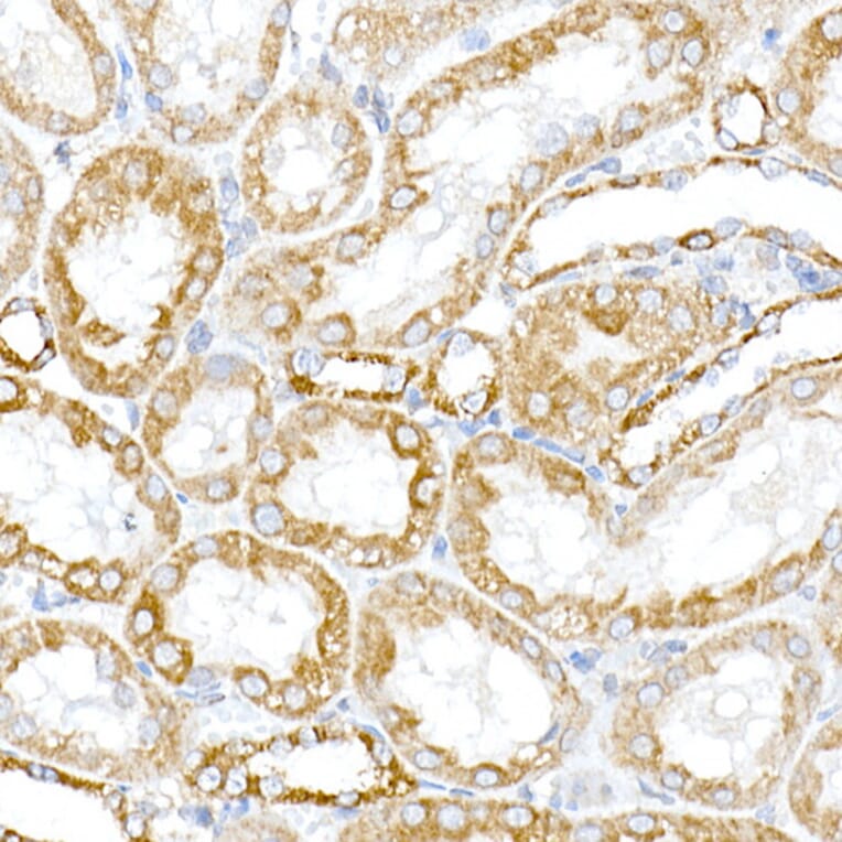
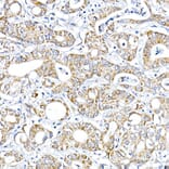
Anti-PTPIP51 Antibody (A14995)

Rabbit polyclonal antibody to PTPIP51 for WB, IHC and ICC/IF.

Shipping Information

$40
Dispatched from St. Louis, MO.
Lead Time: 7-10 business days.
Name
Anti-PTPIP51 Antibody
Description
Rabbit polyclonal antibody to PTPIP51.
Applications
WB, IHC, ICC/IF
Dilutions
WB: 1:500-1:2,000, IHC: 1:50-1:200, ICC/IF: 1:50-1:200
Reactivity
Human, Mouse, Rat
Immunogen
Recombinant fusion protein containing a sequence corresponding to amino acids 171-470 of human PTPIP51/RMDN3 (NP_060615.1).
Sequence
ESEGGYTTANAESDNERDSDKESEDGEDEVSCETVKMGRKDSLDLEEEAASGASSALEAGGSSGLEDVLPLLQQADELHRGDEQGKREGFQLLLNNKLVYGSRQDFLWRLARAYSDMCELTEEVSEKKSYALDGKEEAEAALEKGDESADCHLWYAVLCGQLAEHESIQRRIQSGFSFKEHVDKAIALQPENPMAHFLLGRWCYQVSHLSWLEKKTATALLESPLSATVEDALQSFLKAEELQPGFSKAGRVYISKCYRELGKNSEARWWMKLALELPDVTKEDLAIQKDLEELEVILRD
Host
Rabbit
Clonality
Polyclonal
Isotype
IgG
Conjugate

Unconjugated

Purification
Affinity purification.
Concentration
Lot Specific
Molecular Weight
60 kDa
Product Form
Liquid
Formulation
Supplied in Phosphate Buffered Saline, pH 7.3, with 50% Glycerol and 0.01% Thiomersal.
Storage
Shipped at 4°C. Upon delivery aliquot and store at -20°C. Avoid freeze/thaw cycles.
Synonyms
Cerebral protein 10, FAM82A2, FAM82C, hRMD-3, Protein FAM82A2, Protein FAM82C, Protein tyrosine phosphatase-interacting protein 51, Regulator of microtubule dynamics protein 3, RMD-3, RMDN3, TCPTP-interacting protein 51
Disclaimer
This product is for research use only. It is not intended for diagnostic or therapeutic use.
Publishing research using Anti-PTPIP51 Antibody (A14995)? Please let us know so that we can list the citation on this page.

Alternative products to Anti-PTPIP51 Antibody (A14995)

Proteins predicted to interact with PTPIP51

Predicted protein interactions based upon String database. Revelancy score correlates with probability of interaction.
99.9% Relevancy Score
98.9% Relevancy Score
96.1% Relevancy Score
91% Relevancy Score
87.7% Relevancy Score
84.4% Relevancy Score
83.7% Relevancy Score
83.5% Relevancy Score
82.5% Relevancy Score