Primary Antibodies
Secondary Antibodies
Proteins & Peptides
ELISA Kits
About Us
Contact Us
Sign In/Register
0
ISO 9001:2015 Certified
Live Customer Support
4.5/5 on Trustpilot
100% Quality Guarantee
Home
Primary Antibodies
RAD54L2 Antibodies
Anti-RAD54L2 Antibody (A36828)
Anti-RAD54L2 Antibody (A36828)
Overview
Specifications
Images
Enlarge Image
Enlarge Image
$430
Rabbit polyclonal antibody to RAD54L2 for WB and IHC.
100% Guarantee
Price Match Guarantee
Product Size:
100µl
Quantity:
1
2
3
4
5
6
7
8
9
10
Add To Cart
Request a Quotation
Custom or Bulk Request
Shipping Information
Freight/Packing Charges:
$40
Dispatched from St. Louis, MO.
Lead Time: 6-9 business days.
Specifications
Name
Anti-RAD54L2 Antibody
Description
Rabbit polyclonal antibody to RAD54L2
Specificity
The antibody detects endogenous levels of total RAD54L2 protein.
Applications
WB
,
IHC
Reactivity
Human
Immunogen
Fusion protein corresponding to residues near the C terminal of human RAD54-like 2 (S. cerevisiae)
Host
Rabbit
Clonality
Polyclonal
Conjugate
Unconjugated
Purification
Antigen affinity purification.
Concentration
2.7mg / ml
Formulation
Rabbit IgG in pH7.3 PBS, 0.05% NaN3, 50% Glycerol.
Storage
Store at -20˚C
Synonyms
Androgen receptor-interacting protein 4, ARIP4, Helicase ARIP4, KIAA0809, RAD54-like protein 2
Suitable Secondaries
Goat Anti-Rabbit IgG H&L Antibody (AP) (A294874)
Goat Anti-Rabbit IgG H&L Antibody (Biotin) (A294795)
Goat Anti-Rabbit IgG H&L Antibody (FITC) (A294887)
Goat Anti-Rabbit IgG H&L Antibody (HRP) (A294888)
See all Anti-Rabbit IgG Secondaries →
Disclaimer
This product is for research use only. It is not intended for diagnostic or therapeutic use.
Scientific Validation Data
Validation Data
(2)
Enlarge Image
Anti-RAD54L2 Antibody (A36828)
Gel: 6%SDS-PAGE Lysates (from left to right): Hela, Raji , 293T and PC3 Amount of lysate: 40ug per lane Primary antibody: 1/400 dilution Secondary antibody dilution: 1/8000 Exposure time: 5 minutes
Enlarge Image
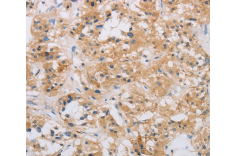
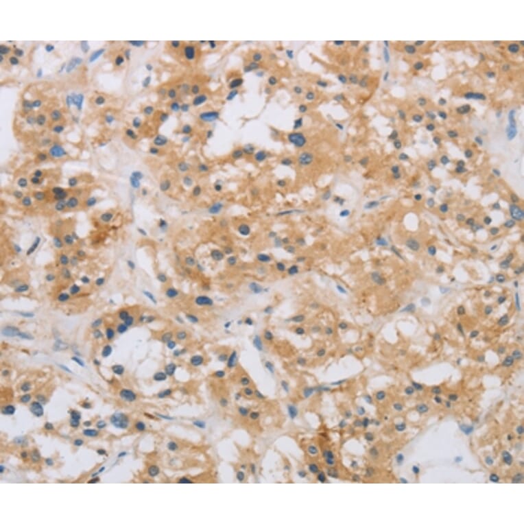
Immunohistochemistry - Anti-RAD54L2 Antibody (A36828)
Immunohistochemical analysis of paraffin-embedded Human thyroid cancer tissue using #35903 at dilution 1/60.
Publishing research using Anti-RAD54L2 Antibody (A36828)? Please
let us know
so that we can list the citation on this page.
Alternative products to Anti-RAD54L2 Antibody (A36828)
(2)
A39461
Anti-RAD54L2 Antibody
Rabbit polyclonal antibody to RAD54L2 for WB and IF.
A9802
Anti-ARIP4 Antibody
Rabbit polyclonal antibody to ARIP4 for WB.
A91969
Anti-ARIP4 Antibody
Rabbit polyclonal antibody to ARIP4 for ICC/IF.
(2)
A39461
Anti-RAD54L2 Antibody
Rabbit polyclonal antibody to RAD54L2 for WB and IF.
A9802
Anti-ARIP4 Antibody
Rabbit polyclonal antibody to ARIP4 for WB.
A91969
Anti-ARIP4 Antibody
Rabbit polyclonal antibody to ARIP4 for ICC/IF.
Proteins predicted to interact with RAD54L2
Predicted protein interactions based upon String database. Revelancy score correlates with probability of interaction.
DYRK1A Antibodies
92.5% Relevancy Score
Androgen Receptor Antibodies
85.8% Relevancy Score
NR5A2 Antibodies
79.2% Relevancy Score
WDR68 Antibodies
79.2% Relevancy Score
Glucocorticoid Receptor Antibodies
76.3% Relevancy Score
CNOT7 Antibodies
65.8% Relevancy Score
SUMO2 Antibodies
64.5% Relevancy Score
SQSTM1 Antibodies
61.9% Relevancy Score
53BP1 Antibodies
55.8% Relevancy Score
Top