Primary Antibodies
Secondary Antibodies
Proteins & Peptides
ELISA Kits
About Us
Contact Us
Sign In/Register
0
ISO 9001:2015 Certified
Live Customer Support
4.5/5 on Trustpilot
100% Quality Guarantee
Home
Primary Antibodies
RASA4 Antibodies
Anti-RASA4 Antibody (A46305)
Anti-RASA4 Antibody (A46305)
Overview
Specifications
Images
Enlarge Image
Enlarge Image
$405
Rabbit polyclonal antibody to RASA4 for IHC.
100% Guarantee
Price Match Guarantee
Product Size:
100µl
Quantity:
1
2
3
4
5
6
7
8
9
10
Add To Cart
Request a Quotation
Custom or Bulk Request
Shipping Information
Freight/Packing Charges:
$40
Dispatched from St. Louis, MO.
Lead Time: 6-9 business days.
Specifications
Name
Anti-RASA4 Antibody
Description
Rabbit polyclonal antibody to RASA4
Specificity
The antibody detects endogenous levels of total RASA4 protein.
Applications
IHC
Reactivity
Human
Immunogen
Fusion protein corresponding to residues near the C terminal of human RAS p21 protein activator 4
Host
Rabbit
Clonality
Polyclonal
Conjugate
Unconjugated
Purification
Antigen affinity purification.
Concentration
1.2 mg/ml
Formulation
Rabbit IgG in pH7.4 PBS, 0.05% NaN3, 40% Glycerol.
Storage
Store at -20˚C
Synonyms
Calcium-promoted Ras inactivator, CAPRI, GAPL, KIAA0538, Ras GTPase-activating protein 4, Ras p21 protein activator 4, RasGAP-activating-like protein 2
Suitable Secondaries
Goat Anti-Rabbit IgG H&L Antibody (AP) (A294874)
Goat Anti-Rabbit IgG H&L Antibody (Biotin) (A294795)
Goat Anti-Rabbit IgG H&L Antibody (FITC) (A294887)
Goat Anti-Rabbit IgG H&L Antibody (HRP) (A294888)
See all Anti-Rabbit IgG Secondaries →
Disclaimer
This product is for research use only. It is not intended for diagnostic or therapeutic use.
Scientific Validation Data
Validation Data
(2)
Enlarge Image
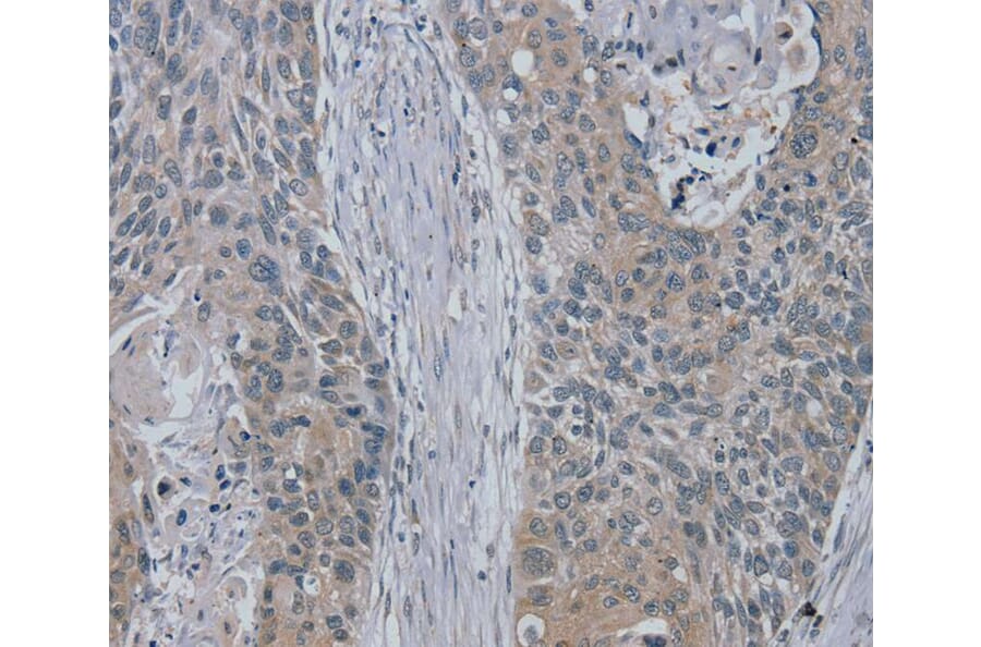
Immunohistochemistry - Anti-RASA4 Antibody (A46305)
Immunohistochemical analysis of paraffin-embedded Human liver cancer tissue using #40069 at dilution 1/20.
Enlarge Image
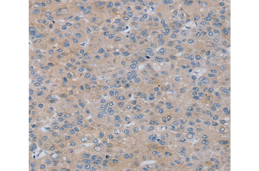
Immunohistochemistry - Anti-RASA4 Antibody (A46305)
Immunohistochemical analysis of paraffin-embedded Human oesophagus cancer tissue using #40069 at dilution 1/20.
Publishing research using Anti-RASA4 Antibody (A46305)? Please
let us know
so that we can list the citation on this page.
Alternative products to Anti-RASA4 Antibody (A46305)
A28405
Anti-RASA4 Antibody
Rabbit polyclonal antibody to RASA4 for WB.
A28405
Anti-RASA4 Antibody
Rabbit polyclonal antibody to RASA4 for WB.
Proteins predicted to interact with RASA4
Predicted protein interactions based upon String database. Revelancy score correlates with probability of interaction.
RASGRP1 Antibodies
82.7% Relevancy Score
HRAS Antibodies
77.9% Relevancy Score
NRAS Antibodies
77.3% Relevancy Score
KRAS Antibodies
76.7% Relevancy Score
RRAS Antibodies
73.7% Relevancy Score
MRas Antibodies
71.1% Relevancy Score
TC21 Antibodies
69.2% Relevancy Score
RASGAP Antibodies
66% Relevancy Score
RABIF Antibodies
62.5% Relevancy Score
Top