Primary Antibodies
Secondary Antibodies
Proteins & Peptides
ELISA Kits
About Us
Contact Us
Sign In/Register
0
ISO 9001:2015 Certified
Live Customer Support
4.5/5 on Trustpilot
100% Quality Guarantee
Home
Primary Antibodies
Ras Antibodies
Anti-Ras Antibody (A32272)
Anti-Ras Antibody (A32272)
Overview
Specifications
Images
Enlarge Image
Enlarge Image
$455
Rabbit monoclonal antibody to Ras for WB, IP and FC.
100% Guarantee
Price Match Guarantee
Product Size:
50µl
100µl
Quantity:
1
2
3
4
5
6
7
8
9
10
Add To Cart
Request a Quotation
Custom or Bulk Request
Shipping Information
Freight/Packing Charges:
$40
Dispatched from St. Louis, MO.
Lead Time: 7-10 business days.
Specifications
Name
Anti-Ras Antibody
Description
Rabbit monoclonal antibody to Ras
Specificity
This antibody is predicted to react with H-Ras, N-Ras and K-Ras.
Applications
WB
,
IP
, FC
Reactivity
Human, Mouse, Rat, Zebrafish
Immunogen
Recombinant antibody.
Host
Rabbit
Clonality
Monoclonal
Conjugate
Unconjugated
Molecular Weight
~ 18 kDa
Purity
Protein A affinity purified
Product Form
Recombinant Rabbit Monoclonal Antibody. 1*TBS (pH7.4), 1%BSA, 40%Glycerol. Preservative: 0.05% Sodium Azide.
Suitable Secondaries
Goat Anti-Rabbit IgG H&L Antibody (AP) (A294874)
Goat Anti-Rabbit IgG H&L Antibody (Biotin) (A294795)
Goat Anti-Rabbit IgG H&L Antibody (FITC) (A294887)
Goat Anti-Rabbit IgG H&L Antibody (HRP) (A294888)
See all Anti-Rabbit IgG Secondaries →
Disclaimer
This product is for research use only. It is not intended for diagnostic or therapeutic use.
Scientific Validation Data
Validation Data
(2)
Enlarge Image
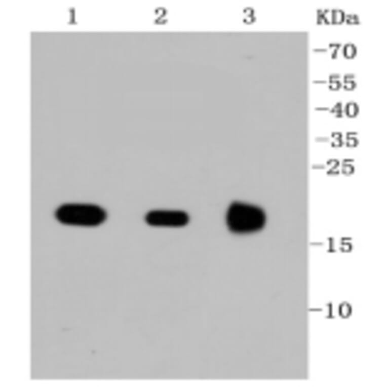
Anti-Ras Antibody (A32272)
For details please refer to datasheet.
Enlarge Image
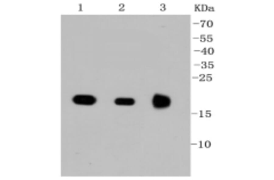
Anti-Ras Antibody (A32272)
For details please refer to datasheet.
Publishing research using Anti-Ras Antibody (A32272)? Please
let us know
so that we can list the citation on this page.
Alternative products to Anti-Ras Antibody (A32272)
(5)
A305081
Anti-RAS Antibody
Rabbit polyclonal antibody to RAS for WB, IHC and ICC/IF.
(4)
A98070
Anti-KRAS Antibody
Rabbit polyclonal antibody to KRAS for WB and ELISA.
(3)
A25335
Anti-Ras (H27) Antibody
Rabbit polyclonal antibody to Ras (H27) for WB and IHC.
(5)
A305081
Anti-RAS Antibody
Rabbit polyclonal antibody to RAS for WB, IHC and ICC/IF.
(4)
A98070
Anti-KRAS Antibody
Rabbit polyclonal antibody to KRAS for WB and ELISA.
(3)
A25335
Anti-Ras (H27) Antibody
Rabbit polyclonal antibody to Ras (H27) for WB and IHC.
Top