Primary Antibodies
Secondary Antibodies
Proteins & Peptides
ELISA Kits
About Us
Contact Us
Sign In/Register
0
ISO 9001:2015 Certified
Live Customer Support
4.5/5 on Trustpilot
100% Quality Guarantee
Home
Primary Antibodies
RAB35 Antibodies
Anti-RAB35 Antibody (A46043)
Anti-RAB35 Antibody (A46043)
Overview
Specifications
Images
Enlarge Image
$405
Rabbit polyclonal antibody to RAB35 for IHC.
100% Guarantee
Price Match Guarantee
Product Size:
100µl
Quantity:
1
2
3
4
5
6
7
8
9
10
Add To Cart
Request a Quotation
Custom or Bulk Request
Shipping Information
Freight/Packing Charges:
$40
Dispatched from St. Louis, MO.
Lead Time: 6-9 business days.
Specifications
Name
Anti-RAB35 Antibody
Description
Rabbit polyclonal antibody to RAB35
Specificity
The antibody detects endogenous levels of total RAB35 protein.
Applications
IHC
Reactivity
Human, Mouse, Rat
Immunogen
Synthetic peptide corresponding to a region derived from internal residues of human Ras-related protein Rab-35
Host
Rabbit
Clonality
Polyclonal
Conjugate
Unconjugated
Purification
Antigen affinity purification.
Concentration
1 mg/ml
Formulation
Rabbit IgG in pH7.3 PBS, 0.05% NaN3, 50% Glycerol.
Storage
Store at -20˚C
Synonyms
GTP-binding protein RAY, RAB1C, Ras-related protein Rab-1C, Ras-related protein Rab-35, RAY
Suitable Secondaries
Goat Anti-Rabbit IgG H&L Antibody (AP) (A294874)
Goat Anti-Rabbit IgG H&L Antibody (Biotin) (A294795)
Goat Anti-Rabbit IgG H&L Antibody (FITC) (A294887)
Goat Anti-Rabbit IgG H&L Antibody (HRP) (A294888)
See all Anti-Rabbit IgG Secondaries →
Disclaimer
This product is for research use only. It is not intended for diagnostic or therapeutic use.
Scientific Validation Data
Validation Data
(1)
Enlarge Image
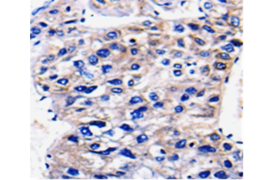
Immunohistochemistry - Anti-RAB35 Antibody (A46043)
Immunohistochemical analysis of paraffin-embedded Human liver cancer tissue using #36735 at dilution 1/100.
Publishing research using Anti-RAB35 Antibody (A46043)? Please
let us know
so that we can list the citation on this page.
Alternative products to Anti-RAB35 Antibody (A46043)
(4)
A16047
Anti-RAB35 Antibody
Rabbit polyclonal antibody to RAB35 for WB, IHC and ICC/IF.
A121657
Anti-RAB35 Antibody
Goat polyclonal antibody to RAB35 for WB.
A121597
Anti-RAB35 Antibody
Goat polyclonal antibody to RAB35 for WB.
A97312
Anti-RAB35 Antibody
Rabbit polyclonal antibody to RAB35 for WB and ELISA.
A97313
Anti-RAB35 Antibody
Rabbit polyclonal antibody to RAB35 for WB and ELISA.
A28113
Anti-RAB35 Antibody
Rabbit polyclonal antibody to RAB35 for WB.
(4)
A16047
Anti-RAB35 Antibody
Rabbit polyclonal antibody to RAB35 for WB, IHC and ICC/IF.
A121657
Anti-RAB35 Antibody
Goat polyclonal antibody to RAB35 for WB.
A121597
Anti-RAB35 Antibody
Goat polyclonal antibody to RAB35 for WB.
A97312
Anti-RAB35 Antibody
Rabbit polyclonal antibody to RAB35 for WB and ELISA.
A97313
Anti-RAB35 Antibody
Rabbit polyclonal antibody to RAB35 for WB and ELISA.
A28113
Anti-RAB35 Antibody
Rabbit polyclonal antibody to RAB35 for WB.
See all RAB35 Antibodies
Proteins predicted to interact with RAB35
Predicted protein interactions based upon String database. Revelancy score correlates with probability of interaction.
DENND1B Antibodies
99.9% Relevancy Score
ACAP2 Antibodies
99.5% Relevancy Score
RUSC2 Antibodies
96.4% Relevancy Score
DENN Antibodies
95.5% Relevancy Score
OCRL Antibodies
94.6% Relevancy Score
Fascin Antibodies
86.5% Relevancy Score
MICALL1 Antibodies
84% Relevancy Score
GDI1 Antibodies
83.7% Relevancy Score
PODXL Antibodies
80.9% Relevancy Score
Top