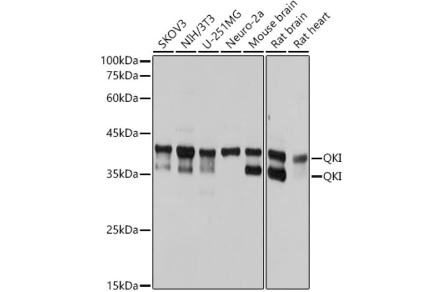
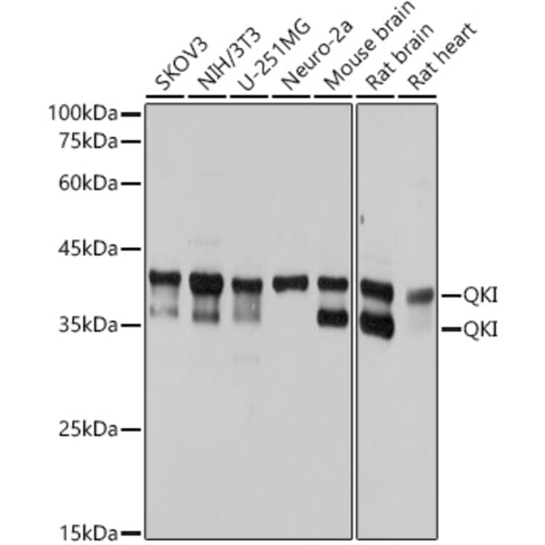
Western Blot - Anti-QKI Antibody [ARC2500] (A8374)
Western blot analysis of extracts of various cell lines, using Anti-QKI Antibody [ARC2500] (A8374) at 1:1,000 dilution. The secondary antibody was Goat Anti-Rabbit IgG H&L Antibody (HRP) at 1:10,000 dilution. Lysates/proteins were present at 25µg per lane. The blocking buffer used was 3% non-fat dry milk in TBST. Detection was with a ECL Basic Kit. Exposure time: 1s.
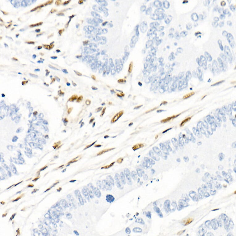
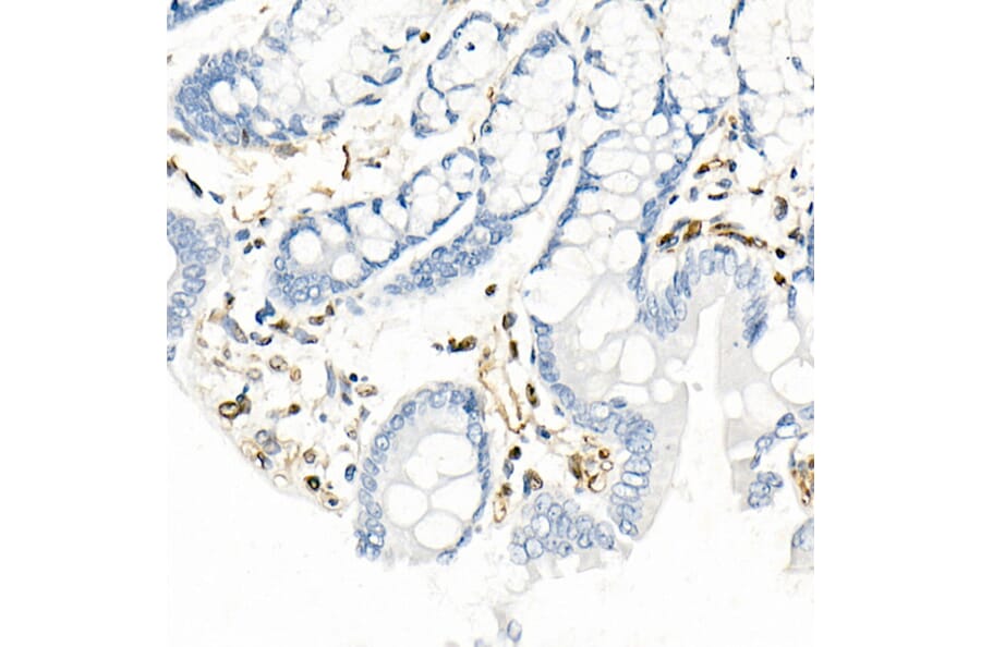
Immunohistochemistry analysis of paraffin-embedded human colon carcinoma tissue using Anti-QKI Antibody [ARC2500] (A8374) at a dilution of 1:1,000 (40x lens). Perform microwave antigen retrieval with 10 mM citrate buffer pH 6.0 before commencing with IHC staining protocol.
Immunohistochemistry analysis of paraffin-embedded human placenta using Anti-QKI Antibody [ARC2500] (A8374) at a dilution of 1:1,000 (40x lens). Perform microwave antigen retrieval with 10 mM citrate buffer pH 6.0 before commencing with IHC staining protocol.
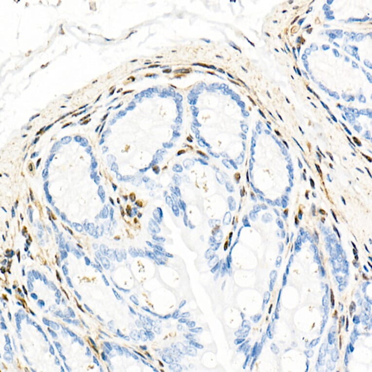
Immunohistochemistry analysis of paraffin-embedded mouse colon using Anti-QKI Antibody [ARC2500] (A8374) at a dilution of 1:1,000 (40x lens). Perform microwave antigen retrieval with 10 mM citrate buffer pH 6.0 before commencing with IHC staining protocol.
Immunohistochemistry analysis of paraffin-embedded rat colon using Anti-QKI Antibody [ARC2500] (A8374) at a dilution of 1:1,000 (40x lens). Perform microwave antigen retrieval with 10 mM citrate buffer pH 6.0 before commencing with IHC staining protocol.
Immunofluorescence analysis of NIH/3T3 cells using Anti-QKI Antibody [ARC2500] (A8374) at a dilution of 1:100 (40x lens). DAPI was used to stain the cell nuclei (blue).
Western Blot - Anti-QKI Antibody [ARC2500] (A8374)
Immunoprecipitation analysis of 300µg extracts of NIH/3T3 cells using 3µg of Anti-QKI Antibody [ARC2500] (A8374). This Western blot was performed on the immunoprecipitate using Anti-QKI Antibody [ARC2500] (A8374) at a dilution of 1:1000.