ISO 9001:2015 Certified
Live Customer Support
4.5/5 on Trustpilot
100% Quality Guarantee

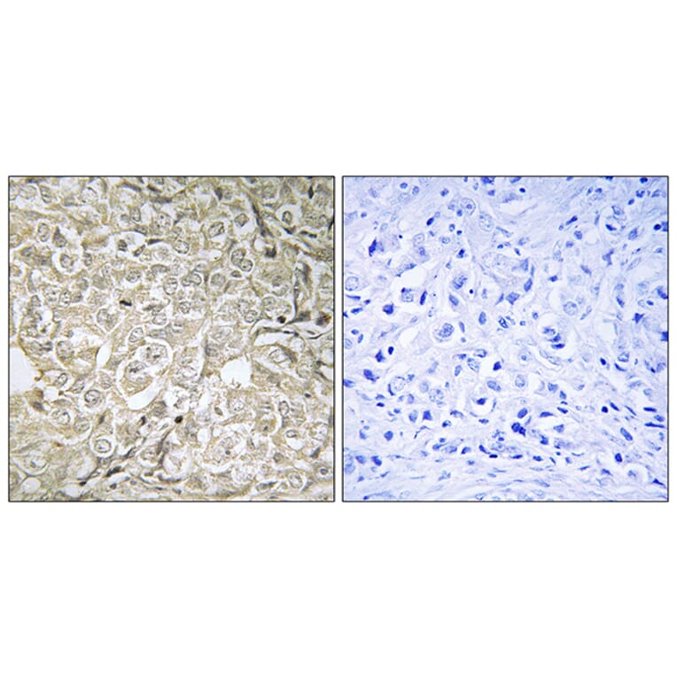
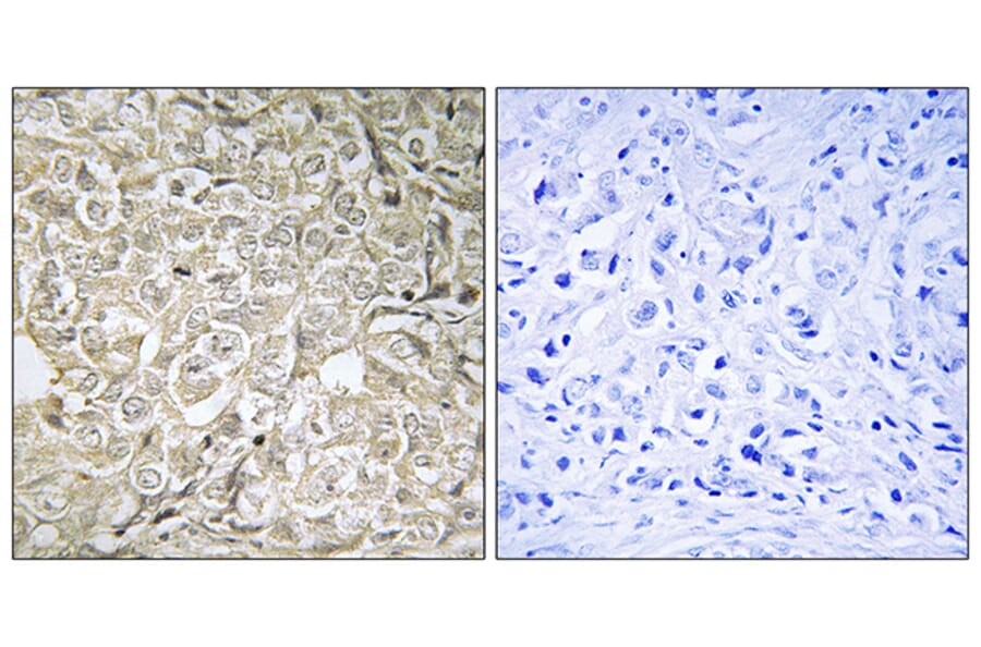
Anti-RAB37 Antibody (A99605)

Rabbit polyclonal antibody to RAB37 for WB, IHC, IF and ELISA.

Shipping Information

$40
Dispatched from St. Louis, MO.
Lead Time: 6-8 business days.
Name
Anti-RAB37 Antibody
Description
Rabbit polyclonal antibody to RAB37.
Applications
WB, IHC, IF, ELISA
Dilutions
WB: 1:500~1:1000, IHC: 1:50~1:100, ELISA: 1:1000
Reactivity
Human, Rat, Mouse
Cross Reactivity
No reported cross-reactivity.
Immunogen
Synthetic peptide derived from human RAB37 (amino acids 170-219).
Host
Rabbit
Clonality
Polyclonal
Isotype
IgG
Conjugate

Unconjugated

Purification
Purified from rabbit serum by antigen affinity chromatography using the immunizing peptide.
Molecular Weight
24kDa
Product Form
Liquid
Formulation
Supplied in Phosphate Buffered Saline (without Mg2+ and Ca2+), pH 7.4, with 150mM NaCl, 0.02% Sodium Azide, and 50% Glycerol.
Storage
Shipped at 4°C. Upon delivery aliquot and store at -20°C. Avoid freeze / thaw cycles.
Synonyms
Ras-related protein Rab-37
Disclaimer
This product is for research use only. It is not intended for diagnostic or therapeutic use.
Publishing research using Anti-RAB37 Antibody (A99605)? Please let us know so that we can list the citation on this page.

Alternative products to Anti-RAB37 Antibody (A99605)

Proteins predicted to interact with RAB37

Predicted protein interactions based upon String database. Revelancy score correlates with probability of interaction.
60.3% Relevancy Score
59.5% Relevancy Score
51.4% Relevancy Score
49.9% Relevancy Score
49.9% Relevancy Score
48.6% Relevancy Score
38.6% Relevancy Score
38.6% Relevancy Score
36.6% Relevancy Score