ISO 9001:2015 Certified
Live Customer Support
4.5/5 on Trustpilot
100% Quality Guarantee

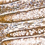
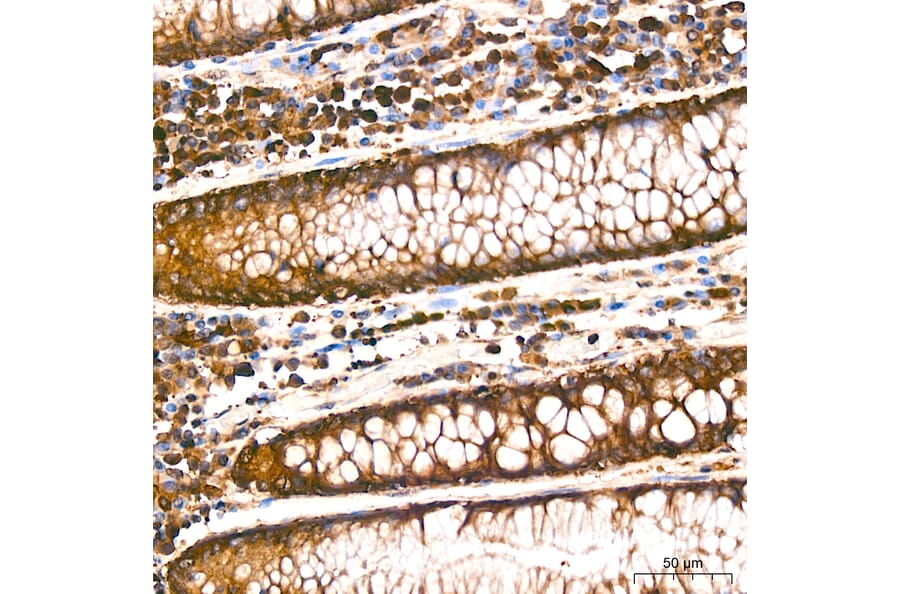
Anti-RARS Antibody [ARC65518] (A329792)

$515

Rabbit monoclonal [ARC65518] antibody to RARS for WB, IHC-P, ICC/IF and ELISA.

Shipping Information

$40
Dispatched from St. Louis, MO.
Lead Time: 7-10 business days.
Name
Anti-RARS Antibody [ARC65518]
Description
Rabbit monoclonal [ARC65518] antibody to RARS.
Applications
WB, IHC-P, ICC/IF, ELISA
Positive Control
293T.
Dilutions
WB: 1:500-1:1,000, IHC-P: 1:50-1:200, ICC/IF: 1:50-1:200, ELISA: 1 µg/ml (starting concentration)
Reactivity
Human, Mouse
Immunogen
A recombinant fusion protein corresponding to amino acids 1-300 of human RARS.
Sequence
MDVLVSECSARLLQQEEEIKSLTAEIDRLKNCGCLGASPNLEQLQEENLKLKYRLNILRKSLQAERNKPTKNMINIISRLQEVFGHAIKAAYPDLENPPLLVTPSQQAKFGDYQCNSAMGISQMLKTKEQKVNPREIAENITKHLPDNECIEKVEIAGPGFINVHLRKDFVSEQLTSLLVNGVQLPALGENKKVIVDFSSPNIAKEMHVGHLRSTIIGESISRLFEFAGYDVLRLNHVGDWGTQFGMLIAHLQDKFPDYLTVSPPIGDLQVFYKESKKRFDTEEEFKKRAYQCVVLLQGK
Host
Rabbit
Clonality
Monoclonal
Clone ID
ARC65518
Isotype
IgG
Conjugate

Unconjugated

Purification
Affinity purification.
Concentration
Lot Specific
Molecular Weight
72 kDa
Predicted MW
75 kDa
Product Form
Liquid
Formulation
Supplied in Phosphate Buffered Saline, pH 7.3, with 0.05% BSA, 50% Glycerol, and 0.05% ProClin 300.
Storage
Shipped at 4°C. Upon delivery aliquot and store at -20°C. Avoid freeze/thaw cycles.
Synonyms
Arginine--tRNA ligase, cytoplasmic, Arginyl-tRNA synthetase, ArgRS, RARS1
Disclaimer
This product is for research use only. It is not intended for diagnostic or therapeutic use.
Publishing research using Anti-RARS Antibody [ARC65518] (A329792)? Please let us know so that we can list the citation on this page.

Alternative products to Anti-RARS Antibody [ARC65518] (A329792)

Proteins predicted to interact with RARS

Predicted protein interactions based upon String database. Revelancy score correlates with probability of interaction.
99.9% Relevancy Score
99.9% Relevancy Score
99.9% Relevancy Score
99.8% Relevancy Score
99.6% Relevancy Score
99.6% Relevancy Score
98.4% Relevancy Score
97.9% Relevancy Score