ISO 9001:2015 Certified
Live Customer Support
4.5/5 on Trustpilot
100% Quality Guarantee

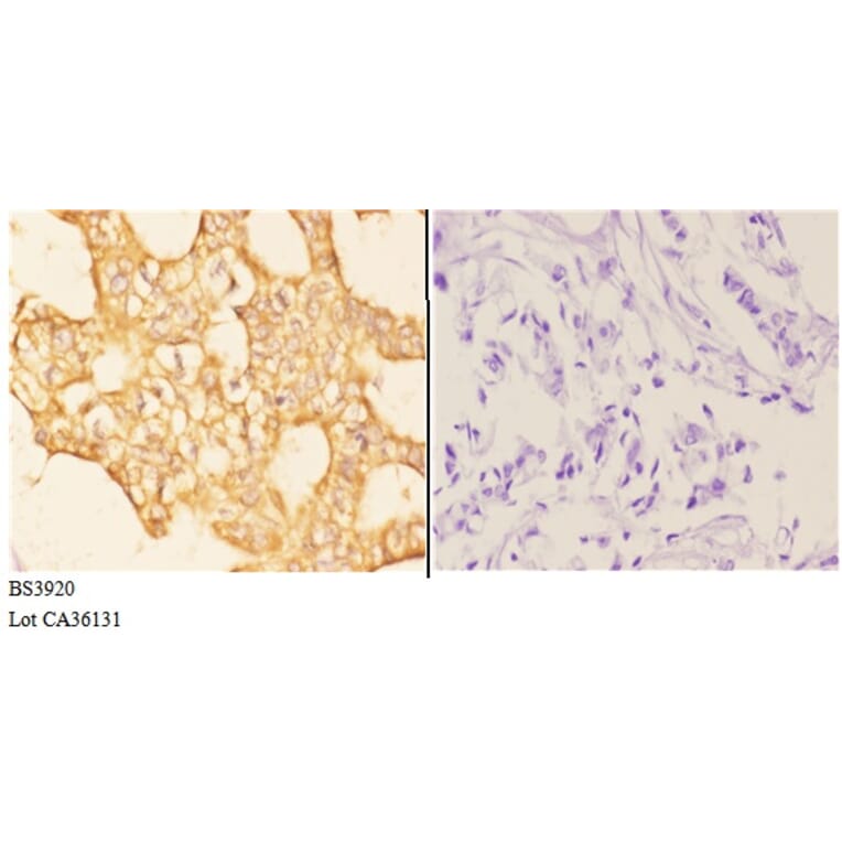
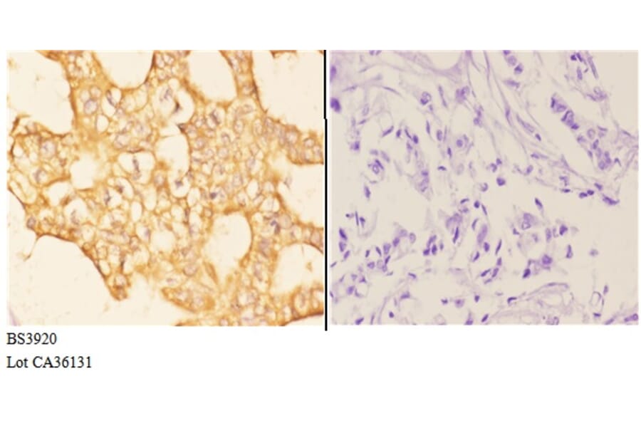
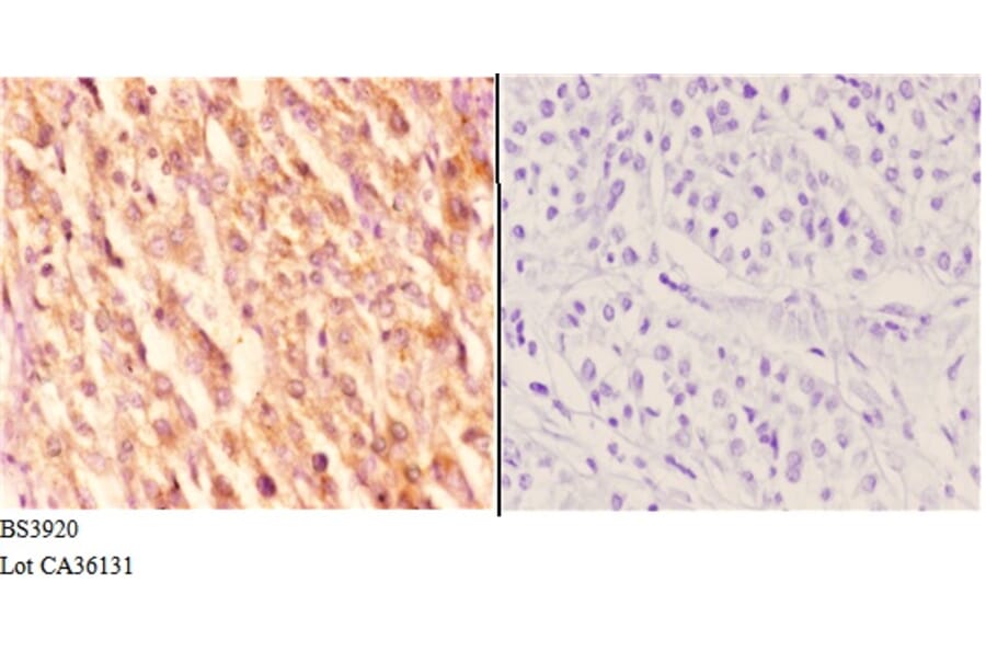
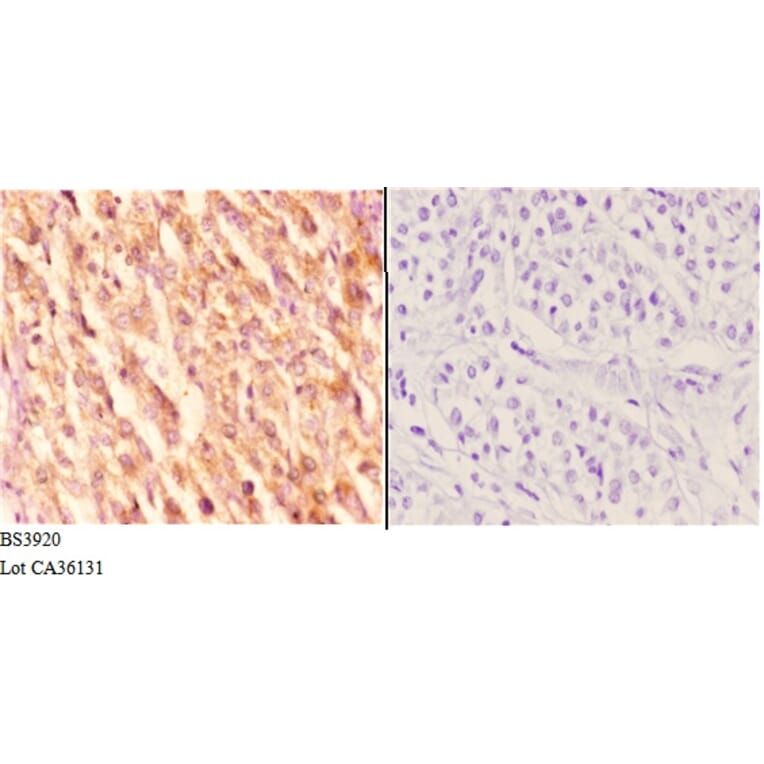
Anti-Rab 6A (K144) Antibody (A27268)

Rabbit polyclonal antibody to Rab 6A (K144) for WB and IHC.

Shipping Information

$40
Dispatched from St. Louis, MO.
Lead Time: 7-10 business days.
Name
Anti-Rab 6A (K144) Antibody
Description
Rabbit polyclonal antibody to Rab 6A (K144)
Specificity
Rab 6A (K144) pAb detects endogenous levels of Rab 6A protein.
Applications
WB, IHC
Reactivity
Human, Mouse, Rat
Immunogen
Synthetic peptide, corresponding to amino acids 120-170 of Human Rab 6A.
Host
Rabbit
Clonality
Polyclonal
Conjugate

Unconjugated

Molecular Weight
~ 24 kDa
Purity
The antibody was affinity-purified from rabbit antiserum by affinity-chromatography using epitope-specific immunogen and the purity is > 95% (by SDS-PAGE).
Product Form
1 mg/ml in Phosphate buffered saline (PBS) with 0.05% sodium azide, approx. pH 7.2.
Disclaimer
This product is for research use only. It is not intended for diagnostic or therapeutic use.
Publishing research using Anti-Rab 6A (K144) Antibody (A27268)? Please let us know so that we can list the citation on this page.