Primary Antibodies
Secondary Antibodies
Proteins & Peptides
ELISA Kits
About Us
Contact Us
Sign In/Register
0
ISO 9001:2015 Certified
Live Customer Support
4.5/5 on Trustpilot
100% Quality Guarantee
Home
Primary Antibodies
RAB24 Antibodies
Anti-RAB24 Antibody (A46275)
Anti-RAB24 Antibody (A46275)
Overview
Specifications
Images
Enlarge Image
Enlarge Image
$430
Product Datasheet
Rabbit polyclonal antibody to RAB24 for IHC.
100% Guarantee
Price Match Guarantee
Product Size:
100µl
Quantity:
1
2
3
4
5
6
7
8
9
10
Add To Cart
Request a Quotation
Custom or Bulk Request
Shipping Information
Freight/Packing Charges:
$40
Dispatched from St. Louis, MO.
Lead Time: 6-9 business days.
Specifications
Name
Anti-RAB24 Antibody
Description
Rabbit polyclonal antibody to RAB24
Specificity
The antibody detects endogenous levels of total RAB24 protein.
Applications
IHC
Reactivity
Human, Mouse
Immunogen
Synthetic peptide corresponding to a region derived from internal residues of human RAB24, member RAS oncogene family
Host
Rabbit
Clonality
Polyclonal
Conjugate
Unconjugated
Purification
Antigen affinity purification.
Concentration
2.8 mg/mL
Formulation
Supplied in PBS, pH 7.3, containing 0.05% sodium azide and 50% glycerol.
Storage
Shipped at 4°C. Upon delivery aliquot and store at -20°C. Avoid freeze/thaw cycles.
Synonyms
Ras-related protein Rab-24
Suitable Secondaries
Goat Anti-Rabbit IgG H&L Antibody (AP) (A294874)
Goat Anti-Rabbit IgG H&L Antibody (Biotin) (A294795)
Goat Anti-Rabbit IgG H&L Antibody (FITC) (A294887)
Goat Anti-Rabbit IgG H&L Antibody (HRP) (A294888)
See all Anti-Rabbit IgG Secondaries →
Disclaimer
This product is for research use only. It is not intended for diagnostic or therapeutic use.
Scientific Validation Data
Validation Data
(2)
Enlarge Image
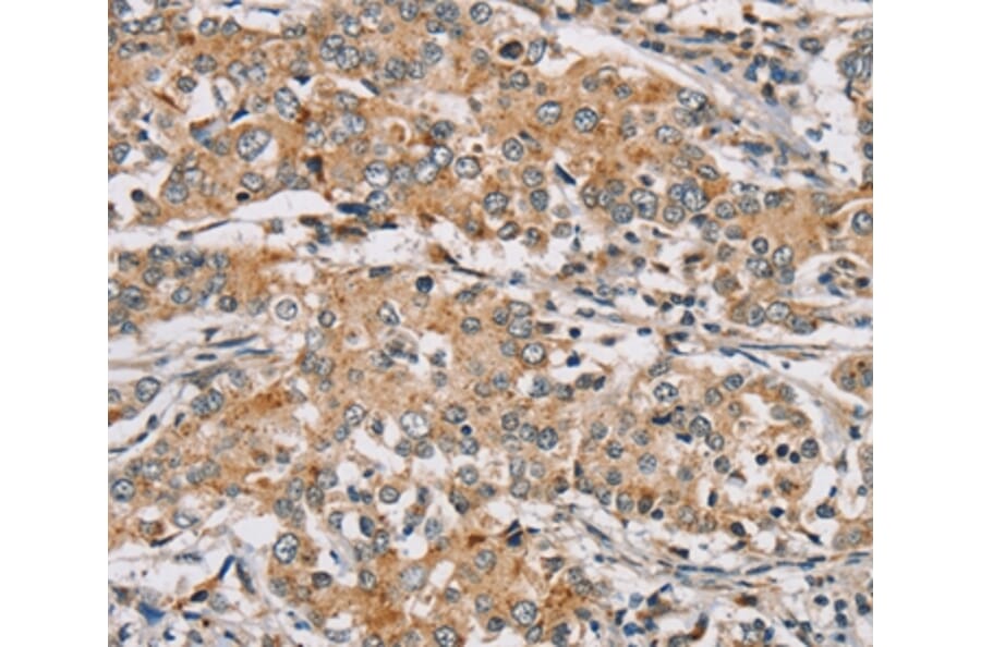
Immunohistochemistry - Anti-RAB24 Antibody (A46275)
Immunohistochemical analysis of paraffin-embedded Human breast cancer tissue using #37859 at dilution 1/45.
Enlarge Image
Immunohistochemistry - Anti-RAB24 Antibody (A46275)
Immunohistochemical analysis of paraffin-embedded Human liver cancer tissue using #37859 at dilution 1/45.
Publishing research using Anti-RAB24 Antibody (A46275)? Please
let us know
so that we can list the citation on this page.
Alternative products to Anti-RAB24 Antibody (A46275)
(2)
A16175
Anti-Rab24 Antibody
Rabbit polyclonal antibody to Rab24 for WB and IP.
(2)
A16175
Anti-Rab24 Antibody
Rabbit polyclonal antibody to Rab24 for WB and IP.
Proteins predicted to interact with RAB24
Predicted protein interactions based upon String database. Revelancy score correlates with probability of interaction.
Rabenosyn 5 Antibodies
81.4% Relevancy Score
GDI2 Antibodies
76.5% Relevancy Score
GDI1 Antibodies
76.3% Relevancy Score
RABGGTA Antibodies
74.4% Relevancy Score
GABARAP Antibodies
67.8% Relevancy Score
CHM Antibodies
64.4% Relevancy Score
ATG16L2 Antibodies
62.9% Relevancy Score
CHML Antibodies
61.8% Relevancy Score
VPS16 Antibodies
57.3% Relevancy Score
Top