Primary Antibodies
Secondary Antibodies
Proteins & Peptides
ELISA Kits
About Us
Contact Us
Sign In/Register
0
ISO 9001:2015 Certified
Live Customer Support
4.5/5 on Trustpilot
100% Quality Guarantee
Home
Primary Antibodies
RBMS3 Antibodies
Anti-RBMS3 Antibody (A37992)
Anti-RBMS3 Antibody (A37992)
Overview
Specifications
Images
Enlarge Image
Enlarge Image
$405
Rabbit polyclonal antibody to RBMS3 for WB and IHC.
100% Guarantee
Price Match Guarantee
Product Size:
100µl
Quantity:
1
2
3
4
5
6
7
8
9
10
Add To Cart
Request a Quotation
Custom or Bulk Request
Shipping Information
Freight/Packing Charges:
$40
Dispatched from St. Louis, MO.
Lead Time: 6-9 business days.
Specifications
Name
Anti-RBMS3 Antibody
Description
Rabbit polyclonal antibody to RBMS3
Specificity
The antibody detects endogenous levels of total RBMS3 protein.
Applications
WB
,
IHC
Reactivity
Human
Immunogen
Synthetic peptide corresponding to residues near the C terminal of human RNA binding motif, single stranded interacting protein 3
Host
Rabbit
Clonality
Polyclonal
Conjugate
Unconjugated
Purification
Antigen affinity purification.
Concentration
0.9mg / ml
Formulation
Rabbit IgG in pH7.3 PBS, 0.05% NaN3, 50% Glycerol.
Storage
Store at -20˚C
Synonyms
RNA-binding motif, single-stranded-interacting protein 3
Suitable Secondaries
Goat Anti-Rabbit IgG H&L Antibody (AP) (A294874)
Goat Anti-Rabbit IgG H&L Antibody (Biotin) (A294795)
Goat Anti-Rabbit IgG H&L Antibody (FITC) (A294887)
Goat Anti-Rabbit IgG H&L Antibody (HRP) (A294888)
See all Anti-Rabbit IgG Secondaries →
Disclaimer
This product is for research use only. It is not intended for diagnostic or therapeutic use.
Scientific Validation Data
Validation Data
(2)
Enlarge Image
Anti-RBMS3 Antibody (A37992)
Gel: 10% SDS-PAGE Lysates (from left to right): Human liver cancer tissue Amount of lysate: 40ug per lane Primary antibody: 1/500 dilution Secondary antibody dilution: 1/8000 Exposure time: 20 seconds
Enlarge Image
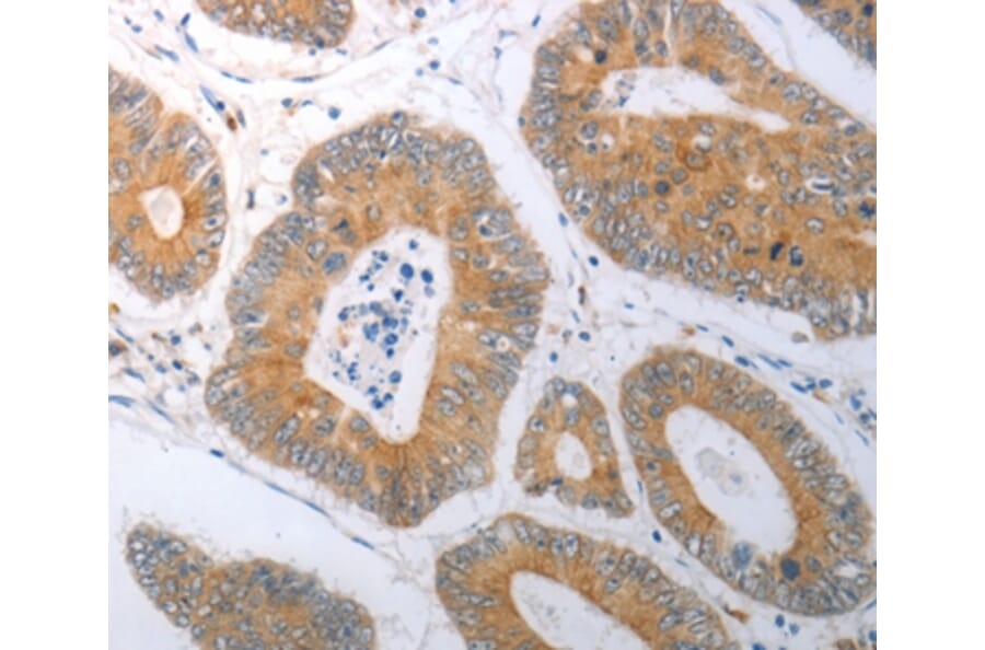
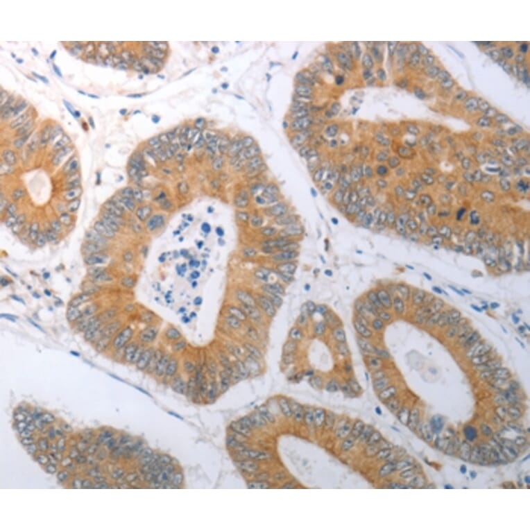
Immunohistochemistry - Anti-RBMS3 Antibody (A37992)
Immunohistochemical analysis of paraffin-embedded Human colon cancer tissue using #37025 at dilution 1/25.
Publishing research using Anti-RBMS3 Antibody (A37992)? Please
let us know
so that we can list the citation on this page.
Alternative products to Anti-RBMS3 Antibody (A37992)
A98992
Anti-RBMS3 Antibody
Rabbit polyclonal antibody to RBMS3 for WB and ELISA.
A92700
Anti-RBMS3 Antibody
Rabbit polyclonal antibody to RBMS3 for WB.
A98992
Anti-RBMS3 Antibody
Rabbit polyclonal antibody to RBMS3 for WB and ELISA.
A92700
Anti-RBMS3 Antibody
Rabbit polyclonal antibody to RBMS3 for WB.
Proteins predicted to interact with RBMS3
Predicted protein interactions based upon String database. Revelancy score correlates with probability of interaction.
c-Myc Antibodies
71.5% Relevancy Score
SART3 Antibodies
64.6% Relevancy Score
MRPL30 Antibodies
60.8% Relevancy Score
MRPS18A Antibodies
59.2% Relevancy Score
MRPL46 Antibodies
45.7% Relevancy Score
MRPL55 Antibodies
45.3% Relevancy Score
MRPL44 Antibodies
44.9% Relevancy Score
PABP Antibodies
43.5% Relevancy Score
TEM4 Antibodies
43.2% Relevancy Score
Top