ISO 9001:2015 Certified
Live Customer Support
4.5/5 on Trustpilot
100% Quality Guarantee

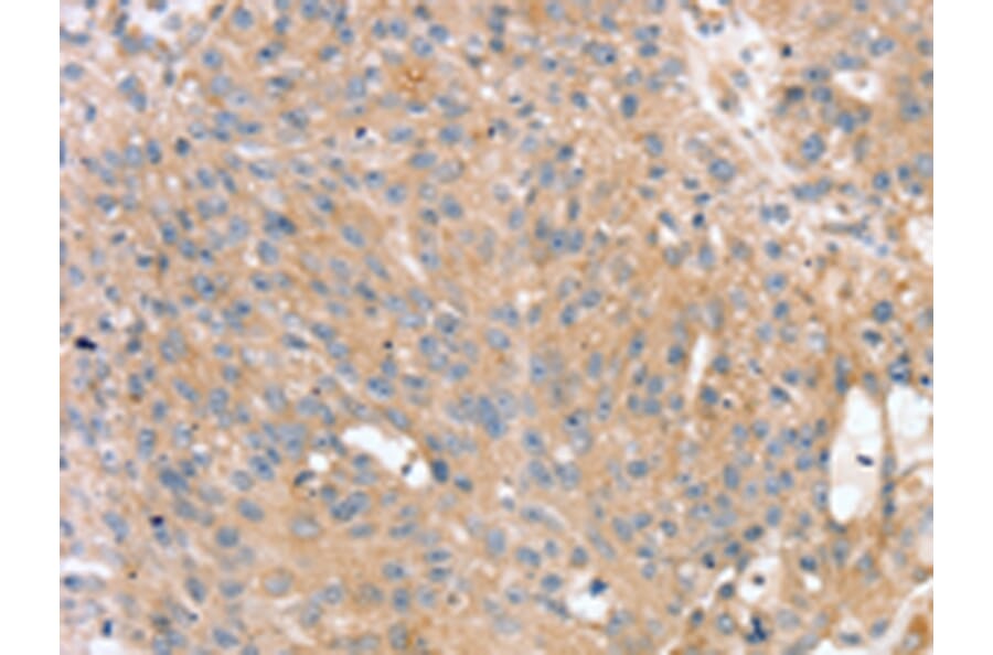
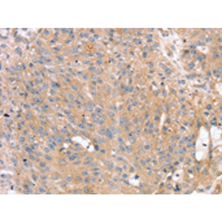
Anti-PTX3 Antibody (A38999)

Rabbit polyclonal antibody to PTX3 for WB and IHC.

Shipping Information

$40
Dispatched from St. Louis, MO.
Lead Time: 6-9 business days.
Name
Anti-PTX3 Antibody
Description
Rabbit polyclonal antibody to PTX3
Specificity
The antibody detects endogenous levels of total PTX3 protein.
Applications
WB, IHC
Reactivity
Human
Immunogen
Synthetic peptide of human PTX3
Host
Rabbit
Clonality
Polyclonal
Conjugate

Unconjugated

Purification
Antigen affinity purification.
Concentration
2.5 mg/mL
Formulation
Rabbit IgG in pH7.4 PBS, 0.05% NaN3, 40% Glycerol.
Storage
Shipped at 4°C. Upon delivery aliquot and store at -20°C. Avoid freeze/thaw cycles.
Synonyms
AI607804, Pentaxin 3, Pentaxin-related protein PTX3, Pentraxin 3, Pentraxin 3 long, Pentraxin-related gene, Pentraxin-related gene rapidly induced by IL-1 beta, Pentraxin-related protein PTX3, PTX3_HUMAN, TNF alpha-induced protein 5, TNFAIP5, TSG-14, TSG14, Tumor necrosis factor alpha-induced protein 5, Tumor necrosis factor-inducible gene 14 protein, Tumor necrosis factor-inducible protein TSG-14
Disclaimer
This product is for research use only. It is not intended for diagnostic or therapeutic use.
Publishing research using Anti-PTX3 Antibody (A38999)? Please let us know so that we can list the citation on this page.