Primary Antibodies
Secondary Antibodies
Proteins & Peptides
ELISA Kits
About Us
Contact Us
Sign In/Register
0
ISO 9001:2015 Certified
Live Customer Support
4.5/5 on Trustpilot
100% Quality Guarantee
Home
Primary Antibodies
Securin 2 Antibodies
Anti-PTTG2 Antibody (A46110)
Anti-PTTG2 Antibody (A46110)
Overview
Specifications
Images
Enlarge Image
Enlarge Image
$430
Product Datasheet
Rabbit polyclonal antibody to PTTG2 for IHC.
100% Guarantee
Price Match Guarantee
Product Size:
100µl
Quantity:
1
2
3
4
5
6
7
8
9
10
Add To Cart
Request a Quotation
Custom or Bulk Request
Shipping Information
Freight/Packing Charges:
$40
Dispatched from St. Louis, MO.
Lead Time: 6-9 business days.
Specifications
Name
Anti-PTTG2 Antibody
Description
Rabbit polyclonal antibody to PTTG2
Specificity
The antibody detects endogenous levels of total PTTG2 protein.
Applications
IHC
Reactivity
Human
Immunogen
Synthetic peptide corresponding to a region derived from internal residues of human pituitary tumor-transforming 1
Host
Rabbit
Clonality
Polyclonal
Conjugate
Unconjugated
Purification
Antigen affinity purification.
Concentration
0.7 mg/mL
Formulation
Supplied in PBS, pH 7.3, containing 0.05% sodium azide and 50% glycerol.
Storage
Shipped at 4°C. Upon delivery aliquot and store at -20°C. Avoid freeze/thaw cycles.
Synonyms
Pituitary tumor-transforming gene 2 protein, Securin-2
Suitable Secondaries
Goat Anti-Rabbit IgG H&L Antibody (AP) (A294874)
Goat Anti-Rabbit IgG H&L Antibody (Biotin) (A294795)
Goat Anti-Rabbit IgG H&L Antibody (FITC) (A294887)
Goat Anti-Rabbit IgG H&L Antibody (HRP) (A294888)
See all Anti-Rabbit IgG Secondaries →
Disclaimer
This product is for research use only. It is not intended for diagnostic or therapeutic use.
Scientific Validation Data
Validation Data
(2)
Enlarge Image
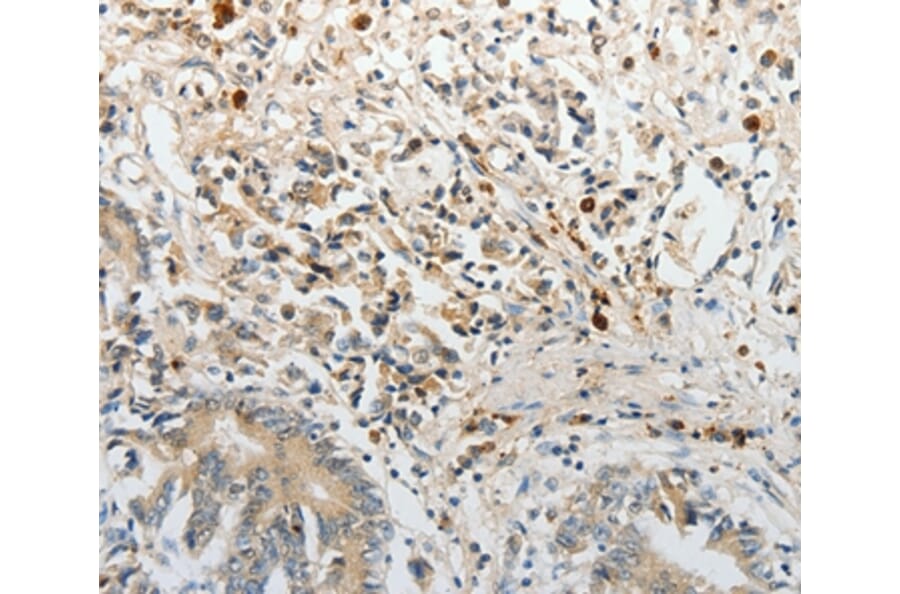
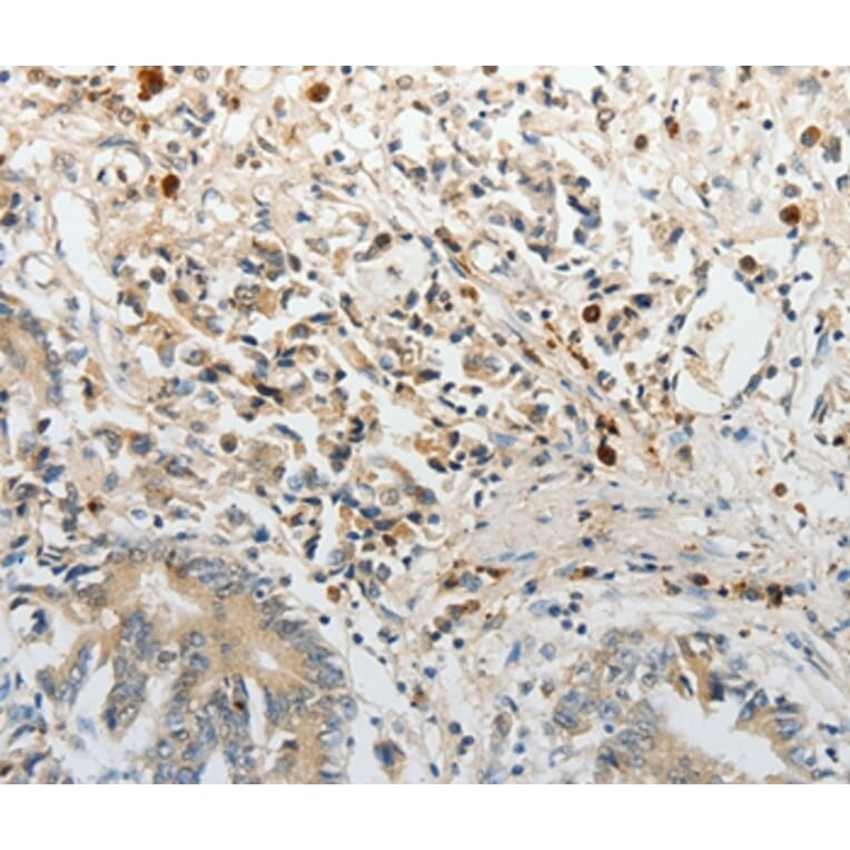
Immunohistochemistry - Anti-PTTG2 Antibody (A46110)
Immunohistochemical analysis of paraffin-embedded Human colon cancer tissue using #37021 at dilution 1/30.
Enlarge Image
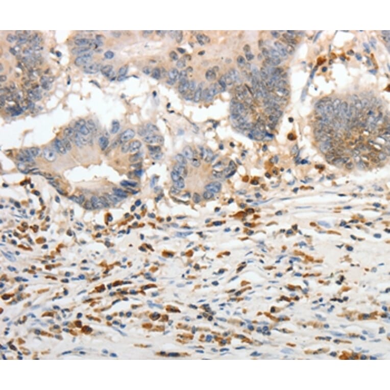
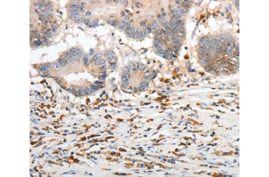
Immunohistochemistry - Anti-PTTG2 Antibody (A46110)
Immunohistochemical analysis of paraffin-embedded Human gastric cancer tissue using #37021 at dilution 1/30.
Publishing research using Anti-PTTG2 Antibody (A46110)? Please
let us know
so that we can list the citation on this page.
Proteins predicted to interact with Securin 2
Predicted protein interactions based upon String database. Revelancy score correlates with probability of interaction.
Separase Antibodies
99.9% Relevancy Score
CDC20 Antibodies
99.4% Relevancy Score
BubR1 Antibodies
92.5% Relevancy Score
CDK1 Antibodies
91.3% Relevancy Score
Cyclin B1 Antibodies
91.2% Relevancy Score
Securin Antibodies
90.3% Relevancy Score
CDC27 Antibodies
88.5% Relevancy Score
APC10 Antibodies
86.1% Relevancy Score
Bub3 Antibodies
84% Relevancy Score
Top