ISO 9001:2015 Certified
Live Customer Support
4.5/5 on Trustpilot
100% Quality Guarantee

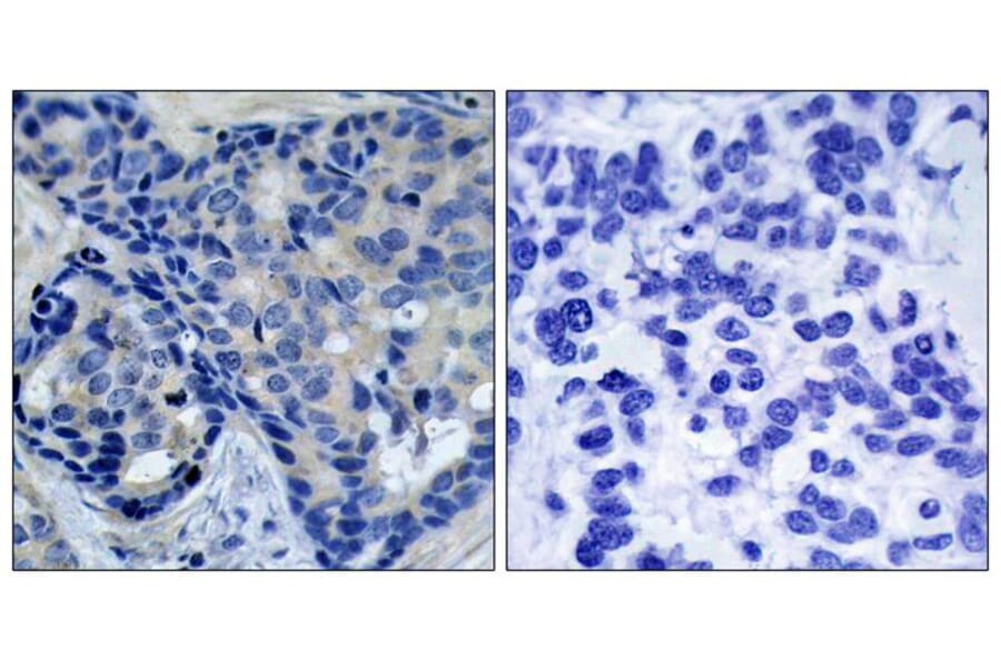
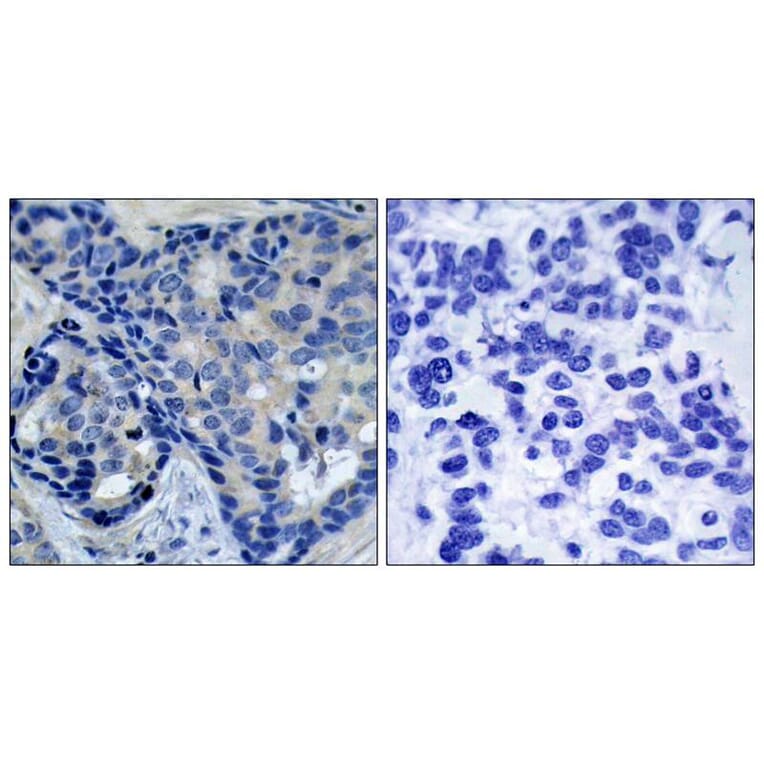
Anti-Pyk2 (Phospho-Tyr402) Antibody (A50196)

$290

Rabbit polyclonal antibody to Pyk2 (Phospho-Tyr402) for WB, IHC and IF.

Shipping Information

$40
Dispatched from St. Louis, MO.
Lead Time: 6-9 business days.
Name
Anti-Pyk2 (Phospho-Tyr402) Antibody
Description
Rabbit polyclonal antibody to Pyk2 (Phospho-Tyr402)
Specificity
The antibody detects endogenous level of Pyk2 only when phosphorylated at tyrosine 402.
Applications
WB, IHC, IF
Reactivity
Human, Mouse, Rat
Immunogen
Peptide sequence around phosphorylation site of tyrosine 402 (D-I-Y(p)-A-E) derived from Human Pyk2.
Host
Rabbit
Clonality
Polyclonal
Conjugate

Unconjugated

Purification
Antibodies were produced by immunizing rabbits with synthetic phosphopeptide and KLH conjugates. Antibodies were purified by affinity-chromatography using epitope-specific phosphopeptide. Non-phospho specific antibodies were removed by chromatogramphy using non-phosphopeptide.
Concentration
1 mg/ml
Formulation
Supplied at 1.0mg / mL in phosphate buffered saline (without Mg2+ and Ca2+), pH 7.4, 150mM NaCl, 0.02% sodium azide and 50% glycerol.
Storage
Store at -20°C for long term preservation (recommended). Store at 4°C for short term use.
Synonyms
CADTK, CAK-beta, CAKB, Calcium-dependent tyrosine kinase, Calcium-regulated non-receptor proline-rich tyrosine kinase, Cell adhesion kinase beta, FADK 2, FAK2, Focal adhesion kinase 2, Proline-rich tyrosine kinase 2, Protein-tyrosine kinase 2-beta, PTK2B, RAFTK, Related adhesion focal tyrosine kinase
Disclaimer
This product is for research use only. It is not intended for diagnostic or therapeutic use.
Publishing research using Anti-Pyk2 (Phospho-Tyr402) Antibody (A50196)? Please let us know so that we can list the citation on this page.

Alternative products to Anti-Pyk2 (Phospho-Tyr402) Antibody (A50196)

Proteins predicted to interact with PYK2

Predicted protein interactions based upon String database. Revelancy score correlates with probability of interaction.
99.9% Relevancy Score
99.9% Relevancy Score
99.8% Relevancy Score
99% Relevancy Score
98.7% Relevancy Score
98.4% Relevancy Score
97.7% Relevancy Score
96.9% Relevancy Score
96% Relevancy Score