ISO 9001:2015 Certified
Live Customer Support
4.5/5 on Trustpilot
100% Quality Guarantee

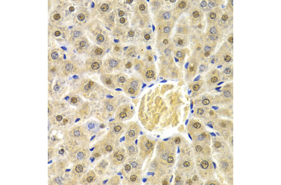
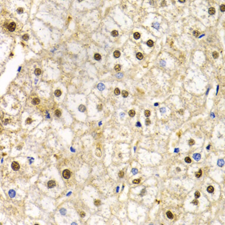
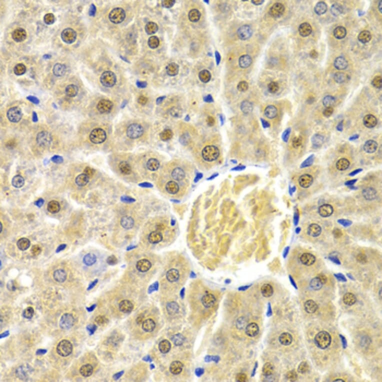
Anti-Rad9 Antibody (A13726)

Rabbit polyclonal antibody to Rad9 for WB and IHC.

Shipping Information

$40
Dispatched from St. Louis, MO.
Lead Time: 7-10 business days.
Name
Anti-Rad9 Antibody
Description
Rabbit polyclonal antibody to Rad9.
Applications
WB, IHC
Dilutions
WB: 1:500-1:2,000, IHC: 1:50-1:200
Reactivity
Human, Rat
Immunogen
Recombinant fusion protein containing a sequence corresponding to amino acids 162-391 of human RAD9A (NP_004575.1).
Sequence
ALAEVTLGIGRGRRVILRSYHEEEADSTAKAMVTEMCLGEEDFQQLQAQEGVAITFCLKEFRGLLSFAESANLNLSIHFDAPGRPAIFTIKDSLLDGHFVLATLSDTDSHSQDLGSPERHQPVPQLQAHSTPHPDDFANDDIDSYMIAMETTIGNEGSRVLPSISLSPGPQPPKSPGPHSEEEDEAEPSTVPGTPPPKKFRSLFFGSILAPVRSPQGPSPVLAEDSEGEG
Host
Rabbit
Clonality
Polyclonal
Isotype
IgG
Conjugate

Unconjugated

Purification
Affinity purification.
Concentration
Lot Specific
Molecular Weight
60 kDa
Product Form
Liquid
Formulation
Supplied in Phosphate Buffered Saline, pH 7.3, with 50% Glycerol and 0.02% Sodium Azide.
Storage
Shipped at 4°C. Upon delivery aliquot and store at -20°C. Avoid freeze/thaw cycles.
Synonyms
Cell cycle checkpoint control protein, Cell cycle checkpoint control protein RAD9A, DNA repair exonuclease rad9 homolog A, hRAD 9, hRAD9, Rad 9, RAD 9A, RAD9 (S pombe) homolog, RAD9 homolog, RAD9 homolog A, Rad9a, RAD9A_HUMAN
Disclaimer
This product is for research use only. It is not intended for diagnostic or therapeutic use.
Publishing research using Anti-Rad9 Antibody (A13726)? Please let us know so that we can list the citation on this page.

Alternative products to Anti-Rad9 Antibody (A13726)