Primary Antibodies
Secondary Antibodies
Proteins & Peptides
ELISA Kits
About Us
Contact Us
Sign In/Register
0
ISO 9001:2015 Certified
Live Customer Support
4.5/5 on Trustpilot
100% Quality Guarantee
Home
Primary Antibodies
RAMP3 Antibodies
Anti-RAMP3 Antibody (A45911)
Anti-RAMP3 Antibody (A45911)
Overview
Specifications
Images
Enlarge Image
Enlarge Image
$430
Product Datasheet
Rabbit polyclonal antibody to RAMP3 for IHC.
100% Guarantee
Price Match Guarantee
Product Size:
100µl
Quantity:
1
2
3
4
5
6
7
8
9
10
Add To Cart
Request a Quotation
Custom or Bulk Request
Shipping Information
Freight/Packing Charges:
$40
Dispatched from St. Louis, MO.
Lead Time: 6-9 business days.
Specifications
Name
Anti-RAMP3 Antibody
Description
Rabbit polyclonal antibody to RAMP3
Specificity
The antibody detects endogenous levels of total RAMP3 protein.
Applications
IHC
Reactivity
Human
Immunogen
Fusion protein corresponding to a region derived from internal residues of human receptor (G protein-coupled) activity modifying protein 3
Host
Rabbit
Clonality
Polyclonal
Conjugate
Unconjugated
Purification
Antigen affinity purification.
Concentration
1.2 mg/mL
Formulation
Supplied in PBS, pH 7.3, containing 0.05% sodium azide and 50% glycerol.
Storage
Shipped at 4°C. Upon delivery aliquot and store at -20°C. Avoid freeze/thaw cycles.
Synonyms
Calcitonin-receptor-like receptor activity-modifying protein 3, CRLR activity-modifying protein 3, Receptor activity-modifying protein 3
Suitable Secondaries
Goat Anti-Rabbit IgG H&L Antibody (AP) (A294874)
Goat Anti-Rabbit IgG H&L Antibody (Biotin) (A294795)
Goat Anti-Rabbit IgG H&L Antibody (FITC) (A294887)
Goat Anti-Rabbit IgG H&L Antibody (HRP) (A294888)
See all Anti-Rabbit IgG Secondaries →
Disclaimer
This product is for research use only. It is not intended for diagnostic or therapeutic use.
Scientific Validation Data
Validation Data
(2)
Enlarge Image
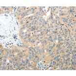
Immunohistochemistry - Anti-RAMP3 Antibody (A45911)
Immunohistochemical analysis of paraffin-embedded Human ovarian cancer tissue using #35886 at dilution 1/40.
Enlarge Image
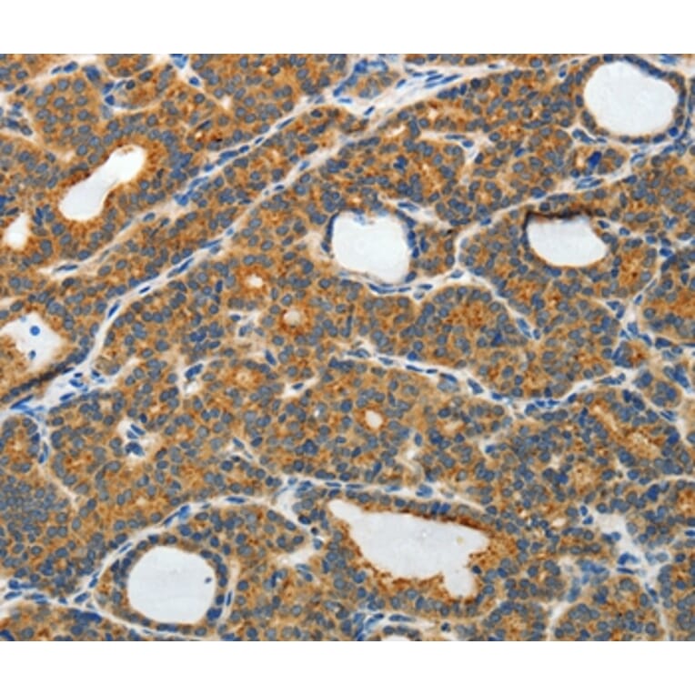
Immunohistochemistry - Anti-RAMP3 Antibody (A45911)
Immunohistochemical analysis of paraffin-embedded Human thyroid cancer tissue using #35886 at dilution 1/40.
Publishing research using Anti-RAMP3 Antibody (A45911)? Please
let us know
so that we can list the citation on this page.
Alternative products to Anti-RAMP3 Antibody (A45911)
(2)
A324202
Anti-RAMP3 Antibody [Research Grade Antibody] - Low endotoxin, Azide free
Recombinant human monoclonal antibody to RAMP3 for ELISA, FACS, Functional Assay and In Vivo.
(2)
A9978
Anti-RAMP3 Antibody
Rabbit polyclonal antibody to RAMP3 for WB and ICC/IF.
(2)
A39854
Anti-RAMP3 Antibody
Rabbit polyclonal antibody to RAMP3 for WB and ICC/IF.
A31544
Anti-RAMP3 Antibody
Rabbit polyclonal antibody to RAMP3 for WB and IHC.
(2)
A324202
Anti-RAMP3 Antibody [Research Grade Antibody] - Low endotoxin, Azide free
Recombinant human monoclonal antibody to RAMP3 for ELISA, FACS, Functional Assay and In Vivo.
(2)
A9978
Anti-RAMP3 Antibody
Rabbit polyclonal antibody to RAMP3 for WB and ICC/IF.
(2)
A39854
Anti-RAMP3 Antibody
Rabbit polyclonal antibody to RAMP3 for WB and ICC/IF.
A31544
Anti-RAMP3 Antibody
Rabbit polyclonal antibody to RAMP3 for WB and IHC.
Proteins predicted to interact with RAMP3
Predicted protein interactions based upon String database. Revelancy score correlates with probability of interaction.
Calcitonin Receptor Antibodies
99.9% Relevancy Score
Adrenomedullin Antibodies
99.9% Relevancy Score
CRLR Antibodies
99.9% Relevancy Score
Amylin Antibodies
99.8% Relevancy Score
ADM2 Antibodies
99.4% Relevancy Score
RAMP2 Antibodies
99.1% Relevancy Score
Calcitonin Antibodies
98.6% Relevancy Score
CGRP Antibodies
98.6% Relevancy Score
G Protein alpha S Antibodies
97.9% Relevancy Score
Top