RACGAP1/MGCRACGAP expression in MCF7 cells analyzed by immunofluorescence. Cells were permeabilized with 0.15% Triton. Staining was performed with Anti-RACGAP1/MGCRACGAP Antibody (A83070) at 10µg/ml for 1 hour and Alexa Fluor 488 secondary antibody at 4µg/ml. Nuclear staining shown and nuclei were stained with DAPI (blue). Negative control: Goat IgG Isotype Control at 10µg/ml followed by Alexa Fluor 488 secondary antibody at 4µg/ml.
Western Blot - Anti-RACGAP1/MGCRACGAP Antibody (A83070)
RACGAP1/MGCRACGAP expression in A431 nuclear (A), Jurkat (B), Jurkat nuclear (C), and negative control Human Pancreas (D) lysates analyzed by western blot. Cells were lysed in RIPA buffer and 35µg protein was run per lane. Primary antibody incubation was performed with Anti-RACGAP1/MGCRACGAP Antibody (A83070) at 1µg/ml and detected by chemiluminescence.
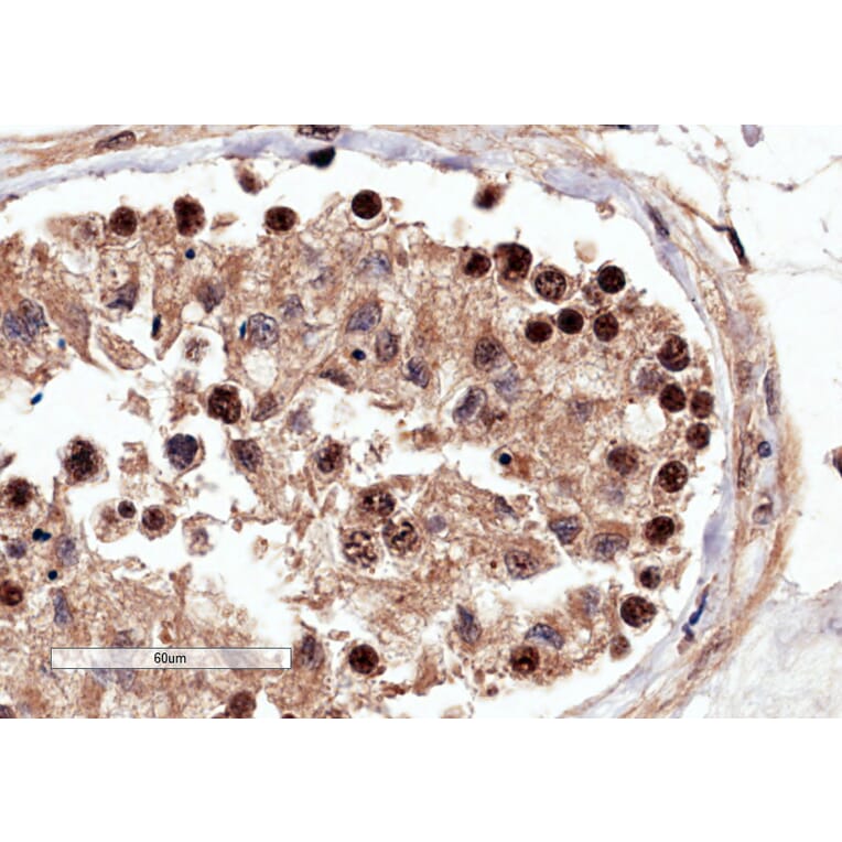
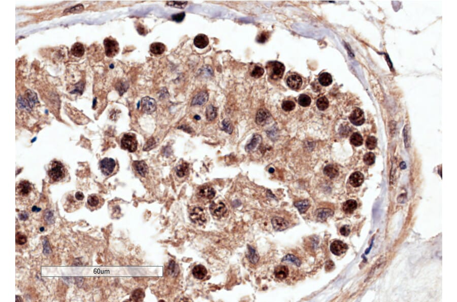
RACGAP1/MGCRACGAP expression in Human Testis analyzed by immunohistochemistry. Tissue was paraffin-embedded, and antigen retrieval was achieved by microwaving in Tris/EDTA buffer, pH 9. Staining was performed with Anti-RACGAP1/MGCRACGAP Antibody (A83070) at 4µg/ml and revealed with horseradish peroxidase (HRP).
RACGAP1/MGCRACGAP expression in MCF7 cells (blue line) analyzed by flow cytometry. Cells were fixed in PFA and permeabilized with 0.5% Triton. Staining was performed with Anti-RACGAP1/MGCRACGAP Antibody (A83070) at 10µg/ml for 1 hour and Alexa Fluor 488 secondary antibody at 4µg/ml. Negative Control: Goat IgG Isotype Control (black line) followed by Alexa Fluor 488 secondary antibody.
Publishing research using Anti-RACGAP1/MGCRACGAP Antibody (A83070)? Please let us know so that we can list the citation on this page.