Primary Antibodies
Secondary Antibodies
Proteins & Peptides
ELISA Kits
About Us
Contact Us
Sign In/Register
0
ISO 9001:2015 Certified
Live Customer Support
4.5/5 on Trustpilot
100% Quality Guarantee
Home
Primary Antibodies
RAB2 Antibodies
Anti-RAB2A Antibody (A46039)
Anti-RAB2A Antibody (A46039)
Overview
Specifications
Images
Enlarge Image
Enlarge Image
$430
Rabbit polyclonal antibody to RAB2A for IHC.
100% Guarantee
Price Match Guarantee
Product Size:
100µl
Quantity:
1
2
3
4
5
6
7
8
9
10
Add To Cart
Request a Quotation
Custom or Bulk Request
Shipping Information
Freight/Packing Charges:
$40
Dispatched from St. Louis, MO.
Lead Time: 6-9 business days.
Specifications
Name
Anti-RAB2A Antibody
Description
Rabbit polyclonal antibody to RAB2A
Specificity
The antibody detects endogenous levels of total RAB2A protein.
Applications
IHC
Reactivity
Human, Mouse
Immunogen
Full length fusion protein
Host
Rabbit
Clonality
Polyclonal
Conjugate
Unconjugated
Purification
Antigen affinity purification.
Concentration
1.4 mg/ml
Formulation
Rabbit IgG in pH7.3 PBS, 0.05% NaN3, 50% Glycerol.
Storage
Store at -20˚C
Synonyms
Ras-related protein Rab-2A
Suitable Secondaries
Goat Anti-Rabbit IgG H&L Antibody (AP) (A294874)
Goat Anti-Rabbit IgG H&L Antibody (Biotin) (A294795)
Goat Anti-Rabbit IgG H&L Antibody (FITC) (A294887)
Goat Anti-Rabbit IgG H&L Antibody (HRP) (A294888)
See all Anti-Rabbit IgG Secondaries →
Disclaimer
This product is for research use only. It is not intended for diagnostic or therapeutic use.
Scientific Validation Data
Validation Data
(2)
Enlarge Image
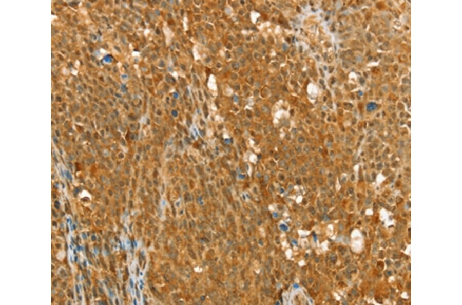
Immunohistochemistry - Anti-RAB2A Antibody (A46039)
Immunohistochemical analysis of paraffin-embedded Human thyroid cancer tissue using #36712 at dilution 1/25.
Enlarge Image
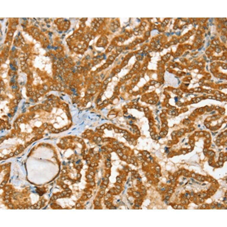
Immunohistochemistry - Anti-RAB2A Antibody (A46039)
Immunohistochemical analysis of paraffin-embedded Human ovarian cancer tissue using #36712 at dilution 1/25.
Publishing research using Anti-RAB2A Antibody (A46039)? Please
let us know
so that we can list the citation on this page.
Alternative products to Anti-RAB2A Antibody (A46039)
A95802
1 Citation
Anti-RAB2A Antibody
Rabbit polyclonal antibody to RAB2A for WB, IHC and ELISA.
(2)
A40190
Anti-Rab2A (C-term) Antibody
Mouse monoclonal antibody to Rab2A (C-term) for WB and ICC.
A121667
Anti-RAB2 Antibody
Goat polyclonal antibody to RAB2 for WB.
A80848
Anti-Rab2 Antibody
Rabbit polyclonal antibody to Rab2 for WB.
(2)
A32467
Anti-Rab2A (C-Terminus) Antibody
Mouse monoclonal antibody to Rab2A (C-Terminus) for WB and ICC.
(2)
A36973
Anti-Rab 2 Antibody
Rabbit polyclonal antibody to Rab 2 for WB and IHC.
A307093
Anti-Rab2 Antibody
Rabbit polyclonal antibody to Rab2 for WB.
A307092
Anti-Rab2 Antibody
Rabbit polyclonal antibody to Rab2 for WB.
A95802
1 Citation
Anti-RAB2A Antibody
Rabbit polyclonal antibody to RAB2A for WB, IHC and ELISA.
(2)
A40190
Anti-Rab2A (C-term) Antibody
Mouse monoclonal antibody to Rab2A (C-term) for WB and ICC.
A121667
Anti-RAB2 Antibody
Goat polyclonal antibody to RAB2 for WB.
A80848
Anti-Rab2 Antibody
Rabbit polyclonal antibody to Rab2 for WB.
(2)
A32467
Anti-Rab2A (C-Terminus) Antibody
Mouse monoclonal antibody to Rab2A (C-Terminus) for WB and ICC.
(2)
A36973
Anti-Rab 2 Antibody
Rabbit polyclonal antibody to Rab 2 for WB and IHC.
A307093
Anti-Rab2 Antibody
Rabbit polyclonal antibody to Rab2 for WB.
A307092
Anti-Rab2 Antibody
Rabbit polyclonal antibody to Rab2 for WB.
See all RAB2A Antibodies
Proteins predicted to interact with RAB2
Predicted protein interactions based upon String database. Revelancy score correlates with probability of interaction.
BLZF1 Antibodies
99.3% Relevancy Score
GORASP2 Antibodies
98.6% Relevancy Score
GLUT4 Antibodies
95.5% Relevancy Score
TBC1D1 Antibodies
92.3% Relevancy Score
GM130 Antibodies
91.1% Relevancy Score
ICA1 Antibodies
88.6% Relevancy Score
VPS39 Antibodies
86% Relevancy Score
RAB1A Antibodies
85.9% Relevancy Score
RAB1B Antibodies
83.1% Relevancy Score
Top