Primary Antibodies
Secondary Antibodies
Proteins & Peptides
ELISA Kits
About Us
Contact Us
Sign In/Register
0
ISO 9001:2015 Certified
Live Customer Support
4.5/5 on Trustpilot
100% Quality Guarantee
Home
Primary Antibodies
Rad18 Antibodies
Anti-RAD18 Antibody (A37490)
Anti-RAD18 Antibody (A37490)
Overview
Specifications
Images
Enlarge Image
Enlarge Image
$610
Rabbit polyclonal antibody to RAD18 for WB and IHC.
100% Guarantee
Price Match Guarantee
Product Size:
100µl
Quantity:
1
2
3
4
5
6
7
8
9
10
Add To Cart
Request a Quotation
Custom or Bulk Request
Shipping Information
Freight/Packing Charges:
$40
Dispatched from St. Louis, MO.
Lead Time: 6-9 business days.
Specifications
Name
Anti-RAD18 Antibody
Description
Rabbit polyclonal antibody to RAD18
Applications
WB
,
IHC
Reactivity
Human
Immunogen
Recombinant protein fragment contain a sequence corresponding to a region within amino acids 1 and 229 of RAD18
Host
Rabbit
Clonality
Polyclonal
Conjugate
Unconjugated
Purification
Purified by antigen-affinity chromatography.
Formulation
Supplied in 0.1M Tris-buffered saline with 20% Glycerol (pH7.0). 0.01% Thimerosal was added as a preservative.
Storage
Store at -20˚C for long term preservation (recommended). Store at 4˚C for short term use.
Synonyms
E3 ubiquitin-protein ligase RAD18, hHR18, hRAD18, Postreplication repair protein RAD18, RING finger protein 73, RING-type E3 ubiquitin transferase RAD18, RNF73
Suitable Secondaries
Goat Anti-Rabbit IgG H&L Antibody (AP) (A294874)
Goat Anti-Rabbit IgG H&L Antibody (Biotin) (A294795)
Goat Anti-Rabbit IgG H&L Antibody (FITC) (A294887)
Goat Anti-Rabbit IgG H&L Antibody (HRP) (A294888)
See all Anti-Rabbit IgG Secondaries →
Disclaimer
This product is for research use only. It is not intended for diagnostic or therapeutic use.
Scientific Validation Data
Validation Data
(2)
Enlarge Image
Anti-RAD18 Antibody (A37490)
Sample (30 µg of whole cell lysate) Hep G2 7.5% SDS PAGE Primary antibody diluted at 1: 1000
Enlarge Image
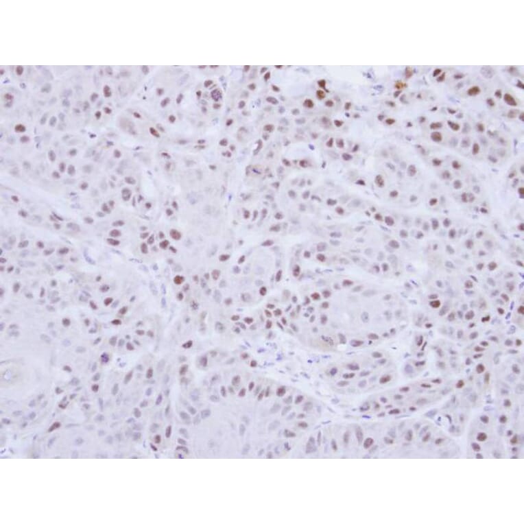
Immunohistochemistry - Anti-RAD18 Antibody (A37490)
Immunohistochemical analysis of paraffin-embedded Cal27 Xenograft, using RAD18 antibody at 1: 100 dilution.
Publishing research using Anti-RAD18 Antibody (A37490)? Please
let us know
so that we can list the citation on this page.
Alternative products to Anti-RAD18 Antibody (A37490)
(3)
A91251
Anti-RAD18 Antibody
Rabbit polyclonal antibody to RAD18 for WB, IHC and ICC/IF.
(4)
A354
Anti-Rad18 Antibody
Rabbit polyclonal antibody to Rad18 for WB, IP, IF and IHC.
(2)
A35278
Anti-RAD18 Antibody
Rabbit polyclonal antibody to RAD18 for WB, IHC and IF.
(3)
A353
Anti-Rad18 Antibody
Rabbit polyclonal antibody to Rad18 for WB, IP and IF.
(2)
A99603
Anti-RAD18 Antibody
Rabbit polyclonal antibody to RAD18 for WB and ELISA.
A99604
Anti-RAD18 Antibody
Rabbit polyclonal antibody to RAD18 for WB and ELISA.
A307171
Anti-RAD18 Antibody [ARC1058]
Rabbit monoclonal [ARC1058] antibody to RAD18 for WB.
A14717
Anti-RAD18 Antibody
Rabbit polyclonal antibody to RAD18 for WB.
A42929
Anti-RAD18 Antibody
Rabbit polyclonal antibody to RAD18 for WB.
(3)
A91251
Anti-RAD18 Antibody
Rabbit polyclonal antibody to RAD18 for WB, IHC and ICC/IF.
(4)
A354
Anti-Rad18 Antibody
Rabbit polyclonal antibody to Rad18 for WB, IP, IF and IHC.
(2)
A35278
Anti-RAD18 Antibody
Rabbit polyclonal antibody to RAD18 for WB, IHC and IF.
(3)
A353
Anti-Rad18 Antibody
Rabbit polyclonal antibody to Rad18 for WB, IP and IF.
(2)
A99603
Anti-RAD18 Antibody
Rabbit polyclonal antibody to RAD18 for WB and ELISA.
A99604
Anti-RAD18 Antibody
Rabbit polyclonal antibody to RAD18 for WB and ELISA.
A307171
Anti-RAD18 Antibody [ARC1058]
Rabbit monoclonal [ARC1058] antibody to RAD18 for WB.
A14717
Anti-RAD18 Antibody
Rabbit polyclonal antibody to RAD18 for WB.
A42929
Anti-RAD18 Antibody
Rabbit polyclonal antibody to RAD18 for WB.
See all RAD18 Antibodies
Proteins predicted to interact with Rad18
Predicted protein interactions based upon String database. Revelancy score correlates with probability of interaction.
Rad6 Antibodies
99.9% Relevancy Score
UBE2B Antibodies
99.9% Relevancy Score
PCNA Antibodies
99.8% Relevancy Score
HLTF Antibodies
99.6% Relevancy Score
Ubiquitin Antibodies
99.5% Relevancy Score
SHPRH Antibodies
99.4% Relevancy Score
Rad51 Antibodies
99.4% Relevancy Score
MMS2 Antibodies
99.2% Relevancy Score
UBC13 Antibodies
98.8% Relevancy Score
Top