Primary Antibodies
Secondary Antibodies
Proteins & Peptides
ELISA Kits
About Us
Contact Us
Sign In/Register
0
ISO 9001:2015 Certified
Live Customer Support
4.5/5 on Trustpilot
100% Quality Guarantee
Home
Primary Antibodies
RAB25 Antibodies
Anti-RAB25 Antibody (A46038)
Anti-RAB25 Antibody (A46038)
Overview
Specifications
Images
Enlarge Image
Enlarge Image
$430
Product Datasheet
Rabbit polyclonal antibody to RAB25 for IHC.
100% Guarantee
Price Match Guarantee
Product Size:
100µl
Quantity:
1
2
3
4
5
6
7
8
9
10
Add To Cart
Request a Quotation
Custom or Bulk Request
Shipping Information
Freight/Packing Charges:
$40
Dispatched from St. Louis, MO.
Lead Time: 6-9 business days.
Specifications
Name
Anti-RAB25 Antibody
Description
Rabbit polyclonal antibody to RAB25
Specificity
The antibody detects endogenous levels of total RAB25 protein.
Applications
IHC
Reactivity
Human
Immunogen
Fusion protein corresponding to residues near the N terminal of human RAB25, member RAS oncogene family
Host
Rabbit
Clonality
Polyclonal
Conjugate
Unconjugated
Purification
Antigen affinity purification.
Concentration
2 mg/mL
Formulation
Supplied in PBS, pH 7.3, containing 0.05% sodium azide and 50% glycerol.
Storage
Shipped at 4°C. Upon delivery aliquot and store at -20°C. Avoid freeze/thaw cycles.
Synonyms
CATX-8, CATX8, Ras-related protein Rab-25
Suitable Secondaries
Goat Anti-Rabbit IgG H&L Antibody (AP) (A294874)
Goat Anti-Rabbit IgG H&L Antibody (Biotin) (A294795)
Goat Anti-Rabbit IgG H&L Antibody (FITC) (A294887)
Goat Anti-Rabbit IgG H&L Antibody (HRP) (A294888)
See all Anti-Rabbit IgG Secondaries →
Disclaimer
This product is for research use only. It is not intended for diagnostic or therapeutic use.
Scientific Validation Data
Validation Data
(2)
Enlarge Image
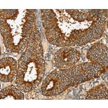
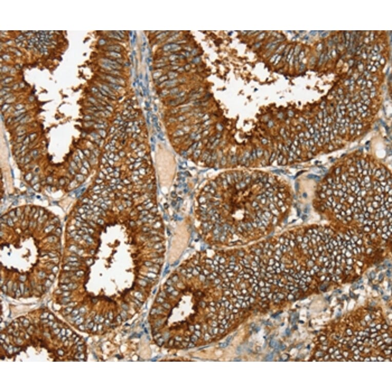
Immunohistochemistry - Anti-RAB25 Antibody (A46038)
Immunohistochemical analysis of paraffin-embedded Human cervical cancer tissue using #36711 at dilution 1/35.
Enlarge Image
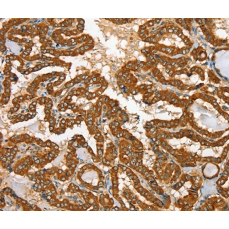
Immunohistochemistry - Anti-RAB25 Antibody (A46038)
Immunohistochemical analysis of paraffin-embedded Human thyroid cancer tissue using #36711 at dilution 1/35.
Publishing research using Anti-RAB25 Antibody (A46038)? Please
let us know
so that we can list the citation on this page.
Alternative products to Anti-RAB25 Antibody (A46038)
(3)
A121568
Anti-RAB25 Antibody
Goat polyclonal antibody to RAB25 for WB, IF, IHC-P and IHC-Fr.
(3)
A121568
Anti-RAB25 Antibody
Goat polyclonal antibody to RAB25 for WB, IF, IHC-P and IHC-Fr.
Proteins predicted to interact with RAB25
Predicted protein interactions based upon String database. Revelancy score correlates with probability of interaction.
RAB11FIP2 Antibodies
99.7% Relevancy Score
RAB11FIP1 Antibodies
98.1% Relevancy Score
RAB11FIP5 Antibodies
96.6% Relevancy Score
MYO5B Antibodies
96.5% Relevancy Score
RAB11FIP3 Antibodies
89.6% Relevancy Score
RAB11FIP4 Antibodies
85.2% Relevancy Score
ESRP1 Antibodies
79.5% Relevancy Score
Optineurin Antibodies
76.1% Relevancy Score
CHML Antibodies
74.2% Relevancy Score
Top