Primary Antibodies
Secondary Antibodies
Proteins & Peptides
ELISA Kits
About Us
Contact Us
Sign In/Register
0
ISO 9001:2015 Certified
Live Customer Support
4.5/5 on Trustpilot
100% Quality Guarantee
Home
Primary Antibodies
RASA3 Antibodies
Anti-RASA3 Antibody (A46277)
Anti-RASA3 Antibody (A46277)
Overview
Specifications
Images
Enlarge Image
$405
Rabbit polyclonal antibody to RASA3 for IHC.
100% Guarantee
Price Match Guarantee
Product Size:
100µl
Quantity:
1
2
3
4
5
6
7
8
9
10
Add To Cart
Request a Quotation
Custom or Bulk Request
Shipping Information
Freight/Packing Charges:
$40
Dispatched from St. Louis, MO.
Lead Time: 6-9 business days.
Specifications
Name
Anti-RASA3 Antibody
Description
Rabbit polyclonal antibody to RASA3
Specificity
The antibody detects endogenous levels of total RASA3 protein.
Applications
IHC
Reactivity
Human
Immunogen
Synthetic peptide corresponding to a region derived from internal residues of human RAS p21 protein activator 3
Host
Rabbit
Clonality
Polyclonal
Conjugate
Unconjugated
Purification
Antigen affinity purification.
Concentration
3.9mg / ml
Formulation
Rabbit IgG in pH7.3 PBS, 0.05% NaN3, 50% Glycerol.
Storage
Store at -20˚C
Synonyms
GAP1(IP4BP, Ins P4-binding protein, Ras GTPase-activating protein 3
Suitable Secondaries
Goat Anti-Rabbit IgG H&L Antibody (AP) (A294874)
Goat Anti-Rabbit IgG H&L Antibody (Biotin) (A294795)
Goat Anti-Rabbit IgG H&L Antibody (FITC) (A294887)
Goat Anti-Rabbit IgG H&L Antibody (HRP) (A294888)
See all Anti-Rabbit IgG Secondaries →
Disclaimer
This product is for research use only. It is not intended for diagnostic or therapeutic use.
Scientific Validation Data
Validation Data
(1)
Enlarge Image
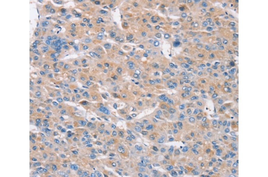
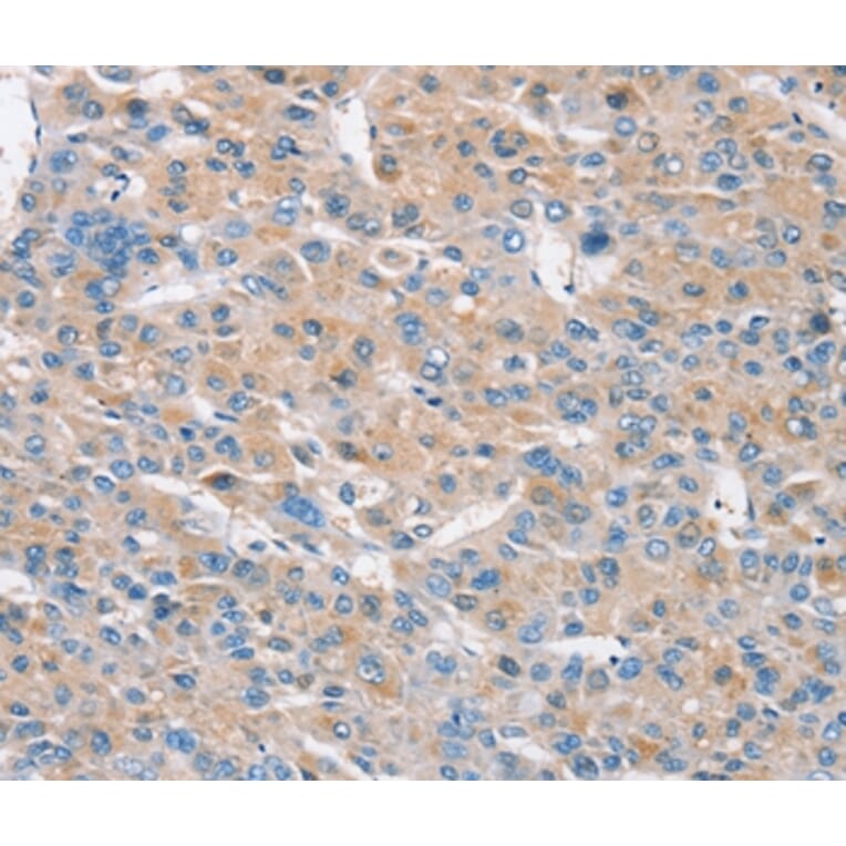
Immunohistochemistry - Anti-RASA3 Antibody (A46277)
Immunohistochemical analysis of paraffin-embedded Human liver cancer tissue using #37862 at dilution 1/30.
Publishing research using Anti-RASA3 Antibody (A46277)? Please
let us know
so that we can list the citation on this page.
Alternative products to Anti-RASA3 Antibody (A46277)
A97299
Anti-RASA3 Antibody
Rabbit polyclonal antibody to RASA3 for WB and ELISA.
A97300
Anti-RASA3 Antibody
Rabbit polyclonal antibody to RASA3 for WB and ELISA.
A42652
Anti-RASA3 Antibody
Rabbit polyclonal antibody to RASA3 for WB.
A97299
Anti-RASA3 Antibody
Rabbit polyclonal antibody to RASA3 for WB and ELISA.
A97300
Anti-RASA3 Antibody
Rabbit polyclonal antibody to RASA3 for WB and ELISA.
A42652
Anti-RASA3 Antibody
Rabbit polyclonal antibody to RASA3 for WB.
Proteins predicted to interact with RASA3
Predicted protein interactions based upon String database. Revelancy score correlates with probability of interaction.
RRAS Antibodies
85.5% Relevancy Score
NRAS Antibodies
75.9% Relevancy Score
HRAS Antibodies
73.4% Relevancy Score
RAP1A Antibodies
72.9% Relevancy Score
KRAS Antibodies
72.9% Relevancy Score
MRas Antibodies
71.8% Relevancy Score
RASGAP Antibodies
71.3% Relevancy Score
RASAL2 Antibodies
69.2% Relevancy Score
TC21 Antibodies
69.1% Relevancy Score
Top