Primary Antibodies
Secondary Antibodies
Proteins & Peptides
ELISA Kits
About Us
Contact Us
Sign In/Register
0
ISO 9001:2015 Certified
Live Customer Support
4.5/5 on Trustpilot
100% Quality Guarantee
Home
Primary Antibodies
Rad52 Antibodies
Anti-RAD52 Antibody (A38144)
Anti-RAD52 Antibody (A38144)
Overview
Specifications
Images
Enlarge Image
Enlarge Image
$415
Product Datasheet
Rabbit polyclonal antibody to RAD52 for WB.
100% Guarantee
Price Match Guarantee
Product Size:
50µl
100µl
Quantity:
1
2
3
4
5
6
7
8
9
10
Add To Cart
Request a Quotation
Custom or Bulk Request
Shipping Information
Freight/Packing Charges:
$40
Dispatched from St. Louis, MO.
Lead Time: 6-9 business days.
Specifications
Name
Anti-RAD52 Antibody
Description
Rabbit polyclonal antibody to RAD52
Specificity
The antibody detects endogenous level of total RAD52 antibody.
Applications
WB
Reactivity
Human, Mouse, Rat
Immunogen
A synthetic peptide of human RAD52.
Host
Rabbit
Clonality
Polyclonal
Conjugate
Unconjugated
Purification
Antibodies were purified by affinity purification using immunogen.
Concentration
1.0 mg/mL
Formulation
Supplied in phosphate-buffered saline (without Mg²? and Ca²?), pH 7.4, containing 150 mM NaCl, 0.02% sodium azide, and 50% glycerol.
Storage
Shipped at 4°C. Upon delivery aliquot and store at -20°C. Avoid freeze/thaw cycles.
Synonyms
DNA repair protein RAD52 homolog
Suitable Secondaries
Goat Anti-Rabbit IgG H&L Antibody (AP) (A294874)
Goat Anti-Rabbit IgG H&L Antibody (Biotin) (A294795)
Goat Anti-Rabbit IgG H&L Antibody (FITC) (A294887)
Goat Anti-Rabbit IgG H&L Antibody (HRP) (A294888)
See all Anti-Rabbit IgG Secondaries →
Disclaimer
This product is for research use only. It is not intended for diagnostic or therapeutic use.
Scientific Validation Data
Validation Data
(2)
Enlarge Image
Anti-RAD52 Antibody (A38144)
Western blot analysis of extracts of various cell lines, using RAD52 antibody.
Enlarge Image
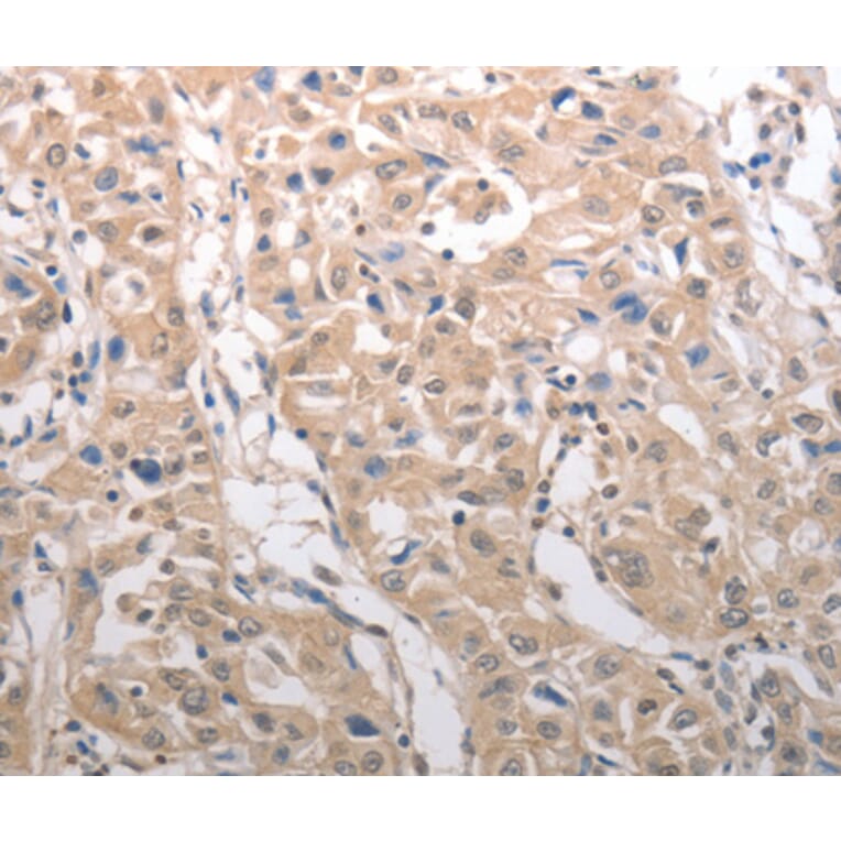
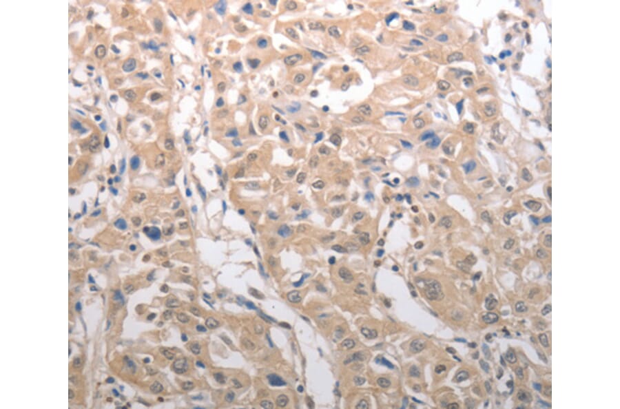
Immunohistochemistry - Anti-RAD52 Antibody (A38144)
Immunohistochemistry analysis of paraffin-embedded human lung tissue using RAD52 antibody.
Publishing research using Anti-RAD52 Antibody (A38144)? Please
let us know
so that we can list the citation on this page.
Alternative products to Anti-RAD52 Antibody (A38144)
(7)
A101677
Anti-Rad52 Antibody
Rabbit polyclonal antibody to Rad52 for WB, IP, IF and ELISA.
(2)
A93821
Anti-RAD52 (phospho Tyr104) Antibody
Rabbit polyclonal antibody to RAD52 (phospho Tyr104) for WB, IHC, IF and ELISA.
(2)
A25712
Anti-Rad52 (N99) Antibody
Rabbit polyclonal antibody to Rad52 (N99) for WB, IHC and IF.
A27784
Anti-Rad52 (phospho-Y104) Antibody
Rabbit polyclonal antibody to Rad52 (phospho-Y104) for WB and IHC.
A96038
Anti-RAD52 Antibody
Rabbit polyclonal antibody to RAD52 for WB, IHC, IF and ELISA.
A14337
Anti-RAD52 Antibody
Rabbit polyclonal antibody to RAD52 for WB.
(2)
A37991
Anti-RAD52 Antibody
Rabbit polyclonal antibody to RAD52 for IHC.
A308307
Anti-RAD52 Antibody [ARC1183]
Rabbit monoclonal [ARC1183] antibody to RAD52 for WB.
A348110
Anti-Rad52 Antibody [25GB3575]
Recombinant rabbit monoclonal [25GB3575] antibody to Rad52 for WB and ICC/IF.
A348111
Anti-Rad52 Antibody [24GB5280]
Recombinant rabbit monoclonal [24GB5280] antibody to Rad52 for WB and ICC/IF.
(7)
A101677
Anti-Rad52 Antibody
Rabbit polyclonal antibody to Rad52 for WB, IP, IF and ELISA.
(2)
A93821
Anti-RAD52 (phospho Tyr104) Antibody
Rabbit polyclonal antibody to RAD52 (phospho Tyr104) for WB, IHC, IF and ELISA.
(2)
A25712
Anti-Rad52 (N99) Antibody
Rabbit polyclonal antibody to Rad52 (N99) for WB, IHC and IF.
A27784
Anti-Rad52 (phospho-Y104) Antibody
Rabbit polyclonal antibody to Rad52 (phospho-Y104) for WB and IHC.
A96038
Anti-RAD52 Antibody
Rabbit polyclonal antibody to RAD52 for WB, IHC, IF and ELISA.
A14337
Anti-RAD52 Antibody
Rabbit polyclonal antibody to RAD52 for WB.
(2)
A37991
Anti-RAD52 Antibody
Rabbit polyclonal antibody to RAD52 for IHC.
A308307
Anti-RAD52 Antibody [ARC1183]
Rabbit monoclonal [ARC1183] antibody to RAD52 for WB.
A348110
Anti-Rad52 Antibody [25GB3575]
Recombinant rabbit monoclonal [25GB3575] antibody to Rad52 for WB and ICC/IF.
A348111
Anti-Rad52 Antibody [24GB5280]
Recombinant rabbit monoclonal [24GB5280] antibody to Rad52 for WB and ICC/IF.
See all RAD52 Antibodies
Proteins predicted to interact with Rad52
Predicted protein interactions based upon String database. Revelancy score correlates with probability of interaction.
RPA2 Antibodies
99.9% Relevancy Score
Rad51 Antibodies
99.9% Relevancy Score
RPA70 Antibodies
99.9% Relevancy Score
RPA3 Antibodies
99.8% Relevancy Score
WRN Antibodies
99.6% Relevancy Score
ATRX Antibodies
99.3% Relevancy Score
BRCA2 Antibodies
99.3% Relevancy Score
FANCM Antibodies
99% Relevancy Score
BRCA1 Antibodies
98.7% Relevancy Score
Top