Primary Antibodies
Secondary Antibodies
Proteins & Peptides
ELISA Kits
About Us
Contact Us
Sign In/Register
0
ISO 9001:2015 Certified
Live Customer Support
4.5/5 on Trustpilot
100% Quality Guarantee
Home
Primary Antibodies
RANBP10 Antibodies
Anti-RANBP10 Antibody (A47495)
Anti-RANBP10 Antibody (A47495)
Overview
Specifications
Images
Enlarge Image
Enlarge Image
$780
Product Datasheet
Rabbit polyclonal antibody to RANBP10 for ELISA, WB and IHC.
100% Guarantee
Price Match Guarantee
Product Size:
100µl
Quantity:
1
2
3
4
5
6
7
8
9
10
Add To Cart
Request a Quotation
Custom or Bulk Request
Shipping Information
Freight/Packing Charges:
$40
Dispatched from St. Louis, MO.
Lead Time: 6-9 business days.
Specifications
Name
Anti-RANBP10 Antibody
Description
Rabbit polyclonal antibody to RANBP10
Applications
ELISA
,
WB
,
IHC
Reactivity
Human
Immunogen
Raised against a 15 amino acid peptide near the center of human RANBP10.
Host
Rabbit
Clonality
Polyclonal
Conjugate
Unconjugated
Purification
Affinity chromatography purified via peptide column
Formulation
Supplied in phosphate-buffered saline with 0.02% Sodium Azide.
Storage
Shipped at 4°C. Upon delivery aliquot and store at -20°C. Avoid freeze/thaw cycles.
Synonyms
KIAA1464, Ran-binding protein 10
Suitable Secondaries
Goat Anti-Rabbit IgG H&L Antibody (AP) (A294874)
Goat Anti-Rabbit IgG H&L Antibody (Biotin) (A294795)
Goat Anti-Rabbit IgG H&L Antibody (FITC) (A294887)
Goat Anti-Rabbit IgG H&L Antibody (HRP) (A294888)
See all Anti-Rabbit IgG Secondaries →
Disclaimer
This product is for research use only. It is not intended for diagnostic or therapeutic use.
Scientific Validation Data
Validation Data
(2)
Enlarge Image
Anti-RANBP10 Antibody (A47495)
Western blot analysis of RANBP10 in human skeletal muscle tissue lysate with RANBP10 antibody at (A) 1 and (B) 2 µg/mL.
Enlarge Image
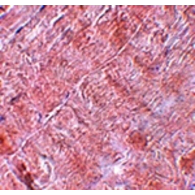
Immunohistochemistry - Anti-RANBP10 Antibody (A47495)
Immunohistochemistry of RANBP10 in human skeletal muscle tissue with RANBP10 antibody at 5 µg/mL.
Publishing research using Anti-RANBP10 Antibody (A47495)? Please
let us know
so that we can list the citation on this page.
Alternative products to Anti-RANBP10 Antibody (A47495)
A309242
Anti-RANBP10 Antibody
Rabbit polyclonal antibody to RANBP10 for WB.
A309242
Anti-RANBP10 Antibody
Rabbit polyclonal antibody to RANBP10 for WB.
Proteins predicted to interact with RANBP10
Predicted protein interactions based upon String database. Revelancy score correlates with probability of interaction.
RanBP9 Antibodies
99.7% Relevancy Score
ARMC8 Antibodies
99.3% Relevancy Score
C20orf11 Antibodies
99% Relevancy Score
RMND5A Antibodies
97.7% Relevancy Score
MKLN1 Antibodies
94.9% Relevancy Score
YPEL5 Antibodies
94.9% Relevancy Score
MAEA Antibodies
92% Relevancy Score
c-Met Antibodies
66.3% Relevancy Score
beta Tubulin Antibodies
62.3% Relevancy Score
Top