Primary Antibodies
Secondary Antibodies
Proteins & Peptides
ELISA Kits
About Us
Contact Us
Sign In/Register
0
ISO 9001:2015 Certified
Live Customer Support
4.5/5 on Trustpilot
100% Quality Guarantee
Home
Primary Antibodies
RASA2 Antibodies
Anti-RASA2 Antibody (A46276)
Anti-RASA2 Antibody (A46276)
Overview
Specifications
Images
Enlarge Image
Enlarge Image
$430
Product Datasheet
Rabbit polyclonal antibody to RASA2 for IHC.
100% Guarantee
Price Match Guarantee
Product Size:
100µl
Quantity:
1
2
3
4
5
6
7
8
9
10
Add To Cart
Request a Quotation
Custom or Bulk Request
Shipping Information
Freight/Packing Charges:
$40
Dispatched from St. Louis, MO.
Lead Time: 6-9 business days.
Specifications
Name
Anti-RASA2 Antibody
Description
Rabbit polyclonal antibody to RASA2
Specificity
The antibody detects endogenous levels of total RASA2 protein.
Applications
IHC
Reactivity
Human
Immunogen
Synthetic peptide corresponding to a region derived from internal residues of human RAS p21 protein activator 2
Host
Rabbit
Clonality
Polyclonal
Conjugate
Unconjugated
Purification
Antigen affinity purification.
Concentration
3 mg/mL
Formulation
Supplied in PBS, pH 7.3, containing 0.05% sodium azide and 50% glycerol.
Storage
Shipped at 4°C. Upon delivery aliquot and store at -20°C. Avoid freeze/thaw cycles.
Synonyms
GAP1m, GTPase-activating protein 1m, Ras GTPase-activating protein 2, RASGAP
Suitable Secondaries
Goat Anti-Rabbit IgG H&L Antibody (AP) (A294874)
Goat Anti-Rabbit IgG H&L Antibody (Biotin) (A294795)
Goat Anti-Rabbit IgG H&L Antibody (FITC) (A294887)
Goat Anti-Rabbit IgG H&L Antibody (HRP) (A294888)
See all Anti-Rabbit IgG Secondaries →
Disclaimer
This product is for research use only. It is not intended for diagnostic or therapeutic use.
Scientific Validation Data
Validation Data
(2)
Enlarge Image
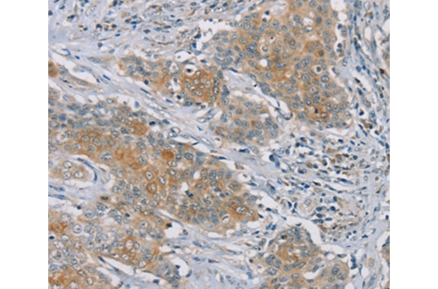
Immunohistochemistry - Anti-RASA2 Antibody (A46276)
Immunohistochemical analysis of paraffin-embedded Human oesophagus cancer tissue using #37861 at dilution 1/45.
Enlarge Image
Immunohistochemistry - Anti-RASA2 Antibody (A46276)
Immunohistochemical analysis of paraffin-embedded Human ovarian cancer tissue using #37861 at dilution 1/45.
Publishing research using Anti-RASA2 Antibody (A46276)? Please
let us know
so that we can list the citation on this page.
Proteins predicted to interact with RASA2
Predicted protein interactions based upon String database. Revelancy score correlates with probability of interaction.
RRAS Antibodies
95.9% Relevancy Score
NRAS Antibodies
95.8% Relevancy Score
HRAS Antibodies
95.5% Relevancy Score
KRAS Antibodies
94.7% Relevancy Score
MRas Antibodies
94.2% Relevancy Score
TC21 Antibodies
93.3% Relevancy Score
G Protein alpha 12 Antibodies
91.7% Relevancy Score
G gamma12 Antibodies
90% Relevancy Score
RASGAP Antibodies
73.6% Relevancy Score
Top