ISO 9001:2015 Certified
Live Customer Support
4.5/5 on Trustpilot
100% Quality Guarantee

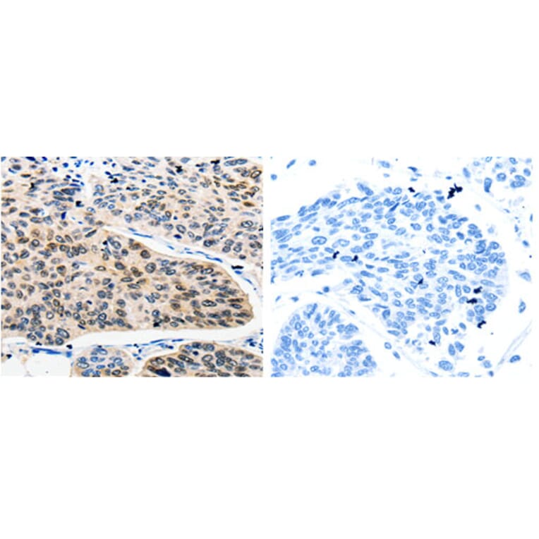
Anti-RAN Antibody (A48622)

Rabbit polyclonal antibody to RAN for ELISA, WB and IHC.

Shipping Information

$40
Dispatched from St. Louis, MO.
Lead Time: 6-9 business days.
Name
Anti-RAN Antibody
Description
Rabbit polyclonal antibody to RAN
Specificity
The antibody detects endogenous level of total RAN protein.
Applications
ELISA, WB, IHC
Reactivity
Human, Mouse, Rat
Immunogen
Synthetic peptide corresponding to a region derived from 200-216 amino acids of Human Ras-related nuclear protein
Host
Rabbit
Clonality
Polyclonal
Conjugate

Unconjugated

Formulation
Supplied in phosphate-buffered saline (without Mg²? and Ca²?), pH 7.3, containing 150 mM NaCl, 0.05% sodium azide, and 50% glycerol.
Storage
Shipped at 4°C. Upon delivery aliquot and store at -20°C. Avoid freeze/thaw cycles.
Synonyms
Androgen receptor-associated protein 24, ARA24, GTP-binding nuclear protein Ran, GTPase Ran, Ras-like protein TC4, Ras-related nuclear protein
Disclaimer
This product is for research use only. It is not intended for diagnostic or therapeutic use.
Publishing research using Anti-RAN Antibody (A48622)? Please let us know so that we can list the citation on this page.

Alternative products to Anti-RAN Antibody (A48622)

Proteins predicted to interact with Ran

Predicted protein interactions based upon String database. Revelancy score correlates with probability of interaction.
99.9% Relevancy Score
99.9% Relevancy Score
99.9% Relevancy Score
99.9% Relevancy Score
99.9% Relevancy Score
99.9% Relevancy Score
99.9% Relevancy Score
99.9% Relevancy Score
99.9% Relevancy Score