Primary Antibodies
Secondary Antibodies
Proteins & Peptides
ELISA Kits
About Us
Contact Us
Sign In/Register
0
ISO 9001:2015 Certified
Live Customer Support
4.5/5 on Trustpilot
100% Quality Guarantee
Home
Primary Antibodies
RASAL1 Antibodies
Anti-RASAL1 Antibody (A37363)
Anti-RASAL1 Antibody (A37363)
Overview
Specifications
Images
Enlarge Image
Enlarge Image
$430
Product Datasheet
Rabbit polyclonal antibody to RASAL1 for WB and IHC.
100% Guarantee
Price Match Guarantee
Product Size:
100µl
Quantity:
1
2
3
4
5
6
7
8
9
10
Add To Cart
Request a Quotation
Custom or Bulk Request
Shipping Information
Freight/Packing Charges:
$40
Dispatched from St. Louis, MO.
Lead Time: 6-9 business days.
Specifications
Name
Anti-RASAL1 Antibody
Description
Rabbit polyclonal antibody to RASAL1
Specificity
The antibody detects endogenous levels of total RASAL1 protein.
Applications
WB
,
IHC
Dilutions
Western blotting: 1:200-1:1000 Immunohistochemistry: 1:100-1:200
Reactivity
Human
Immunogen
Fusion protein corresponding to residues near the N terminal of human RAS protein activator like 1 (GAP1 like)
Host
Rabbit
Clonality
Polyclonal
Conjugate
Unconjugated
Purification
Antigen affinity purification.
Concentration
1.2 mg/mL
Formulation
Rabbit IgG in pH7.4 PBS, 0.05% NaN3, 40% Glycerol.
Storage
Shipped at 4°C. Upon delivery aliquot and store at -20°C. Avoid freeze/thaw cycles.
Synonyms
Ras GTPase-activating-like protein, RAS protein activator like 1, RASAL, RasGAP-activating-like protein 1
Suitable Secondaries
Goat Anti-Rabbit IgG H&L Antibody (AP) (A294874)
Goat Anti-Rabbit IgG H&L Antibody (Biotin) (A294795)
Goat Anti-Rabbit IgG H&L Antibody (FITC) (A294887)
Goat Anti-Rabbit IgG H&L Antibody (HRP) (A294888)
See all Anti-Rabbit IgG Secondaries →
Disclaimer
This product is for research use only. It is not intended for diagnostic or therapeutic use.
Scientific Validation Data
Validation Data
(2)
Enlarge Image
Anti-RASAL1 Antibody (A37363)
Gel: 6%SDS-PAGE Lysate: 40ug 231 cell. Primary antibody: 1/300 dilution Secondary antibody dilution: 1/8000Exposure time: 2 minutes
Enlarge Image
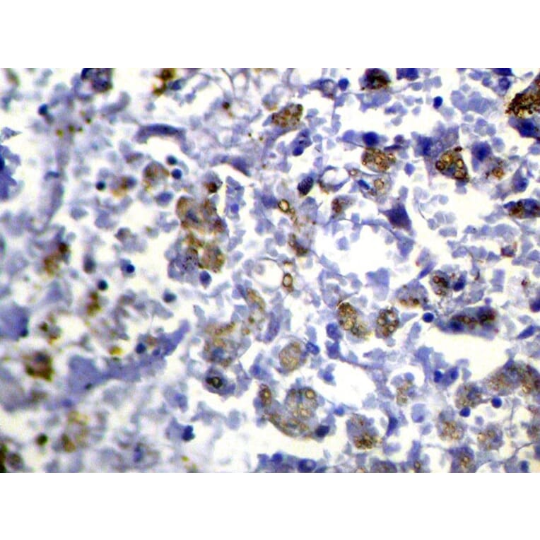
Immunohistochemistry - Anti-RASAL1 Antibody (A37363)
Immunohistochemical analysis of paraffin-embedded Human Liver cancer tissue using #40316 at dilution 1/100.
Publishing research using Anti-RASAL1 Antibody (A37363)? Please
let us know
so that we can list the citation on this page.
Alternative products to Anti-RASAL1 Antibody (A37363)
A83984
Anti-RASAL1 Antibody
Goat polyclonal antibody to RASAL1 for ELISA and WB.
A87853
Anti-RASAL1 Antibody
Rabbit polyclonal antibody to RASAL1 for WB.
(2)
A39488
Anti-RASAL1 Antibody
Rabbit polyclonal antibody to RASAL1 for WB and ICC/IF.
A83984
Anti-RASAL1 Antibody
Goat polyclonal antibody to RASAL1 for ELISA and WB.
A87853
Anti-RASAL1 Antibody
Rabbit polyclonal antibody to RASAL1 for WB.
(2)
A39488
Anti-RASAL1 Antibody
Rabbit polyclonal antibody to RASAL1 for WB and ICC/IF.
Proteins predicted to interact with RASAL1
Predicted protein interactions based upon String database. Revelancy score correlates with probability of interaction.
NRAS Antibodies
76.3% Relevancy Score
RRAS Antibodies
74.8% Relevancy Score
KRAS Antibodies
74.1% Relevancy Score
HRAS Antibodies
73.5% Relevancy Score
MRas Antibodies
71% Relevancy Score
TC21 Antibodies
70.5% Relevancy Score
RASGRP1 Antibodies
65.8% Relevancy Score
RASGAP Antibodies
64% Relevancy Score
DNMT1 Antibodies
62.7% Relevancy Score
Top