ISO 9001:2015 Certified
Live Customer Support
4.5/5 on Trustpilot
100% Quality Guarantee

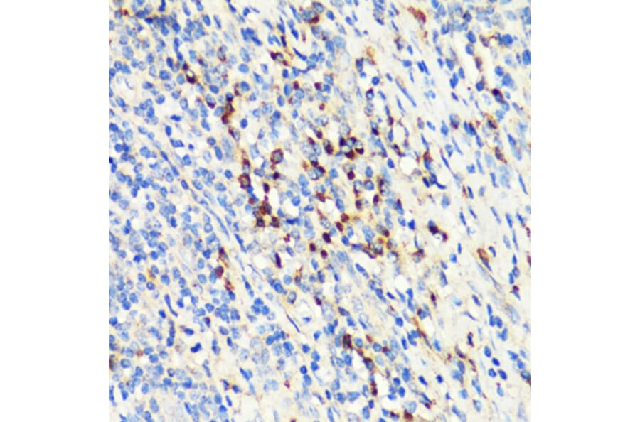
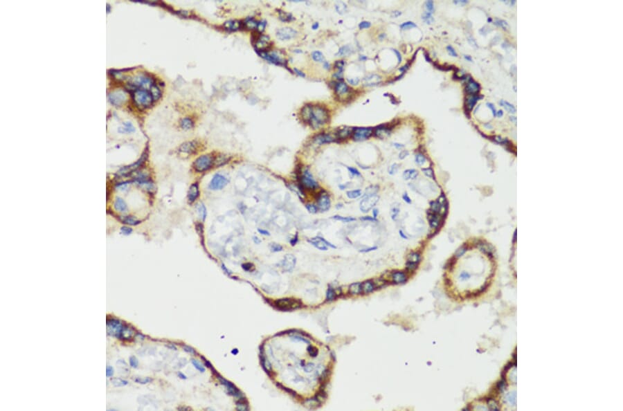
Anti-RANKL Antibody (A92747)

Rabbit polyclonal antibody to RANKL for WB, IHC and ICC/IF.

Shipping Information

$40
Dispatched from St. Louis, MO.
Lead Time: 7-10 business days.
Name
Anti-RANKL Antibody
Description
Rabbit polyclonal antibody to RANKL.
Applications
WB, IHC, ICC/IF
Dilutions
WB: 1:500-1:2,000, IHC: 1:50-1:200, ICC/IF: 1:50-1:200
Reactivity
Human, Mouse
Immunogen
Recombinant fusion protein containing a sequence corresponding to amino acids 165-317 of human TNFSF11 (O14788).
Sequence
FAHLTINATDIPSGSHKVSLSSWYHDRGWAKISNMTFSNGKLIVNQDGFYYLYANICFRHHETSGDLATEYLQLMVYVTKTSIKIPSSHTLMKGGSTKYWSGNSEFHFYSINVGGFFKLRSGEEISIEVSNPSLLDPDQDATYFGAFKVRDID
Host
Rabbit
Clonality
Polyclonal
Isotype
IgG
Conjugate

Unconjugated

Purification
Affinity purification.
Concentration
Lot Specific
Product Form
Liquid
Formulation
Supplied in Phosphate Buffered Saline, pH 7.3, with 50% Glycerol and 0.01% Thiomersal.
Storage
Shipped at 4°C. Upon delivery aliquot and store at -20°C. Avoid freeze/thaw cycles.
Synonyms
CD254, ODF, OPGL, Osteoclast differentiation factor, Osteoprotegerin ligand, Receptor activator of nuclear factor kappa-B ligand, TNF-related activation-induced cytokine, TNFSF11, TRANCE, Tumor necrosis factor ligand superfamily member 11
Disclaimer
This product is for research use only. It is not intended for diagnostic or therapeutic use.
Publishing research using Anti-RANKL Antibody (A92747)? Please let us know so that we can list the citation on this page.

Alternative products to Anti-RANKL Antibody (A92747)

Proteins predicted to interact with RANKL

Predicted protein interactions based upon String database. Revelancy score correlates with probability of interaction.
99.9% Relevancy Score
99.9% Relevancy Score
98.7% Relevancy Score
98.6% Relevancy Score
96.2% Relevancy Score
94.5% Relevancy Score
92.7% Relevancy Score
92.5% Relevancy Score
91.5% Relevancy Score