Primary Antibodies
Secondary Antibodies
Proteins & Peptides
ELISA Kits
About Us
Contact Us
Sign In/Register
0
ISO 9001:2015 Certified
Live Customer Support
4.5/5 on Trustpilot
100% Quality Guarantee
Home
Primary Antibodies
RAB6C Antibodies
Anti-RAB6C Antibody (A46273)
Anti-RAB6C Antibody (A46273)
Overview
Specifications
Images
Enlarge Image
Enlarge Image
$430
Product Datasheet
Rabbit polyclonal antibody to RAB6C for IHC.
100% Guarantee
Price Match Guarantee
Product Size:
100µl
Quantity:
1
2
3
4
5
6
7
8
9
10
Add To Cart
Request a Quotation
Custom or Bulk Request
Shipping Information
Freight/Packing Charges:
$40
Dispatched from St. Louis, MO.
Lead Time: 6-9 business days.
Specifications
Name
Anti-RAB6C Antibody
Description
Rabbit polyclonal antibody to RAB6C
Specificity
The antibody detects endogenous levels of total RAB6C protein.
Applications
IHC
Reactivity
Human
Immunogen
Synthetic peptide corresponding to a region derived from internal residues of human RAB6C, member RAS oncogene family
Host
Rabbit
Clonality
Polyclonal
Conjugate
Unconjugated
Purification
Antigen affinity purification.
Concentration
2.8 mg/mL
Formulation
Supplied in PBS, pH 7.3, containing 0.05% sodium azide and 50% glycerol.
Storage
Shipped at 4°C. Upon delivery aliquot and store at -20°C. Avoid freeze/thaw cycles.
Synonyms
Rab6-like protein WTH3, Ras-related protein Rab-6C, WTH3
Suitable Secondaries
Goat Anti-Rabbit IgG H&L Antibody (AP) (A294874)
Goat Anti-Rabbit IgG H&L Antibody (Biotin) (A294795)
Goat Anti-Rabbit IgG H&L Antibody (FITC) (A294887)
Goat Anti-Rabbit IgG H&L Antibody (HRP) (A294888)
See all Anti-Rabbit IgG Secondaries →
Disclaimer
This product is for research use only. It is not intended for diagnostic or therapeutic use.
Scientific Validation Data
Validation Data
(2)
Enlarge Image
Immunohistochemistry - Anti-RAB6C Antibody (A46273)
Immunohistochemical analysis of paraffin-embedded Human brain tissue using #37855 at dilution 1/45.
Enlarge Image
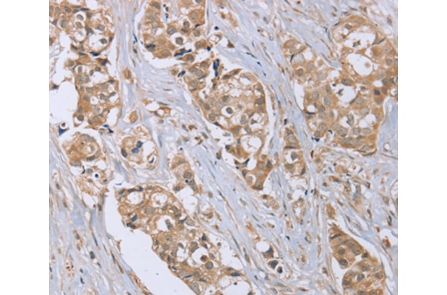
Immunohistochemistry - Anti-RAB6C Antibody (A46273)
Immunohistochemical analysis of paraffin-embedded Human breast cancer tissue using #37855 at dilution 1/45.
Publishing research using Anti-RAB6C Antibody (A46273)? Please
let us know
so that we can list the citation on this page.
Alternative products to Anti-RAB6C Antibody (A46273)
(2)
A97305
Anti-RAB6C Antibody
Rabbit polyclonal antibody to RAB6C for WB and ELISA.
A42305
Anti-RAB6C Antibody
Rabbit polyclonal antibody to RAB6C for WB.
(2)
A97305
Anti-RAB6C Antibody
Rabbit polyclonal antibody to RAB6C for WB and ELISA.
A42305
Anti-RAB6C Antibody
Rabbit polyclonal antibody to RAB6C for WB.
Proteins predicted to interact with RAB6C
Predicted protein interactions based upon String database. Revelancy score correlates with probability of interaction.
VPS53 Antibodies
83% Relevancy Score
VPS39 Antibodies
76.1% Relevancy Score
GDI1 Antibodies
66.5% Relevancy Score
VPS33A Antibodies
57.7% Relevancy Score
VPS33B Antibodies
57.7% Relevancy Score
ARL1 Antibodies
55.3% Relevancy Score
Daxx Antibodies
54.2% Relevancy Score
GCC2 Antibodies
52.3% Relevancy Score
GDI2 Antibodies
51.9% Relevancy Score
Top