ISO 9001:2015 Certified
Live Customer Support
4.5/5 on Trustpilot
100% Quality Guarantee

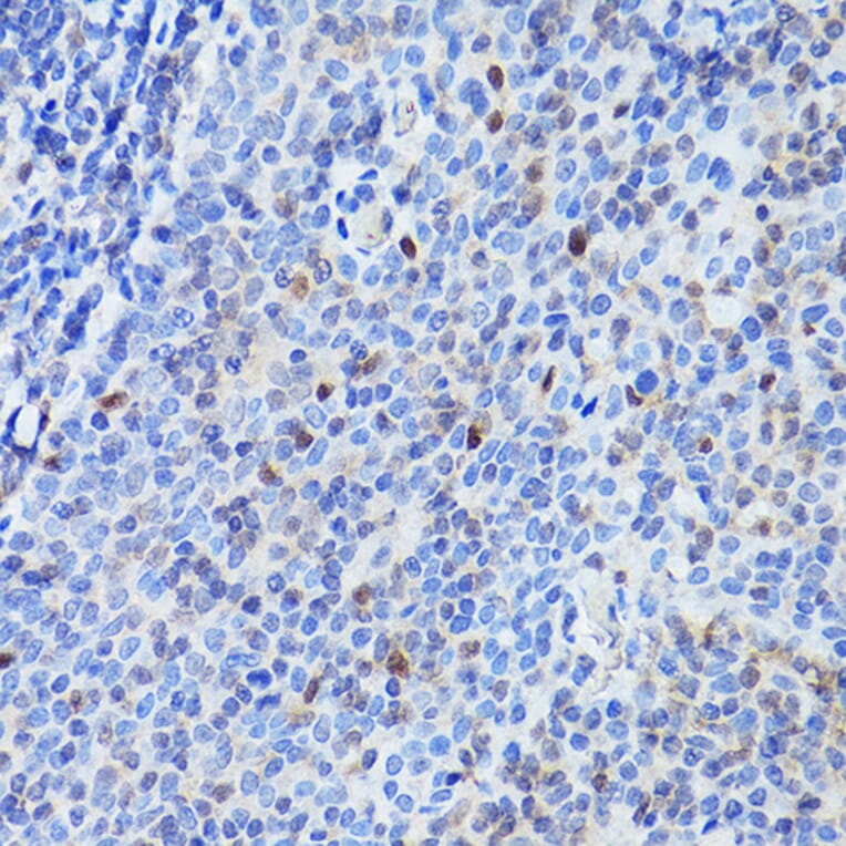
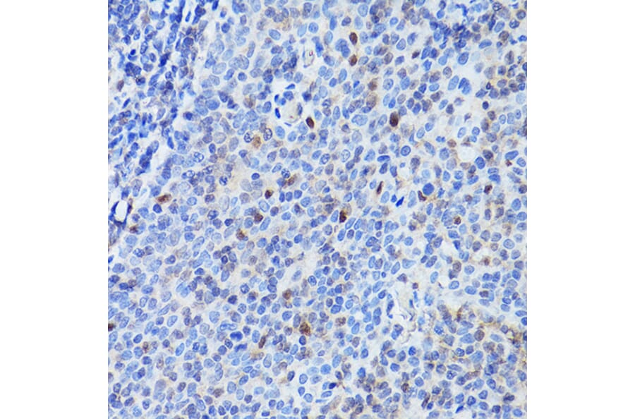
Anti-PU.1/Spi1 Antibody (A308624)

Rabbit polyclonal antibody to PU.1/Spi1 for WB and IHC.

Shipping Information

$40
Dispatched from St. Louis, MO.
Lead Time: 7-10 business days.
Name
Anti-PU.1/Spi1 Antibody
Description
Rabbit polyclonal antibody to PU.1/Spi1.
Applications
WB, IHC
Dilutions
WB: 1:500-1:1,000, IHC: 1:50-1:200
Reactivity
Human, Mouse
Immunogen
Recombinant fusion protein containing a sequence corresponding to amino acids 17-98 of human SPI1 (NP_003111.2).
Sequence
SEDLVPYDTDLYQRQTHEYYPYLSSDGESHSDHYWDFHPHHVHSEFESFAENNFTELQSVQPPQLQQLYRHMELEQMHVLDT
Host
Rabbit
Clonality
Polyclonal
Isotype
IgG
Conjugate

Unconjugated

Purification
Affinity purification.
Concentration
Lot Specific
Molecular Weight
42 kDa
Product Form
Liquid
Formulation
Supplied in Phosphate Buffered Saline, pH 7.3, with 50% Glycerol and 0.05% Proclin 300.
Storage
Shipped at 4°C. Upon delivery aliquot and store at -20°C. Avoid freeze/thaw cycles.
Synonyms
transcription factor spi1, 31 kDa Transforming Protein, 31 kDa-transforming protein, cb1086, Hematopoietic transcription factor PU.1, OF, oncogene spi1, PU.1, SFFV virus-induced murine erythroleukemia oncogene, mouse, homolog of, SFPI1, si:by184l24.2, SPI 1, SPI 1 proto oncogene, SPI A, Spi1, SPI1_HUMAN, Spleen focus forming virus (SFFV) proviral integration oncogene spi1, Spleen focus forming virus proviral integration oncogene spi1, Transcription factor PU.1
Disclaimer
This product is for research use only. It is not intended for diagnostic or therapeutic use.
Publishing research using Anti-PU.1/Spi1 Antibody (A308624)? Please let us know so that we can list the citation on this page.

Alternative products to Anti-PU.1/Spi1 Antibody (A308624)